
- 患者: 张女士,42岁
- 问题: 上颌右侧门牙(侧切牙)多年前因外伤脱落,一直未能修复,缺牙位置明显,影响美观和咀嚼,也导致邻牙有轻微倾斜。
- 初始状态: 牙槽骨有一定程度的吸收,但医生评估后认为具备种植条件。
张女士的种植牙亲身经历分享
第一阶段:犹豫与决策 (耗时约1个月)
-
困扰与咨询:
- 美观焦虑: 门牙缺失,笑起来总下意识捂嘴,拍照也特别不自然,自信心大受打击。
- 功能不便: 咬苹果、啃排骨等稍硬的食物时,会下意识避开那个位置,或者用另一侧牙咬,感觉不舒服。
- 邻牙担忧: 感觉旁边的门牙好像有点歪了,担心长期下去影响其他牙齿。
- 开始咨询: 听说种植牙是“最好”的修复方式,但价格不菲,而且听起来像“手术”,心里很忐忑,我先去了几家大型口腔医院和知名诊所咨询。
-
多方比较与了解:
- 面诊医生: 每次咨询,医生都会详细检查我的口腔(拍CT、取模),解释我的牙槽骨情况、种植方案(品牌、型号)、手术流程、费用构成(种植体、基台、牙冠、手术费等)、术后注意事项以及预期效果。
- 关键问题: 我最关心的是:
- 疼不疼? 医生都强调是微创手术,打麻药后基本无痛,术后可能有肿胀不适,但都在可承受范围内。
- 安不安全? 医生解释了种植体(钛合金)的生物相容性,以及成熟的技术和成功率(95%以上)。
- 能用多久? 医生说维护得好能用几十年,甚至终身。
- 需要多久? 整个过程(从拔牙/植骨到戴牙冠)通常需要3-6个月,具体看个人骨愈合情况。
- 费用? 不同品牌、不同医院价格差异大,我了解到国产、韩系、欧美系的价格区间,心里有了谱。
- 最终选择: 综合比较了医生的专业度、沟通耐心、医院环境、设备、价格以及方案的可信度后,我选择了一家口碑和技术都不错的私立口腔诊所,并选择了一款性价比高的韩系种植体。
第二阶段:术前准备与手术 (耗时约1天)
-
详细检查与方案确认:
- 再次拍CBCT(锥形束CT),精确测量牙槽骨的高度、宽度、密度,以及神经管位置。
- 医生根据CT结果,在电脑上设计了精准的种植方案,包括种植体植入的位置、角度、深度,并制作了3D打印导板(确保手术精准)。
- 确认最终方案、费用,并预约了手术时间。
-
手术当天:
- 心情: 有点紧张,但更多的是期待,护士很贴心,不断安抚我。
- 消毒与麻醉: 躺在牙椅上,医生和护士对手术区域进行严格消毒,然后打麻药,就像打针一样,有点胀,但几秒后就感觉嘴唇、牙龈、牙齿都麻了,完全没感觉了。
- 手术过程(种植体植入):
- 切开牙龈:医生用手术刀在牙龈上切开一个小口,翻开牙龈瓣,暴露下面的牙槽骨。
- 备洞:医生用专业的种植钻头,在牙槽骨上逐级扩大,准备种植窝洞。感觉: 能感觉到骨头被钻头的震动和压力,但完全不疼!
- 植入种植体:将选好的种植体(像一颗小螺丝钉)旋入准备好的窝洞中,医生很谨慎,确保位置、角度、深度都完美。感觉: 有种轻微的“拧螺丝”的震动感,但不痛。
- 缝合:将牙龈瓣复位,用可吸收线缝合。感觉: 没什么特别感觉。
- 临时修复: 医生在种植体上连接了一个临时基台,并制作了一个临时牙冠(树脂材料),当天就给我戴上!太惊喜了! 虽然是临时的,但颜色和形态都做得很好,基本恢复了外观,别人看不出来是假牙,这大大缓解了我的焦虑。
第三阶段:骨结合期 (耗时约3-4个月)
-
术后恢复 (第一周):
- 肿胀与淤青: 手术后24小时左右,脸部开始肿胀,特别是嘴唇和脸颊,第2-3天最明显,像“猪头”一样,嘴角也有点淤青,医生开了消肿药和止痛药(但我基本没怎么吃)。
- 疼痛: 麻药退了后(约2-3小时),伤口处有轻微的钝痛、胀痛,比拔智齿轻多了,按医嘱吃了止痛药,睡一觉就好多了。
- 护理:
- 冰敷:术后24小时内,间断冰敷脸部(每次15分钟,间隔1小时),对消肿很有效。
- 饮食:术后24小时只能吃温凉的流食(粥、汤、酸奶、奶昔),之后几天吃软食(面条、土豆泥、鱼肉泥),避免用手术侧咀嚼,忌辛辣、过烫、过硬食物。
- 口腔卫生:24小时后开始用漱口水(医生开的)轻轻含漱,避免用力漱口,术后第3天开始,用软毛牙刷轻轻刷非手术区域,手术区域用医生开的冲牙器(或小头软毛牙刷)非常轻柔地清洁。特别注意: 不要碰到伤口!
- 休息:避免剧烈运动、熬夜、吸烟饮酒(这些影响愈合)。
- 拆线: 术后7-10天回去拆线,伤口愈合得很好。
-
漫长的等待 (骨结合):
- 这是种植牙最“考验人”的阶段,医生说,我的种植体需要3-4个月的时间才能和牙槽骨牢固地长在一起(骨结合)。
- 期间:
- 临时牙冠一直戴着,外观没问题,但咀嚼要非常小心,避免用太大力。
- 按时复诊(医生会安排1-2次检查),拍小牙片看看种植体周围情况。
- 严格保持口腔卫生,用牙线、冲牙器清洁邻牙和临时牙冠边缘,防止发炎(peri-implantitis)。
- 心态:有点担心“长不好”,但医生说我的骨条件不错,耐心等待就好,这期间我开始适应用另一侧咀嚼,慢慢习惯了。
第四阶段:二期手术与最终牙冠戴入 (耗时约1周)
-
二期手术 (约4个月后):
- 复诊拍片确认骨结合良好后,进行二期手术。
- 过程: 麻药 -> 切开牙龈(比第一次切口小很多)-> 暴露种植体顶部 -> 安装愈合基台(像一个小柱子,让牙龈围绕它形成漂亮的袖口)-> 缝合。感觉: 过程比第一次简单很多,时间短,术后肿胀轻微,几乎不影响生活。目的: 让牙龈在愈合基台周围形成自然的袖口形态,为戴永久牙冠做准备。
-
取模与戴牙冠 (约2周后):
- 取模: 牙龈形态稳定后,医生用精细的取模材料,在种植体和周围牙龈上取模,然后送到技工所制作永久牙冠。
- 试戴与粘接: 大约1-2周后,牙冠做好了,医生先让我试戴,检查颜色、形态、咬合是否合适,我选了比邻牙稍微亮一点点(更自然),形态也调整到和另一侧对称,咬合医生反复调整,确保上下牙接触均匀有力,确认完美后,用特殊的粘接剂将牙冠固定在基台上。
第五阶段:术后维护与使用 (持续进行)
-
初期适应:
- 刚戴上永久牙冠(全瓷冠),感觉有点“异物感”,但比临时冠好很多,几天后就适应了。
- 咬合感觉:刚开始咬东西感觉有点高或紧,医生又帮我微调了几次,直到完全自然,和真牙一样好用。
- 关键点: 我被告知,种植牙虽然坚固,但不能像真牙一样啃骨头、咬硬壳坚果(比如螃蟹壳、开心果壳),容易崩瓷或损伤种植体,要避免用种植牙当开瓶器!
-
长期维护:
- 口腔卫生是生命线! 我比以前更认真刷牙(巴氏刷牙法),每天用牙线清洁邻面,使用冲牙器(水牙线)清洁牙冠与牙龈的边缘,防止食物嵌塞和菌斑堆积,医生特别强调,种植牙周围的牙龈发炎(种植体周围炎)是导致种植失败的主要原因之一!
- 定期复查: 严格按照医生要求(通常是戴牙后3个月、6个月,之后每年1-2次)回去复查,拍片检查种植体周围骨情况、牙冠状况、咬合情况等。
- 生活习惯: 尽量避免吸烟(吸烟显著增加失败风险),控制好全身健康(如糖尿病)。
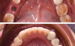
- 使用感受: 戴牙冠后1年多),门牙完美!颜色、形态、透明度都和邻牙几乎一样,看不出是假的,咀嚼功能完全恢复,吃苹果、排骨(避开骨头)都没问题,自信心回来了!感觉就像拥有了一颗“新”的真牙。
张女士的心得体会
- 选择好医生是关键: 一个经验丰富、技术精湛、负责任的医生,能大大提高成功率,减少痛苦和风险,多咨询、多比较,相信自己的直觉。
- 充分沟通很重要: 把你的所有疑问、顾虑、期望都告诉医生,确保你完全理解方案和流程,医生也会根据你的情况调整方案。
- 克服恐惧,信任医生: 手术听起来吓人,但现代种植技术非常成熟,麻药效果很好,实际疼痛感远低于想象,放松心态,配合医生,过程比预想的顺利。
- 耐心等待值得: 骨结合期虽然漫长,但这是保证种植牙长期成功的基础,急于求成反而可能适得其反。
- 术后护理决定成败: 种植牙不是一劳永逸的。严格遵医嘱进行术后护理,并养成良好的口腔卫生习惯,定期复查,是让种植牙陪伴你一生的根本保障。
- 效果超预期: 当最终戴上完美的牙冠,看到镜中自信的笑容,恢复如初的咀嚼功能时,所有的等待、不适和花费都变得非常值得!生活质量真的得到了巨大提升。
种植牙是一项成熟、可靠、效果显著的牙齿修复技术,虽然过程需要时间、金钱和耐心,但只要选择好医生、做好充分准备、严格遵循医嘱进行术后维护,就能获得媲美真牙的功能和美观,重拾灿烂笑容和自信,张女士的经历证明,克服恐惧,迈出这一步,是值得的!如果你也在犹豫,不妨多了解、多咨询,找到最适合自己的方案,祝你早日拥有健康的牙齿和灿烂的笑容!
