这是一个非常常见但又没有绝对答案的问题!种牙(种植牙)和全瓷牙(全瓷冠或全瓷桥)都是修复牙齿缺失的有效方法,但它们适用于不同的情况,各有优缺点。
选择哪种更好,完全取决于你的具体口腔状况、缺牙情况、个人需求、预算以及对风险的接受程度。

下面我们来详细对比一下两者的关键区别:
🦷 1. 种植牙 (Dental Implant)
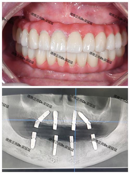
- 原理: 将一个纯钛的种植体(人工牙根)通过小手术植入到缺牙位置的牙槽骨内,等种植体与牙槽骨紧密结合(骨结合)后,在种植体上安装基台,再在基台上安装牙冠(可以是全瓷冠)。
- 核心优势:
- 独立修复,不损伤邻牙: 像真牙一样独立存在,不需要磨削旁边的健康牙齿,这是最大的优点之一。
- 功能恢复最佳: 咀嚼效率最高,接近天然牙,能很好地承受咀嚼力。
- 防止牙槽骨萎缩: 种植体植入牙槽骨后,能刺激骨组织,有效防止因缺牙导致的牙槽骨吸收和萎缩,维持面部轮廓。
- 长期稳定性好: 如果维护得当(良好的口腔卫生和定期复查),使用寿命非常长,很多可以终身使用。
- 美观自然: 配合全瓷牙冠,美观效果非常好,几乎可以乱真。
- 主要缺点:
- 治疗周期长: 需要手术,骨结合通常需要3-6个月甚至更长时间(具体看个人骨质和方案)。
- 费用较高: 是目前牙齿修复方法中费用最高的(包含种植体、基台、牙冠、手术费等)。
- 需要手术: 有一定的手术风险(如感染、出血、神经损伤等,但发生率很低)、术后需要恢复期。
- 对牙槽骨要求高: 需要足够的牙槽骨高度和宽度,如果骨量不足,可能需要植骨手术,增加费用、时间和风险。
- 维护要求高: 需要像真牙一样认真刷牙、使用牙线/冲牙器,并定期(通常半年到一年)复查和维护种植体周围组织健康(防止种植体周围炎)。
🦷 2. 全瓷牙 (All-Ceramic Crown / Bridge)
- 原理: 这里通常指的是全瓷固定桥,需要将缺牙位置相邻的1-2颗健康牙齿(作为基牙)磨小,然后制作一个包含假牙和覆盖在基牙上的全瓷冠的整体结构(桥体),粘接固定在磨小的基牙上。
- 注意:全瓷牙也可以指单颗全瓷冠(用于修复单个牙齿缺损或变色),但与种牙对比时,通常是指用于修复缺失牙的“全瓷桥”。
- 核心优势:
- 治疗周期短: 通常2-3次就诊即可完成(取模、试戴、粘接),无需等待骨结合。
- 费用相对较低: 比种植牙便宜很多(尤其是不涉及多颗基牙时)。
- 无需手术: 是一种修复方式,没有手术创伤和风险。
- 美观效果好: 全瓷材料通透性、色泽好,美观性也很高。
- 即刻恢复功能: 粘接后即可正常使用。
- 主要缺点:
- 需要磨削健康邻牙: 这是最大的缺点!为了给桥体提供支撑,必须磨小(切削)旁边健康的牙齿,这会损害这些牙齿的结构,增加它们未来发生龋坏、牙髓炎、需要根管治疗甚至折裂的风险。
- 依赖基牙健康: 桥体的寿命和功能完全依赖于作为支撑的基牙的健康状况,如果基牙出现问题(如蛀牙、牙周病、根管失败),整个桥体可能需要拆除或重做。
- 可能加速基牙牙周问题: 磨牙后,基牙形态改变,清洁难度增加,长期可能增加基牙患牙周病的风险。
- 可能加速牙槽骨萎缩: 桥体下方没有牙根刺激,牙槽骨会像缺牙一样逐渐萎缩(虽然比缺牙区萎缩慢,但比种植牙区严重)。
- 咀嚼效率相对较低: 尤其是跨度大的桥体,咀嚼效率不如种植牙和天然牙。
- 长期成功率低于种植牙: 随着时间推移,基牙失败的风险累积,全瓷桥的长期成功率(10-15年以上)通常低于种植牙。
- 清洁要求高: 需要特别仔细清洁桥体下方和基牙邻接面,否则容易藏匿食物残渣导致基牙龋坏或牙周炎。
📌 总结对比表
| 特点 | 种植牙 | 全瓷桥 |
|---|---|---|
| 修复原理 | 植入人工牙根,再安装牙冠 | 磨小邻牙做支撑,粘接固定桥体 |
| 对邻牙 | 不损伤邻牙 | 必须磨小健康邻牙 |
| 牙槽骨 | 刺激骨组织,防止萎缩 | 无刺激,骨会逐渐萎缩 |
| 功能恢复 | 最佳,接近天然牙 | 较好,但不如种植牙 |
| 美观性 | 非常好(配合全瓷冠) | 非常好 |
| 治疗周期 | 长(需手术和骨结合,3-6月+) | 短(2-3次就诊即可) |
| 费用 | 高 | 相对较低 |
| 手术风险 | 有(小手术) | 无 |
| 对骨质要求 | 高(需足够骨量,不足需植骨) | 无特殊要求 |
| 长期稳定性 | 高(维护好可终身) | 相对较低(依赖基牙健康) |
| 维护要求 | 高(需严格口腔卫生和定期专业维护) | 高(需仔细清洁桥体下方和基牙邻接面) |
| 适用情况 | 单颗/多颗缺牙、全口/半口缺牙、无牙颌 | 邻牙健康且愿意磨牙、缺牙位置前牙(受力小)、预算有限、无法接受手术 |
📌 如何选择?关键考虑因素
-
缺牙情况:
- 单颗缺牙: 种植牙是首选,因其不损伤邻牙、功能好、骨保存好,全瓷桥是备选,尤其当邻牙本身需要做冠修复时( killing two birds with one stone)。
- 多颗缺牙(连续): 种植牙是首选,尤其当缺牙数量多时,全瓷桥需要磨更多牙,风险更大,可以种植多颗牙,或种植+桥体结合,全瓷桥只适用于缺牙少(1-2颗)且邻牙健康强壮的情况。
- 缺牙位置: 后牙区受力大,种植牙优势更明显(功能好、不磨牙),前牙区对美观要求高,两者都能满足,但种植牙更优。
- 全口/半口缺牙: 种植牙(尤其是种植支持的固定义齿或覆盖义齿)是主流和最佳选择,能提供更好的固位、稳定性和功能。
-
口腔健康状况:
- 牙槽骨条件: 骨量充足?是否需要植骨?植骨增加费用、时间和风险。
- 邻牙健康状况: 邻牙是否健康?是否本身就需要做冠?如果邻牙本身有问题,做基牙风险高,种植牙更安全。
- 全身健康状况: 是否有严重未控制的全身疾病(如严重心脏病、未控制的糖尿病、骨质疏松等)?是否长期服用抗凝药物?这些可能影响种植手术的可行性和安全性。
-
个人需求和偏好:
(图片来源网络,侵删)- 预算: 种植牙费用显著高于全瓷桥。
- 对时间的敏感度: 能否接受较长的治疗周期?
- 对手术的接受度: 是否能接受小手术?
- 对美观的极致要求: 两者都能达到很高美观度,种植牙配合全瓷冠更接近自然。
- 维护意愿和能力: 是否能严格进行口腔卫生维护并定期复查?
📌 结论建议
- 从长远健康、功能 preservation(保存邻牙和骨组织)、咀嚼效率和成功率来看,种植牙通常是修复牙齿缺失的“金标准”和首选方案。 尤其是对于单颗缺牙、后牙缺牙、多颗缺牙以及全口缺牙。
- 全瓷桥(固定桥)是一种有效的替代方案,主要适用于:
- 预算有限。
- 缺牙位置在前牙区(受力相对小)。
- 缺牙数量少(1-2颗)。
- 邻牙本身健康且强壮,并且愿意被磨小。
- 因全身或局部原因无法或不愿接受种植手术。
- 邻牙本身就需要做冠修复(可以兼顾)。
最重要的一步:找专业的口腔医生进行详细检查和评估!
医生会通过口腔检查、X光片(全景片、CBCT等)评估你的牙槽骨情况、邻牙健康、咬合关系等,然后根据你的具体情况、需求和预算,为你制定个性化的治疗方案,并详细解释各种方案的优缺点、费用、风险和预期效果,最终由你做出知情选择。
不要自行决定,专业医生的评估和建议至关重要!💪🏻

