什么是连续结扎?
连续结扎是固定矫治技术(如方丝弓矫治器、直丝弓矫治器)中,将一根弓丝(通常是镍钛圆丝或不锈钢圆丝)连续地、紧密地固定在所有牙位的托槽槽沟内的一种操作技术,它是正畸治疗中非常基础且关键的步骤。
目的与重要性
- 固定弓丝: 将弓丝牢固地固定在托槽槽沟内,使其能够对牙齿施加持续、稳定的生物力,引导牙齿移动。
- 传递力量: 弓丝产生的矫治力通过连续结扎传递到每一个被弓丝覆盖的牙齿上。
- 维持弓形: 连续结扎有助于维持弓丝的预定形态(如理想的牙弓形态),防止弓丝在槽沟内滑动变形。
- 保证效率: 相比于对每个牙齿进行单独结扎(个别结扎),连续结扎效率更高,操作时间更短。
- 建立支抗: 在连续结扎的弓丝上,可以附加各种矫治附件(如螺旋弹簧、橡皮圈钩、牵引钩等),用于牙齿的整体移动或颌间牵引。
所需工具
- 结扎丝: 最常用的是直径0.010英寸或0.012英寸的不锈钢结扎丝,也有使用弹性结扎圈(橡皮圈)进行连续结扎的,但不锈钢丝更传统、更牢固、更可控。
- 持针器: 用于夹持和操作结扎丝,常用的有蚊式持针器或细长持针器。
- 结扎丝剪: 用于剪断多余的结扎丝末端。
- 结扎丝推压器/成型器: 用于将结扎丝末端压平,避免刺伤口腔黏膜(可选,但推荐)。
- 探针/牙周探针: 用于检查结扎是否到位、有无刺伤。
- 吸唾器: 保持操作区域干燥清晰。
- 镜子: 观察操作情况。
连续结扎的操作步骤(以不锈钢结扎丝为例)
-
准备与清洁:
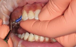
(图片来源网络,侵删)- 患者漱口,必要时进行隔湿(如使用棉卷、吸唾器)。
- 医生洗手、戴手套。
- 检查托槽是否粘接牢固,弓丝是否就位良好,无刺伤牙龈或黏膜的尖锐点。
-
取结扎丝:
- 从结扎丝卷上拉取一段足够长度的结扎丝(长度取决于牙弓长度和结扎圈数,通常需要绕牙弓1.5到2圈),新手可以稍长一些,熟练后可更精准。
- 用持针器在距离末端约2-3mm处弯一个小直角或“L”形弯,作为起始点。
-
起始结扎:
- 将结扎丝的“L”形弯端插入第一磨牙(通常是远中)的颊面管远中翼下方或托槽远中翼下方。
- 持针器夹住结扎丝末端,向舌侧(腭侧)绕过第一磨牙的颊面管/托槽。
- 持针器继续夹持结扎丝,向颊侧移动,准备结扎下一个牙(如第二前磨牙或第一前磨牙,取决于操作顺序)。
-
连续绕行结扎:
- 关键步骤: 持针器夹持结扎丝,以“8字形”或“双圈”的方式,紧密地、连续地绕过每个托槽的颊面和舌面(或腭面)。
- 操作要点:
- 紧贴托槽/颊面管: 结扎丝应紧贴托槽翼和颊面管翼,不能悬空。
- 力度均匀: 绕行时力度要均匀、适度,既要保证结扎紧密(弓丝不能在槽沟内晃动),又不能过度用力损伤托槽或牙齿。
- 方向一致: 保持结扎丝绕行的方向一致(通常是从颊侧到舌侧,再从舌侧到颊侧,形成连续的“8”字形)。
- 覆盖所有牙位: 按照牙弓顺序(通常从一侧后牙开始,绕过前牙,到另一侧后牙),连续结扎所有需要固定的牙齿,确保弓丝在所有托槽槽沟内都被固定。
- 避免交叉: 结扎丝在相邻牙齿之间应避免交叉重叠,以免引起不适或影响清洁。
-
末端处理:
(图片来源网络,侵删)- 当结扎丝绕行到起始点附近(如第一磨牙的近中)时,需要将末端固定。
- 将结扎丝末端从起始结扎点的下方或上方穿入,与起始的结扎丝拧在一起或缠绕固定。
- 用结扎丝剪紧贴牙齿表面,将多余的结扎丝末端剪断。务必剪短! 长的末端会刺伤口腔黏膜,引起溃疡。
- (强烈推荐) 使用结扎丝推压器或持针器的钝头,将剪断的结扎丝末端紧密地压平在托槽翼或颊面管翼上,确保其完全光滑无刺感,这是防止口腔溃疡的关键一步。
-
检查与调整:
- 用探针或牙周探针轻轻拨动弓丝和结扎丝,检查:
- 所有结扎点是否牢固?弓丝在槽沟内是否有明显晃动?
- 结扎丝末端是否处理光滑?有无尖锐刺点?
- 患者有无不适感?特别是颊、舌、腭侧黏膜。
- 如发现松动或刺点,及时调整或重新结扎。
- 用探针或牙周探针轻轻拨动弓丝和结扎丝,检查:
连续结扎的技巧与注意事项
- “8字形”绕法是核心: 这是保证结扎紧密、力量均匀、操作流畅的关键,多练习才能掌握手感。
- 力度控制: 新手容易用力过猛导致托槽脱落或弓丝变形,或用力过松导致弓丝滑动,需要经验积累。
- 末端处理至关重要: 未处理的结扎丝末端是口腔溃疡的常见原因,务必剪短并压平。
- 保持视野清晰: 吸唾器、隔湿棉卷的使用很重要。
- 顺序灵活: 可以从一侧后牙开始,也可以从前牙开始,但绕行方向要保持一致。
- 弓丝选择: 初期排齐阶段常用较细的镍钛圆丝(如0.014", 0.016"),因其弹性好,易于结扎,稳定阶段可用不锈钢圆丝或方丝。
- 与个别结扎的区别:
- 连续结扎: 一根结扎丝连续固定所有牙弓丝,优点:效率高、弓形稳定、利于整体移动,缺点:调整困难(如需移动单颗牙需拆除部分结扎)、口腔卫生维护相对困难(结扎丝多)。
- 个别结扎: 对每个牙齿单独使用结扎丝或橡皮圈固定弓丝,优点:调整灵活(可单独结扎/松开单个牙齿)、利于精细移动、口腔卫生相对好维护,缺点:操作繁琐、耗时、弓形稳定性可能稍差。
常见问题与并发症
- 结扎过松: 弓丝在槽沟内滑动,无法有效传递力量,影响矫治效果,甚至导致托槽旋转。
- 结扎过紧: 可能导致托槽脱落、弓丝变形、牙齿疼痛不适。
- 结扎丝末端刺伤: 引起口腔溃疡、疼痛,影响进食和口腔卫生。
- 操作不当导致托槽脱落: 力度控制不好或工具使用不当。
- 口腔卫生维护困难: 连续结扎的结扎丝较多,食物残渣容易堆积,增加龋齿和牙龈炎风险,患者需更仔细清洁。
连续结扎是正畸固定矫治中一项基础且核心的操作技能,它要求医生具备良好的手部协调性、力度控制能力和对细节的关注(尤其是末端处理),熟练掌握连续结扎技术,是确保矫治器有效发挥作用、提高治疗效率、减少并发症的关键环节,对于患者而言,了解这个过程有助于更好地配合治疗,并注意保持口腔卫生。请务必由专业的正畸医生进行操作,切勿自行尝试。

