“矫正牙齿牙周炎”这个表述通常指的是牙齿矫正(正畸)与牙周炎之间的关系,这是一个需要严肃对待的问题。

核心原则:牙周炎未得到有效控制时,绝对不能开始牙齿矫正!
牙齿矫正和牙周炎之间存在密切且复杂的相互作用,理解这种关系对于成功矫正和保护牙齿健康至关重要。
🦷 牙周炎对牙齿矫正的影响(风险)
-
增加矫正风险:
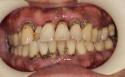
- 牙齿松动加剧: 牙周炎已经导致牙槽骨吸收、牙齿支持组织减少,矫正施加的力会进一步增加牙齿的松动度,甚至可能导致牙齿脱落或无法移动到目标位置。
- 牙根吸收: 牙周组织的炎症状态可能增加牙根吸收(牙根变短)的风险,尤其是在移动牙齿时。
- 牙龈退缩加重: 矫正过程中牙齿移动的方向和方式,如果牙周炎未控制,可能加速牙龈退缩,导致牙根暴露、牙齿敏感、美观受损。
- 骨支持不足: 牙槽骨吸收意味着牙齿移动的“土壤”不够坚实,牙齿移动可能不稳定、效果难以维持,容易复发。
- 感染扩散风险: 活动的牙周炎病灶可能成为细菌的“仓库”,矫正装置(托槽、弓丝)会阻碍清洁,使细菌更容易滋生,可能加重牙周炎症甚至引发其他感染。
-
矫正效果不佳:
- 牙齿可能无法按照计划移动到理想位置。
- 矫正后效果不稳定,容易复发。
- 整体治疗效果达不到预期。
🦷 牙齿矫正对牙周炎的影响(潜在风险)
- 口腔卫生难度增加:
- 矫正装置(托槽、弓丝、结扎丝)会大大增加清洁牙齿和牙龈的难度,如果患者口腔卫生维护不到位,牙菌斑堆积,会显著增加牙周炎发生或复发的风险。
- 牙龈炎症和增生:
- 即使没有牙周炎,矫正期间也容易发生牙龈炎(牙龈红肿、出血),如果本身有牙周炎基础,风险更高。
- 部分患者可能出现牙龈增生(牙龈组织过度生长),尤其在清洁不良时。
- 促进牙周炎进展:
- 如果矫正前牙周炎未完全控制,矫正过程中的口腔卫生挑战和牙齿移动的应力,可能成为牙周炎进展的诱因或加速因素。
🦷 正确的处理原则和流程
-
先治疗牙周炎,后进行矫正:
- 这是铁律! 在决定矫正之前,必须进行全面的牙周检查(包括牙周探诊、X光片评估骨量等)。
- 如果确诊牙周炎,必须先接受系统的牙周治疗,直到牙周炎症得到控制,牙龈健康,牙周袋深度变浅,牙槽骨状况稳定(可能需要3-6个月或更长时间)。
- 牙周治疗通常包括:
- 洁治(洗牙): 去除牙菌斑和牙结石。
- 龈下刮治和根面平整: 清洁牙龈下方的牙结石和病变牙根表面。
- 牙周手术: 对于中重度牙周炎,可能需要翻瓣术等手术来彻底清洁深部病变组织。
- 口腔卫生宣教: 患者必须掌握有效的刷牙、使用牙线/牙缝刷、冲牙器等清洁方法。
- 定期维护: 牙周炎是慢性病,需要终身维护,定期复查(通常3-6个月一次)。
-
矫正期间加强牙周维护:
- 严格口腔卫生: 矫正期间,患者需要付出比平时更多的时间和精力进行口腔清洁,使用正畸专用牙刷、牙缝刷、冲牙器、正畸专用牙线等工具,彻底清洁托槽周围、弓丝下方以及牙龈边缘。
- 定期牙周检查: 在矫正过程中,正畸医生和牙周医生需要密切合作。定期(如每3-6个月)进行牙周检查和洁治,及时发现并处理任何牙龈炎或牙周炎的早期迹象。
- 沟通与协作: 正畸医生和牙周医生需要充分沟通患者的牙周状况和矫正进展,必要时调整矫正方案。
-
矫正后继续牙周维护:
- 牙齿矫正结束后,保持器阶段同样需要保持良好的口腔卫生。
- 牙周炎患者更需要终身坚持专业的牙周维护,定期复查和洁治,这是防止牙周炎复发和维持矫正效果的关键。
- 牙周炎是牙齿矫正的“红灯”,未控制的牙周炎是牙齿矫正的绝对禁忌症。
- 成功矫正的关键前提是健康的牙周组织,必须在牙周炎症得到有效控制、稳定后,才能开始矫正。
- 矫正过程本身对牙周健康是挑战,需要患者极其严格的口腔卫生维护和医生(正畸+牙周)的密切监控。
- 矫正后,牙周维护是终身任务,尤其是对于有牙周炎病史的患者。
📣 重要建议
- 如果你有牙周炎并想矫正牙齿: 务必先找专业的牙周科医生进行系统治疗和控制。 告诉你的正畸医生你的牙周病史。
- 如果你正在进行矫正并发现牙龈出血、红肿、牙齿松动、牙龈退缩等问题: 立即告知你的正畸医生,并尽快去看牙周科医生! 不要拖延。
- 如果你完成矫正后戴保持器: 坚持良好的口腔卫生和定期的牙周维护复查。
牙齿矫正和牙周健康相辅相成,缺一不可,在专业医生的指导下,严格遵循“先治牙周,再行矫正,全程维护”的原则,才能安全有效地获得整齐的牙齿和健康的牙周组织。💪🏻
