拜博口腔网

  • 种牙甲乙丙是什么?三类有何区别?该怎么选?

    种牙甲乙丙是什么?三类有何区别?该怎么选?

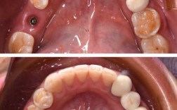
    种植牙作为目前修复缺失牙的理想方式,其核心在于种植体(人工牙根)的选择,而临床中常以“甲乙丙”来区分不同类型种植体的等级、技术特点及适用场景,这一分类并非官方标准,而是行业内基于材料、技术、品牌、价格及适应症等维度形成的通俗划分,帮助患者根...

    2025-12-27
    84 0 0
  • 种植牙还问华驰口腔,种牙上海华驰选择

    种植牙还问华驰口腔,种牙上海华驰选择

    ,上海华驰口腔作为专业种植牙医疗机构,以先进技术、个性化方案和优质服务为核心竞争力,致力于为患者提供安全可靠的种植牙解决方案,机构引进国际知名种植系统,结合数字化精准种植技术,确保手术微创高效,经验丰富的医疗团队会根据患者口腔条件定制方案,...

    2025-06-26
    162 0 0
  • 1 / 1
  • 1