矫正牙齿是改善口腔功能和美观的常见方式,但部分患者在矫正过程中或矫正后会出现牙周炎问题,这不仅影响矫正效果,还可能对牙齿和牙周组织造成长期损害,牙周炎是一种由牙菌斑生物膜引起的牙周支持组织慢性炎症性疾病,而矫正牙齿过程中,由于口腔环境的变化、牙齿移动等因素,可能会增加牙周炎的发生风险或加重原有病情,本文将详细分析矫正牙齿与牙周炎的关系、发生原因、症状表现、影响及防治措施,帮助患者更好地认识和处理这一问题。
矫正牙齿为何容易引发牙周炎?
牙齿矫正通过施加持续、轻柔的外力,引导牙齿在牙槽骨中缓慢移动,最终达到排列整齐、咬合稳定的目的,这一过程中口腔环境的改变和牙齿移动的特点,为牙周炎的发生创造了条件,具体原因包括:

口腔卫生维护难度增加
牙齿矫正时,托槽、弓丝、结扎丝等正畸附件会附着在牙齿表面,这些附件容易成为食物残渣和细菌的“藏身之所”,即使患者认真刷牙,也难以彻底清除托槽周围、弓丝下方等死角区域的菌斑,导致局部菌斑堆积,菌斑是牙周炎的始动因子,长期堆积会钙化形成牙结石,进一步刺激牙龈,引发炎症反应。
牙周组织抵抗力下降
牙齿移动过程中,牙周组织(包括牙龈、牙周膜、牙槽骨)会发生生理性改建:牙槽骨一侧吸收,另一侧增生,牙齿才能在新的位置稳定,这种改建状态会使牙周组织的暂时性抵抗力降低,若此时口腔卫生不佳,细菌更容易侵袭牙周组织,导致牙龈炎甚至牙周炎。
牙龈局部刺激与压迫
矫正器(尤其是传统金属托槽)的边缘、弓丝的末端等部位若处理不当,可能会直接压迫或摩擦牙龈,造成机械性损伤,引发牙龈红肿、糜烂,成为细菌入侵的通道,牙齿移动过快或力量过大时,也可能超出牙周组织的耐受范围,导致牙周组织破坏,增加牙周炎风险。
患者自身因素
部分患者本身存在牙周炎易感因素,如遗传因素(易感基因)、全身性疾病(如糖尿病、免疫力低下)、不良习惯(如吸烟、咬硬物)等,这些因素在矫正过程中可能被放大,导致牙周炎更容易发生或加重,青少年患者由于激素水平变化(如青春期),牙龈本身对细菌刺激更敏感,若矫正期间口腔卫生维护不到位,更容易出现牙龈炎,进而发展为牙周炎。

矫正牙齿伴发牙周炎的症状表现
牙周炎的进展可分为牙龈炎和牙周炎两个阶段,矫正过程中若出现以下症状,需高度警惕:
牙龈炎阶段(早期)
- 牙龈出血:刷牙、咬硬物或使用牙线时牙龈容易出血,是最常见的早期症状,常被患者误认为是“上火”或“刷牙太用力”。
- 牙龈红肿:牙龈颜色鲜红或暗红,质地松软,表面光亮,严重时呈“球形”增生,覆盖部分牙面。
- 口臭:菌斑和食物残渣的分解产物产生异味,导致口腔有异味。
牙周炎阶段(进展期)
若牙龈炎未及时控制,炎症会向深层牙周组织扩散,发展为牙周炎,症状包括:
- 牙周袋形成:牙龈与牙齿分离,形成深度超过3mm的“缝隙”(牙周袋),食物残渣和细菌更容易在此堆积,普通刷牙难以清除。
- 牙龈退缩:牙龈缘向牙根方向退缩,导致牙根暴露,牙齿敏感(遇冷热酸甜不适),影响美观。
- 牙槽骨吸收:炎症刺激导致牙槽骨逐渐破坏、吸收,可通过X线片观察到牙槽骨高度降低。
- 牙齿松动与移位:牙槽骨吸收使牙齿失去支持,出现松动、移位(如牙齿间隙变大、牙根暴露),严重时甚至脱落。
- 矫正异常:牙齿移动速度减慢或方向偏离,矫正效果不佳,矫正周期延长。
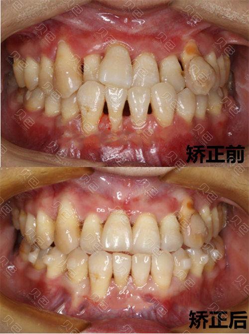
矫正牙齿伴发牙周炎的影响
牙周炎不仅影响矫正效果,还会对口腔健康造成多方面危害:
矫治效果受影响
牙周组织的炎症状态会阻碍牙齿的正常移动,健康的牙周组织是牙齿移动的基础,若存在牙周炎,牙槽骨吸收会导致牙齿移动时缺乏稳定的支撑,可能出现牙齿移动缓慢、移动方向偏差,甚至无法达到预期的矫正目标,牙龈退缩和牙根暴露也会影响矫正后的美观效果。

牙齿脱落风险增加
牙周炎的进展会导致牙槽骨持续吸收,当牙槽骨吸收超过牙根长度的1/2时,牙齿会明显松动,最终可能因失去支持而脱落,矫正过程中若牙周炎未得到控制,可能加速这一过程,尤其是对于中老年患者,其牙周组织修复能力较弱,脱落风险更高。
全身健康风险
牙周炎是一种局部感染性疾病,但细菌及其毒素可能通过血液循环扩散至全身,增加全身性疾病的风险,如心血管疾病(动脉粥样硬化、心肌梗死)、糖尿病(血糖控制难度增加)、呼吸系统疾病(肺炎、慢性阻塞性肺疾病)等,矫正过程中若牙周炎反复发作,可能对全身健康造成潜在威胁。
矫正牙齿伴发牙周炎的预防与治疗
矫正期间预防牙周炎的发生,或在发生后及时控制炎症,是保证矫正效果和口腔健康的关键。
预防措施
-
加强口腔卫生维护:
- 使用正畸专用工具:如正畸小头牙刷(可清洁托槽周围)、牙缝刷(清除弓丝与牙齿间的菌斑)、冲牙器(冲洗牙缝和牙龈沟)、正畸专用牙线(穿过弓丝清洁邻面)。
- 掌握正确刷牙方法:采用“巴氏刷牙法”,每次刷牙不少于3分钟,确保牙齿的每个面(尤其是托槽周围)都清洁到位。
- 定期洁治:矫正期间每3-6个月进行一次专业洁治(洗牙),清除牙结石和菌斑,预防牙龈炎。
-
矫正前进行牙周检查:
开始矫正前,需进行全面牙周检查(包括牙周探诊、X线片等),若有牙龈炎或牙周炎,需先治疗至牙周健康状态再开始矫正,对于牙周炎患者,应与牙周科医生合作,制定个性化的治疗方案,控制炎症后再行矫正。 -
选择合适的矫正方案与医生:
优先选择经验丰富的正畸医生,设计合理的矫正方案,避免牙齿移动过快或力量过大,对于附件较多的矫正器(如自锁托槽),需注意其表面光滑度,减少对牙龈的刺激。 -
调整生活习惯:
戒烟(吸烟会降低牙周组织抵抗力,延缓愈合),避免咬硬物(防止矫正器损伤牙龈或牙齿移动异常),保持均衡饮食(减少高糖食物摄入,降低菌斑堆积风险)。
治疗措施
若矫正过程中已发生牙周炎,需根据病情严重程度采取针对性治疗:
-
基础治疗(轻度牙周炎):
- 专业洁治和龈下刮治:清除牙齿表面和牙周袋内的菌斑、牙结石,平整根面,消除炎症刺激。
- 局部药物治疗:在牙周袋内放置抗菌药物(如米诺环素凝胶),辅助控制局部感染。
- 加强口腔卫生指导:正畸医生和牙周医生共同指导患者正确使用正畸清洁工具,确保菌斑有效清除。
-
牙周手术治疗(中重度牙周炎):
若牙周袋深度超过5mm,基础治疗效果不佳,需进行牙周手术,如:- 翻瓣术:翻开牙龈,彻底清除深部牙结石和肉芽组织,平整根面。
- 引导性组织再生术(GTR):利用生物膜屏障,促进牙槽骨和牙周组织的再生,修复骨缺损。
- 牙龈切除术:对于牙龈增生明显的患者,切除多余牙龈,恢复牙龈正常形态。
-
调整矫正方案:
牙周炎急性发作期时,需暂停牙齿移动,待炎症控制后再继续矫正,对于牙槽骨吸收严重的患者,可能需调整矫正力的大小和方向,甚至修改矫正计划,以减少对牙周组织的进一步损伤。 -
定期复查与维护:
牙周炎治疗后,需定期复查(每1-3个月一次),监测牙周状况(包括牙龈出血指数、牙周袋深度、牙槽骨情况等),矫正结束后,需长期保持口腔卫生,佩戴保持器,并定期进行牙周维护(每年1-2次洁治),防止牙周炎复发。
矫正不同阶段的牙周炎风险与预防措施(表格)
| 矫正阶段 | 牙周炎风险点 | 预防措施 |
|---|---|---|
| 初戴矫正器(1-3个月) | 适应期口腔清洁习惯未建立,附件刺激牙龈 | 学习正畸清洁方法,使用U型刷、牙缝刷辅助清洁,避免食用黏性食物 |
| 中期矫正(3-24个月) | 牙齿移动活跃,牙周组织改建,菌斑易堆积 | 增加刷牙频次(每日3-4次),配合冲牙器,每3个月复查牙周和洁治 |
| 末期矫正(拆除矫正器后) | 保持器佩戴不当,牙龈形态未完全稳定 | 佩戴保持器并清洁(用专用清洁剂或清水刷洗),每3个月复查牙周和保持器适配性 |
相关问答FAQs
Q1:矫正期间牙龈出血正常吗?需要立即处理吗?
A:矫正初期(1-2周)牙龈轻微出血可能因附件刺激导致,属于暂时性适应反应,通常通过加强清洁可缓解,但若出血持续超过2周,或伴有牙龈红肿、疼痛、口臭等症状,则可能是牙龈炎或牙周炎的信号,需及时就医,正畸医生会评估出血原因,必要时进行牙周治疗(如洁治),调整矫正器刺激点,避免炎症加重。
Q2:得了牙周炎还能继续矫正吗?
A:需根据牙周炎严重程度决定,轻度牙周炎(牙龈红肿、出血,牙周袋深度<3mm)可在控制炎症后继续矫正,但需加强口腔卫生和牙周复查;中重度牙周炎(牙周袋深度≥5mm,牙槽骨吸收,牙齿松动)需暂停矫正,先进行牙周治疗(如刮治、手术),待牙周炎症控制、牙槽骨稳定后再恢复矫正,强行矫正可能导致牙周组织进一步破坏,甚至牙齿脱落,矫正过程中出现牙周炎症状,应立即与正畸医生和牙周医生沟通,制定联合治疗方案。
