垂直张力曲是正畸治疗中用于垂直向牙齿控制的特殊弓丝形态,通过其独特的曲度设计实现对牙冠和牙根的精准调控,是解决牙齿垂直向异常(如深覆颌、开颌等)的关键工具,其核心原理是通过弓丝的形变产生持续、轻柔的垂直向作用力,引导牙齿在牙槽骨内按预定方向移动,同时避免对牙周组织造成过度刺激。
垂直张力曲的结构与材料
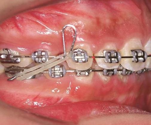
垂直张力曲通常由两部分组成:垂直臂和连接臂,垂直臂是产生垂直向作用力的核心,高度多设计为5-8mm,宽度3-5mm,形态包括“Ω形”“泪滴形”或“阶梯形”,具体根据牙齿移动需求调整;连接臂则与主弓丝相连,确保力量传递稳定,材料选择上,初始阶段多使用镍钛丝(如0.014"或0.016"),利用其超弹性提供持续轻力;后期精细调整阶段采用不锈钢丝(如0.017"×0.025"),通过弯制精确控制力量大小和方向。

临床应用场景
垂直张力曲的适用范围广泛,主要包括:
- 深覆颌矫正:通过压低上前牙或伸长后牙,改善上颌牙冠过长或下颌后牙垂直距离不足的问题;
- 开颌矫正:压低前牙或伸长后牙,关闭前牙区的垂直向间隙;
- 牙根吸收控制:对存在牙根吸收风险的牙齿,通过轻力压低减少牙根受力;
- 正畸种植体支抗辅助:与种植体支抗协同,实现后牙垂直向位置的精准控制。
垂直张力曲设计参数参考
不同错颌类型对垂直张力曲的设计要求差异较大,以下是常见病例的参数参考:
| 错颌类型 | 曲高度(mm) | 曲宽度(mm) | 作用力值(g) | 适用材料 |
|---|---|---|---|---|
| 深覆颌(压上前牙) | 5-7 | 3-4 | 50-80 | 镍钛丝 |
| 开颌(压高后牙) | 6-8 | 4-5 | 70-100 | 不锈钢丝 |
| 牙根吸收控制 | 4-6 | 3-4 | 30-50 | 镍钛钛丝 |
优势与注意事项
垂直张力曲的优势在于:①垂直向控制精准,可单独调节牙冠或牙根位置;②力量持续稳定,减少复诊频率;③与其他矫治力(如牵引力)协同,提升整体矫治效率,但需注意:弯制时避免曲部过于尖锐,防止弓丝疲劳断裂;加力需轻柔,一般不超过100g,避免牙根吸收或牙周损伤;患者需配合口腔清洁,防止托周龋坏,并定期复诊检查曲的形态和牙齿移动情况。
相关问答FAQs
Q1:垂直张力曲和普通摇椅形弓丝在垂直向控制上有何区别?
A1:普通摇椅形弓丝通过整体弧度提供垂直向力量,但力量分散且难以精确控制单颗牙齿,适合轻度深覆颌;垂直张力曲通过局部曲度集中作用力,可精准调控单颗或多颗牙的牙冠/牙根位置,适用于复杂垂直向异常病例,且力量更持续、可控。

Q2:使用垂直张力曲后出现牙齿酸痛,是否需要立即调整?
A2:牙齿轻微酸痛(3-5天内)属正常现象,是牙齿移动的生理反应;若疼痛剧烈或持续超过1周,可能是力量过大,需及时复诊检查曲的形态和作用力,医生会适当调整曲的高度或更换更轻柔的弓丝,避免牙周组织损伤。

