核心优势与特点
-
正规资质与专业团队:
- 经大同市卫健委批准设立,是正规口腔医疗机构(参考[1])。
- 拥有专业的正畸科,配备经验丰富的医生团队(参考[1], [2], [3])。
- 王医生是正畸科的核心人物,拥有20年正畸临床经验,是山西省口腔医学会正畸专委会委员,专业背景扎实(参考[2], [3])。
-
技术先进:
(图片来源网络,侵删)- 采用数字化正畸技术,如iTero口内扫描仪进行精准取模,结合3D数字化方案设计(参考[4]),这能提供更精准、更舒适的矫正体验,尤其适合隐形矫正。
- 开展多种矫正方式,包括但不限于:
- 隐形矫正: 如时代天使、隐适美等(参考[2], [3], [4])。
- 传统金属托槽矫正。
- 陶瓷半隐形矫正。
- 儿童早期矫治(MRC等): 王医生擅长儿童早期干预(参考[3])。
-
价格透明与优惠政策:
- 强调价格透明,无隐形消费(参考[5])。
- 提供分期付款服务,减轻经济压力(参考[5])。
- 针对学生群体有学生专属优惠(参考[5])。
- 价格范围参考(具体需面诊确定):
- 金属托槽矫正:约 8000 - 15000 元
- 陶瓷半隐形矫正:约 12000 - 20000 元
- 隐形矫正(时代天使/隐适美):约 20000 - 45000 元(参考[5], [6])。
-
服务与口碑:
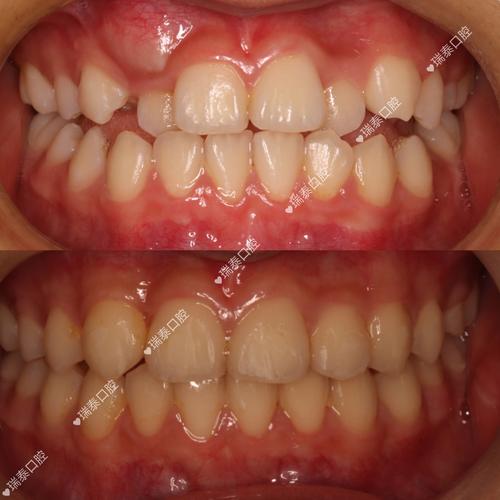
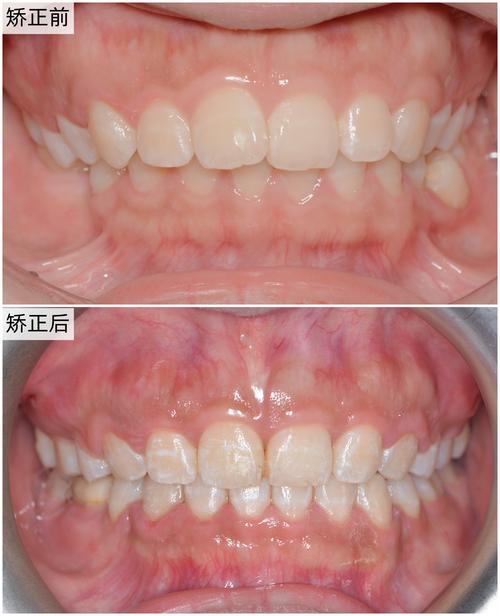
- 注重案例展示,让患者直观看到矫正效果(参考[7])。
- 在本地拥有一定的口碑(参考[7], [8])。
- 提供预约服务,方便患者就诊(参考[8])。
关于王医生(正畸科主任)
- 核心人物: 王医生是美源口腔正畸科的灵魂人物(参考[2], [3])。
- 经验丰富: 20年正畸临床经验,处理过大量复杂病例(参考[2], [3])。
- 专业背景: 山西省口腔医学会正畸专委会委员,专业权威(参考[2], [3])。
- 擅长领域:
- 各类错颌畸形的矫治(牙列拥挤、牙齿稀疏、龅牙、地包天、深覆合、深覆盖等)。
- 隐形矫正(时代天使、隐适美)。
- 儿童早期矫治(MRC等)(参考[3])。
- 理念: 注重功能与美观的结合,追求个性化方案设计。
选择建议
- 明确需求: 你需要解决什么牙齿问题?对美观要求多高?预算范围是多少?是成人还是儿童矫正?
- 重点考察王医生: 对于正畸这样需要长期治疗(通常1-3年)且效果影响深远的治疗,主治医生的经验和技术水平是核心,建议预约王医生的面诊,沟通你的需求和期望。
- 了解方案与费用: 面诊时,王医生会进行详细检查(可能包括拍片、取模、口扫),制定个性化矫正方案并明确费用构成,务必问清楚所有费用明细。
- 体验服务与环境: 实地考察医院环境、消毒流程、服务态度是否让你感到舒适和信任。
- 对比与咨询: 可以考虑咨询大同其他1-2家口碑好的口腔医院进行对比,综合判断哪家更适合你。
- 利用优惠: 如果你是学生,记得询问并申请学生优惠。
大同美源口腔医院是一家正规、专业、技术先进的口腔机构,其正畸科实力较强,核心优势在于经验丰富的王医生团队和数字化正畸技术,价格透明并提供分期和学生优惠,在本地拥有一定口碑。
如果你在大同寻求牙齿矫正服务,美源口腔,特别是王医生,是一个值得重点考虑和面诊的选择。 建议你亲自前往预约王医生的门诊,进行详细咨询和检查,获取最适合你的个性化矫正方案和报价。


