拜博口腔网

  • 牙齿矫正后为何会错位?原因分析与处理方法

    牙齿矫正后为何会错位?原因分析与处理方法

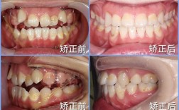
    牙齿矫正通过施加持续、温和的力,将错位牙齿移动到理想位置,改善咬合功能与面部美观,部分人在拆除矫正器后,可能会出现牙齿再次错位的情况,即“矫正后错位”,这不仅可能影响矫正效果,还可能导致咀嚼效率下降、牙龈问题甚至颞下颌关节紊乱,本文将详细分...

    2026-01-24
    45 0 0
  • 1 / 1
  • 1