拜博口腔网

  • 正畸弓丝末端脱了

    正畸弓丝末端脱了

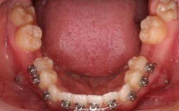
    正畸弓丝末端脱出是牙齿矫正过程中较为常见的并发症,指固定在牙齿托槽上的弓丝末端从末端管(最后一颗大牙后方的金属管)中滑出,可能刺伤口腔软组织或影响矫正效果,了解其发生原因、处理方法及预防措施,对保障矫正进程顺利至关重要,弓丝末端脱出的常见原...

    2026-01-03
    13 0 0
  • 1 / 1
  • 1