拜博口腔网

  • 正畸牵引萌出不足

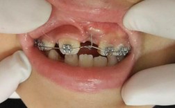
    正畸牵引萌出不足

    正畸牵引萌出不足是指在正畸治疗过程中,通过外力牵引未能完全萌出至正常解剖位置的牙齿,多见于埋伏牙、阻生牙或萌出方向异常的牙齿,此类情况不仅影响牙齿排列整齐度和咬合功能,还可能导致牙周组织健康受损、面部美观异常等问题,需及时诊断并调整治疗方案...

    2026-01-04
    32 0 0
  • 1 / 1
  • 1