种植牙歪斜确实是个令人担忧的问题,它不仅影响美观,更重要的是可能对口腔健康和功能造成一系列不良影响,别担心,我来详细分析一下种植牙歪斜的原因、后果以及应对方法。
📍 种植牙歪斜的主要原因
-
手术阶段植入位置不佳:
(图片来源网络,侵删)- 角度偏差: 种植体植入时,医生没有精确控制植入角度,导致种植体相对于邻牙、对颌牙或牙槽嵴的位置歪斜。
- 深度偏差: 种植体植入过深或过浅,也可能导致修复后的牙冠看起来位置不正。
- 位置偏差: 种植体在牙槽骨内的位置(颊舌向、近远中向)没有设计好,导致修复后与邻牙不协调。
- 骨量不足/骨条件差: 如果种植区域的骨头宽度、高度或密度不足,医生为了获得初期稳定性,可能会选择一个并非最佳位置的角度或深度植入,导致最终修复体歪斜,或者,在骨量不足的情况下强行植入,也可能导致位置不佳。
-
愈合与骨结合阶段的问题:
- 骨吸收/改建不均: 种植体植入后,周围的骨头会发生吸收和改建,如果这个过程不均匀,可能导致种植体位置发生轻微偏移,看起来歪斜。
- 软组织瘢痕挛缩: 种植体周围的牙龈愈合过程中,如果形成过度的瘢痕组织,其收缩力量也可能将牙龈和牙冠轻微拉向某个方向,造成视觉上的歪斜。
-
修复阶段的问题:
- 印模/取模不准: 制作牙冠前,取模(获取牙齿和种植体位置的精确模型)不准确,导致技工制作的牙冠位置与实际种植体不匹配。
- 基台选择或安装不当: 基台是连接种植体和牙冠的中间部件,如果基台选择的角度或高度不合适,或者安装时没有精确就位,会导致牙冠歪斜。
- 牙冠制作问题: 技工在制作牙冠时,没有严格按照模型和设计要求制作,导致牙冠本身形态或位置不正确。
- 咬合干扰: 如果牙冠的咬合面(与对颌牙接触的面)有早接触点或干扰,长期受力不均可能导致种植体微动或牙冠移位,看起来歪斜。
-
后期使用与维护问题:
- 咬合力过大或异常: 长期承受过大或方向异常的咬合力(如夜磨牙、紧咬牙、偏侧咀嚼),可能导致种植体周围骨组织吸收,种植体下沉或移位,牙冠随之歪斜。
- 种植体周围炎: 这是种植体周围组织的炎症,类似于天然牙的牙周炎,如果不及时治疗,会导致牙槽骨吸收,种植体松动、移位,牙冠位置改变,看起来歪斜。
- 外力创伤: 种植牙受到意外撞击或过大外力,可能导致种植体或基台松动、移位,牙冠歪斜。
- 邻牙移位: 如果旁边的天然牙发生移位(如牙周病导致),也可能影响种植牙的相对位置,看起来歪斜。
🚨 种植牙歪斜的潜在后果
- 美观问题: 这是最直观的影响,歪斜的牙冠会破坏笑容的和谐,影响面部美观和自信心。
- 咬合功能紊乱:
- 咬合干扰: 歪斜的牙冠可能导致咬合时早接触(某一点先接触),造成咬合创伤。
- 咀嚼效率下降: 歪斜可能导致无法有效切割或研磨食物。
- 颞下颌关节紊乱: 长期咬合异常可能诱发或加重颞下颌关节疼痛、弹响、张口受限等问题。
- 邻牙损伤: 歪斜的牙冠可能压迫或推挤邻牙,导致邻牙移位、食物嵌塞、甚至松动。
- 对颌牙损伤: 如果歪斜导致咬合过高或异常,可能损伤对颌的天然牙或修复体。
- 种植体周围骨组织吸收: 不正常的咬合力或种植体周围炎会导致支撑种植体的骨头被破坏吸收,进一步加重种植体松动和移位,形成恶性循环。
- 种植体失败风险增加: 长期受力不均、炎症刺激可能导致种植体松动、脱落,最终需要拔除种植体。
- 清洁困难: 歪斜的牙冠与邻牙或对颌牙之间可能形成不易清洁的死角,容易堆积食物残渣和牙菌斑,增加种植体周围炎和邻牙龋坏的风险。
- 患者不适感: 可能出现咬东西酸痛、牙龈疼痛、异物感等不适。
🛠 如何应对种植牙歪斜
最重要的一步:立即联系你的种植牙医生进行专业评估! 不要自行判断或拖延处理。

(图片来源网络,侵删)
-
专业诊断:
- 医生会进行详细的临床检查:视诊、探诊、叩诊、松动度检查。
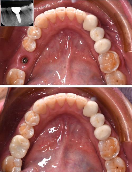
- 拍摄X光片(根尖片、曲面断层片或CBCT):这是关键!X光片能清晰显示种植体在骨内的位置、角度、深度,以及周围骨组织的健康状况,判断是否存在骨吸收、种植体是否松动。
- 检查咬合关系:用咬合纸检查是否有早接触点。
- 评估口腔卫生状况:检查是否有种植体周围炎的迹象(牙龈红肿、出血、溢脓)。
- 分析可能的原因:结合病史、检查结果,判断歪斜发生在哪个阶段(植入、愈合、修复、使用)。
-
根据诊断结果制定治疗方案:
- 轻微歪斜且功能良好、无骨吸收:
- 调磨牙冠: 如果问题主要在咬合高点或牙冠形态轻微不协调,医生可能通过精细调磨牙冠的咬合面或邻接面来改善位置和咬合关系。
- 更换基台/牙冠: 如果是基台角度或牙冠制作问题导致,可能需要取模,制作新的、更合适的基台和牙冠。
- 中度歪斜,伴有一定骨吸收或功能问题:
- 外科手术修正: 如果种植体本身位置偏差较大,但种植体稳固,周围骨量尚可,医生可能建议进行翻瓣手术,松解种植体周围组织,甚至通过截骨术重新调整种植体的位置(风险较高,技术要求高)。
- 重新制作修复体: 结合外科修正或仅通过精确取模,重新制作更合适的基台和牙冠。
- 严重歪斜,种植体松动或大量骨吸收:
- 种植体取出: 如果种植体周围骨吸收严重导致松动,或位置偏差过大无法有效修正,可能需要先取出失败的种植体。
- 植骨/引导骨再生: 在拔除种植体的区域进行植骨,等待骨愈合。
- 重新种植: 待骨组织条件改善后,在更理想的位置重新植入种植体。
- 治疗种植体周围炎: 如果歪斜是由种植体周围炎引起的,必须首先进行专业的种植体周围炎治疗(如龈下刮治、表面处理、必要时抗生素、甚至手术翻瓣清创),控制炎症,阻止骨吸收,炎症控制后,再评估是否需要修复调整。
- 处理咬合问题: 如有夜磨牙,需佩戴夜磨牙垫;调整全口咬合关系。
- 轻微歪斜且功能良好、无骨吸收:
📌 预防建议
- 选择经验丰富的专业医生和正规机构: 这是成功种植的基础,医生的技术、经验和对细节的把控至关重要。
- 充分的术前评估和设计: 利用CBCT等先进影像设备进行精确评估和数字化设计,制定个性化的种植方案,包括最佳植入位置、角度、深度。
- 精准的手术操作: 医生在手术中应严格按照设计方案操作,确保种植体位置精准。
- 高质量的修复体制作: 选择信誉好的技工中心,确保取模精确、基台适配、牙冠制作精良。
- 定期复查和维护: 种植牙后遵医嘱定期复查(通常半年到一年一次),医生会检查种植体周围状况、咬合关系、修复体情况等,及早发现问题处理。
- 良好的口腔卫生: 坚持正确使用牙刷、牙线、牙缝刷、冲牙器等,彻底清洁种植牙及其周围,预防种植体周围炎。
- 避免异常咬合力: 治疗夜磨牙/紧咬牙,避免用种植牙啃咬硬物(如骨头、蟹壳、坚果壳等)。
- 及时处理问题: 一旦发现种植牙有任何不适(如松动、疼痛、咬合异常、牙龈红肿出血、位置变化等),立即就医,不要拖延。
种植牙歪斜是一个需要严肃对待的问题,它关乎美观、功能甚至种植体的长期存留。千万不要因为觉得“还能用”或者“怕麻烦”而忽视它。 及时寻求专业种植牙医生的帮助,进行准确的诊断和针对性的治疗,是保护你的种植牙投资、维护口腔健康的关键,早期处理通常效果更好,也能避免更复杂、更昂贵的治疗,希望你能尽快解决问题,重新拥有健康美丽的笑容!💪🏻

(图片来源网络,侵删)
