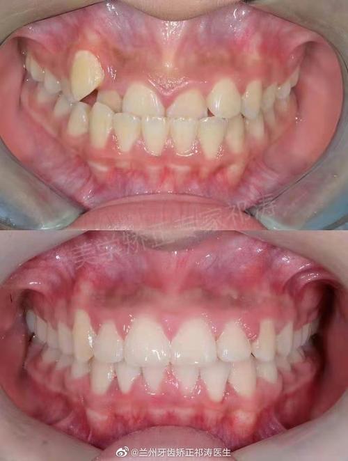
牙齿过度咬合是口腔正畸学中常见的错颌畸形类型,主要指上下牙弓在咬合时垂直向或水平向的异常接触关系,包括深覆合(垂直向过度咬合,上前牙切缘覆盖下前牙牙冠唇面1/3以上)和深覆盖(水平向过度咬合,上前牙切缘超出下前牙牙冠唇面水平距离超过3mm),这类畸形不仅影响咀嚼功能,还可能引发牙周疾病、面部美观及心理健康问题,需通过专业矫正进行干预。
牙齿过度咬合的成因与危害
(一)主要成因
- 遗传因素:上下颌骨发育异常(如下颌发育不足、上颌发育过度)或牙齿大小比例失调(如上颌前牙过大、下颌前牙过小),可能与家族遗传相关。
- 不良口腔习惯:长期吮指、咬唇(如咬上唇)、口呼吸、吐舌等习惯,会改变颌骨肌肉动力平衡,导致牙齿位置异常,儿童期长期吮指可能使上颌前牙前突、下颌后缩,形成深覆盖。
- 替牙期障碍:乳牙早失(如乳磨牙早失导致后牙前移)、乳牙滞留(恒牙胚位置异常)或恒牙萌出顺序紊乱,可能造成恒牙错位,引发咬合异常。
- 口腔疾病:龋齿导致牙齿邻面龋坏、牙齿倾斜;牙周病导致牙槽骨吸收、牙齿移位,都可能加重咬合紊乱。
(二)潜在危害
- 咀嚼功能下降:深覆合可能导致下前牙咬伤上牙腭侧软组织,深覆盖则可能影响后牙咀嚼效率,长期易导致消化不良。
- 牙周组织损伤:咬合创伤使牙齿承受异常合力,易引发牙龈萎缩、牙槽骨吸收,甚至牙齿松动。
- 面部美观与心理健康:深覆盖常表现为“龅牙”,深覆合可能导致“月牙脸”,影响面部轮廓,易引发自卑、社交恐惧等心理问题。
- 颞下颌关节紊乱(TMD):咬合异常可能改变下颌运动轨迹,导致关节弹响、疼痛、张口受限等问题。
牙齿过度咬合的矫正方法
矫正需根据患者年龄、畸形类型(骨性或牙性)、严重程度及面部美观需求制定个性化方案,主要分为非矫治性干预、矫治器治疗及手术治疗三类。

(一)非矫治性干预(适用于儿童替牙期)
针对不良习惯或轻度骨性问题,可通过早期干预引导颌骨正常发育:
- 肌功能训练:如纠正口呼吸(使用鼻贴、闭唇训练)、纠正吐舌(舌挡训练)、吮指戒除(使用指套或厌恶疗法)。
- 功能性矫治器:如FRⅢ矫治器(用于下颌后缩的深覆盖)、Twin Block矫治器(纠正下颌后缩,改善咬合关系),通过调整肌肉功能促进颌骨生长。
(二)矫治器治疗(适用于恒牙期及青少年)
通过外力或机械装置移动牙齿,调整咬合关系,常用方法如下:
| 矫正方式 | 原理 | 适用情况 | 优点 | 缺点 |
|---|---|---|---|---|
| 传统固定矫正 | 通过金属/陶瓷托槽、弓丝施加持续力量,移动牙齿至理想位置 | 各类牙性及轻度骨性深覆合、深覆盖,尤其适合复杂病例 | 矫正力量精准,适用范围广,价格相对较低 | 美观性差,口腔清洁难度大,可能引起口腔溃疡 |
| 隐形矫正 | 利用3D打印技术制作透明牙套,通过每副牙套的微小移动逐步调整牙齿位置 | 轻中度牙性深覆合、深覆盖,对美观要求高的患者 | 隐形美观,可自行摘戴,口腔清洁方便,舒适度高 | 价格较高(约2-5万元),需严格佩戴(每天20小时以上),复杂病例效果受限 |
| 舌侧矫正 | 将托槽粘贴在牙齿舌侧面,完全隐藏矫治装置 | 对美观要求极高、经济条件较好的患者 | 完全隐形,不影响外观 | 矫正难度大,费用高(约5-8万元),初期发音影响大,口腔适应期长 |
(三)手术治疗(适用于严重骨性畸形)
对于成人严重的骨性深覆合或深覆盖(如下颌发育严重不足、上颌过度前突),单纯正畸难以改善,需联合正颌手术:
- 术式选择:上颌Le Fort I型截骨术(后退上颌)、下颌矢状劈开术(前移下颌)、颏成形术(调整下巴位置)等。
- 治疗流程:术前正畸(排齐牙齿,为手术创造条件)→ 正颌手术 → 术后正畸(精细调整咬合)。
- 优势:从根本上改善颌骨关系,面部轮廓改善显著,但创伤较大,恢复期长(约3-6个月)。
矫正流程与注意事项
(一)标准矫正流程
- 初诊检查:包括口内检查、取模、拍摄X光片(全景片、头颅侧位片)、CBCT(评估骨性情况),分析牙齿、颌骨及面部关系。
- 方案设计:医生根据检查结果制定矫正计划,明确矫正目标(如解除深覆合、关闭间隙)、治疗周期(通常1.5-3年)及费用。
- 戴矫治器:传统矫正需粘托槽,隐形矫正需取模制作牙套,医生调整矫治装置。
- 复诊调整:传统矫正每4-6周调整弓丝,隐形矫正每1-2周更换牙套,确保牙齿按计划移动。
- 保持阶段:拆除矫治器后需戴保持器(透明压膜保持器或 Hawley 保持器),至少夜间佩戴2年,防止复发。
(二)矫正期间注意事项
- 口腔卫生:使用正畸专用牙刷、牙线、冲牙器,彻底清洁托槽周围食物残渣,避免龋齿和牙周炎。
- 饮食调整:避免过硬(坚果、骨头)、黏性(口香糖、年糕)食物,传统矫正患者需忌咬硬物,防止托槽脱落。
- 疼痛管理:初戴矫治器或每次调整后3-5天,可能出现牙齿酸痛,可通过温盐水漱口、服用非处方止痛药缓解。
- 定期复诊:严格按照医生时间复诊,若托槽脱落、弓丝刺伤口腔,需及时处理,避免影响矫正进度。
相关问答FAQs
问题1:牙齿过度咬合矫正的最佳年龄是什么时候?
解答:矫正需分阶段干预:

- 乳牙期(3-6岁):主要针对不良习惯(如吮指、口呼吸)及骨性问题(如反合),通过早期干预引导颌骨正常发育,预防畸形加重。
- 替牙期(6-12岁):是“矫正黄金期”,此时颌骨仍生长潜力,可通过功能矫治器调整颌骨关系,避免恒牙期复杂矫正。
- 恒牙期(12岁后):牙齿已完全萌出,主要通过固定矫正或隐形矫正移动牙齿,改善咬合关系,成人患者(18岁以上)若存在骨性问题,可能需联合正颌手术。
问题2:矫正过程中牙齿疼痛是正常的吗?如何缓解?
解答:矫正初期(戴矫治器后1周内)及每次调整后,牙齿疼痛是正常现象,主要因牙齿移动过程中牙槽骨改建引起,通常持续3-5天可逐渐缓解,缓解方法包括:
- 饮食调整:选择温凉、软质食物(如粥、面条、酸奶),避免冷热刺激及过硬食物。
- 口腔护理:使用温盐水漱口(1杯温水+1勺盐),每日3-4次,减轻炎症反应。
- 药物辅助:疼痛明显可服用布洛芬等非甾体抗炎药,但需遵医嘱,避免长期使用。
若疼痛持续超过1周或出现剧烈疼痛、牙齿松动,需及时复诊,排查托槽脱落、弓丝刺激等问题。

