口腔骨性正畸手术是一种针对颌骨发育异常导致的牙齿、咬合及面部形态问题的综合性治疗方法,其核心通过外科手术与正畸技术联合,调整颌骨位置、改善面部轮廓,同时恢复正常的咬合功能与口腔健康,与单纯依靠牙套移动牙齿的普通正畸不同,骨性正畸手术主要解决因颌骨大小、位置不协调(如下巴后缩、上颌前突、地包天等)导致的骨性畸形,这类问题往往无法通过传统正畸完全矫正,需通过手术重塑骨骼结构。
适用人群与常见骨性问题
口腔骨性正畸手术主要适用于存在严重骨性错颌的青少年及成人,青少年患者通常需在生长发育基本完成后(女性14-16岁,男性16-18岁)进行,此时颌骨发育趋于稳定,手术效果更可控;成人患者则无年龄限制,但需评估全身健康状况及颌骨愈合能力,常见的骨性问题包括:

- 骨性III类错颌(地包天):下颌骨过度前突或上颌骨发育不足,表现为“下兜上”的咬合关系,常伴随凹面型。
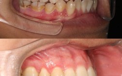
- 骨性II类错颌(龅牙):上颌骨前突或下颌骨后缩,导致上前牙前凸、嘴唇无法自然闭合,呈“凸面型”。
- 开颌:上下颌牙在咬合时无法接触,可能因颌骨垂直向发育异常或不良习惯(如吐舌)导致,影响咀嚼和发音。
- 偏颌:单侧颌骨发育过度或不足,导致面部中线偏斜、下颌偏斜,严重者出现面部不对称。
- 小颌畸形:下颌骨发育过小,导致下巴后缩、气道狭窄,可能伴随睡眠呼吸暂停等问题。
手术类型与技术特点
根据颌骨异常的部位和程度,口腔骨性正畸手术可分为上颌骨手术、下颌骨手术、双颌手术及辅助性手术,具体类型及适用情况如下表所示:
| 手术类型 | 适用情况 | 手术方式概述 |
|---|---|---|
| 上颌骨Le Fort I型截骨术 | 上颌骨垂直向发育过度(导致露龈笑)或不足、上颌牙弓狭窄 | 在上颌牙根上方水平截断骨块,向前/后/下移动,调整咬合平面及面部高度。 |
| 上颌骨Le Fort II型截骨术 | 上颌骨前突、眶下区凹陷 | 从鼻根、眶下至翼突处截骨,整体前移或后退上颌骨,改善中面部凹陷。 |
| 下颌支矢状劈开术 | 下颌骨发育不足(小下巴)或过度前突(地包天),需调整下颌位置及角度 | 从下颌升支内侧劈开,将下颌骨分为远心骨段(带牙齿)和近心骨段,移动后固定。 |
| 下颌支垂直截骨术 | 下颌角肥大、下颌骨垂直向发育过度(导致“国字脸”) | 截除部分下颌角骨质,或缩短下颌支长度,改善下颌轮廓。 |
| 双颌手术 | 上下颌骨同时存在异常(如下巴后缩合并上颌前突) | 联合上颌、下颌截骨术,同步调整上下颌骨位置,实现面部比例协调。 |
| 颏成形术 | 下巴形态异常(后缩、过长、偏斜),需改善面部轮廓 | 截取颏部骨块,前移/旋转/塑形,通过钛板钛钉固定,调整下巴突度及对称性。 |
手术流程:正畸-手术-正畸联合治疗
骨性正畸手术并非单一手术操作,而是“术前正畸-手术-术后正畸”的系统性治疗,通常需1.5-3年完成:
- 术前正畸(6-12个月):通过戴固定矫治器(如金属牙套、隐形牙套)排齐牙齿、调整牙弓形态,为手术创造条件,将牙齿移动至颌骨骨段内,避免术中损伤牙根;关闭拔牙间隙(若需拔牙),为颌骨移动预留空间。
- 手术阶段(1-3天住院):在全麻下进行截骨术,医生根据术前设计移动颌骨骨块,用钛板钛钉固定(钛生物相容性好,通常无需二次取出),手术时长因复杂程度而异,单颌手术约2-4小时,双颌手术约4-6小时。
- 术后正畸(6-12个月):术后等待颌骨初步愈合(约6-8周),继续佩戴矫治器精细调整牙齿位置,关闭剩余间隙、调整咬合关系,确保牙齿稳定在新的颌骨位置。
风险与术后护理
潜在风险
骨性正畸手术属于四级外科手术,存在一定风险,包括:
- 短期并发症:出血、感染(术后需抗生素预防)、肿胀(持续1-2周)、下唇麻木(因术中损伤下牙槽神经,多数可恢复3-6个月);
- 长期并发症:咬合不良(需二次调整)、骨块愈合不良(吸烟、糖尿病者风险高)、复发(术后不良习惯或保持不当导致,需终身佩戴保持器)。
术后护理要点
- 饮食管理:术后1周进冷流食(牛奶、果汁),2周内进温凉软食(粥、肉泥),避免过硬、过热食物刺激伤口;
- 口腔卫生:术后24小时用漱口水清洁口腔,1周后可软毛牙刷刷牙(避开手术区域),防止食物残渣堆积引发感染;
- 休息与活动:术后1周避免剧烈运动、弯腰低头,减少肿胀;睡觉时垫高头部,利于静脉回流;
- 复查与固定:按医生要求拆线(术后7-10天)、复查骨愈合情况,保持器需全天佩戴(术后6个月内),之后夜间长期佩戴。
相关问答FAQs
Q1:骨性正畸手术一定要拔牙吗?是否会影响牙齿功能?
A1:是否拔牙需根据颌骨畸形程度和牙齿拥挤度决定,若存在严重牙列拥挤(上/下颌骨空间不足容纳现有牙齿),或需通过拔牙为颌骨移动提供空间(如上颌前突需内收前牙),则可能拔除4颗前磨牙,拔牙后,正畸医生会通过移动牙齿关闭间隙,恢复牙列完整性和咀嚼功能,不会影响牙齿长期使用,若牙列整齐但颌骨位置异常(如下巴后缩),也可能无需拔牙。

Q2:手术后效果能维持多久?老了会不会复发?
A2:骨性正畸手术通过截骨移动颌骨并固定,效果长期稳定,但需注意:术后1-2年是复发高风险期,需严格佩戴保持器(夜间终身佩戴),避免咬硬物、用牙开瓶等不良习惯;青少年患者若术后仍在生长发育,可能需定期复查,必要时进行微调,成人患者若保持良好习惯,效果可维持终身,随着年龄增长,面部软组织会自然松弛,但骨骼形态稳定,不会因衰老导致畸形复发。

