在口腔修复领域,镶牙(传统义齿修复)和种牙(种植牙修复)是常见的缺牙解决方案,但部分患者因镶牙后出现各类问题,最终选择重新种牙,这一过程并非简单的“替换”,而是涉及口腔状况评估、治疗方案调整、技术操作及术后维护的系统性工程,需结合患者口腔条件、镶牙类型及失败原因综合考量。
镶牙后为何需要重新种牙?
镶牙包括活动假牙(可摘义齿)、固定桥(烤瓷牙、全瓷牙)等,虽能暂时恢复咀嚼功能,但存在固有局限性,长期使用可能引发口腔问题,导致患者重新选择种牙:

镶牙的固有缺陷
- 活动假牙:依靠卡环和基托固位,易松动、摩擦牙龈,可能导致黏膜压痛、溃疡;长期佩戴会加速牙槽骨吸收(因缺乏生理性刺激),后期出现基托不稳、咀嚼效率下降。
- 固定桥:需磨除健康邻牙作为基牙,破坏牙体组织;若基牙因受力过大或龋坏导致松动、脱落,整个固定桥需废弃,且缺牙区牙槽骨会持续萎缩,影响后续修复。
镶牙失败的具体表现
- 继发问题:固定桥基牙龋坏、牙周炎,活动假牙基托折断、卡环变形;
- 功能退化:咀嚼疼痛、咬合无力,无法正常进食硬物;
- 美观与舒适度下降:活动假牙异物感强,可能影响发音;固定桥边缘密合度差,导致食物嵌塞、牙龈变色。
当镶牙无法满足基本功能与舒适需求,且牙槽骨条件允许时,种植牙因“独立支持、不损伤邻牙、刺激牙槽骨”等优势,成为重新修复的首选。
重新种牙的核心流程与注意事项
镶牙后重新种牙需比常规种牙更细致,重点解决“原有修复体拆除后的牙槽骨条件”“口腔软组织健康”“咬合重建”等问题,流程可分为以下阶段:
术前全面评估(关键步骤)
- 口腔检查:拆除原有镶牙体,检查缺牙区牙龈愈合情况、是否有炎症(如牙周炎、黏膜病);
- 影像学评估:通过CBCT(锥形束CT)测量牙槽骨高度、宽度、密度,判断骨量是否满足种植需求(种植体长度通常需≥10mm,直径≥3.5mm);
- 全身健康排查:控制糖尿病、高血压等慢性病,排除严重骨质疏松(需骨量充足或配合骨增量)、凝血功能障碍等禁忌症。
治疗计划制定
根据评估结果,分情况设计方案:
- 骨量充足:直接行种植体植入术;
- 骨量不足:需先进行骨增量(如植骨、上颌窦提升、骨劈开等),等待3-6个月骨结合后再种植;
- 软组织条件差:如牙龈萎缩,可结合软组织移植(如游离龈瓣移植)改善美观。
手术与修复阶段
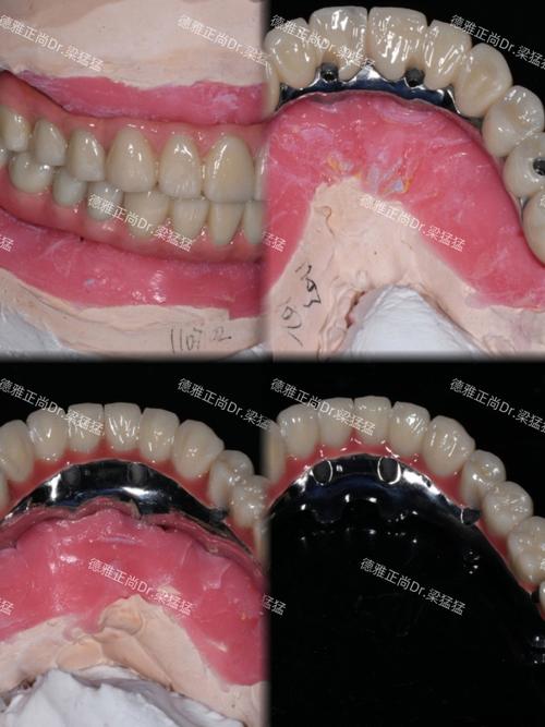
- 种植体植入:在局麻下,通过外科手术将纯钛种植体植入牙槽骨,术后3-6个月等待种植体与骨组织结合(骨整合);
- 基台与牙冠安装:骨整合完成后,安装愈合基台,2-4周后取模制作个性化牙冠(全瓷冠为主,兼顾美观与强度);
- 咬合调整:确保种植牙与邻牙、对颌牙的咬合关系协调,避免过大咬合力导致种植体周围炎或松动。
术后维护与复查
- 短期(1个月内):避免种植牙咀嚼硬物、用患侧咬食,保持口腔卫生(使用软毛牙刷、冲牙器);
- 长期(每年1-2次):复查种植体周围状况(通过X线片观察骨吸收情况),及时清除牙结石,预防种植体周围炎(是种植牙远期失败的主要原因)。
镶牙与重新种牙的优劣势对比
为更直观理解两者的差异,可通过表格对比:

| 对比维度 | 传统镶牙 | 重新种牙 |
|---|---|---|
| 固位方式 | 活动假牙:卡环/基托;固定桥:粘接邻牙 | 种植体与骨组织结合,独立支持 |
| 对邻牙影响 | 固定桥需磨除健康邻牙 | 不损伤邻牙,保留天然牙完整性 |
| 牙槽骨保护 | 无生理刺激,加速骨吸收 | 咀嚼力通过种植体传递至牙槽骨,延缓萎缩 |
| 使用寿命 | 5-10年(易损坏、需更换) | 10-20年(维护得当可终身使用) |
| 舒适度 | 活动假牙异物感强,可能影响发音 | 接近天然牙,无异物感 |
| 费用 | 较低(活动假牙1000-5000元/颗;固定桥3000-8000元/颗) | 较高(单颗8000-20000元,含骨增量费用更高) |
重新种牙的常见误区与解答
Q1:镶牙后重新种牙,是否需要拔除原来的基牙或残留牙根?
A:需根据具体情况判断,若固定桥的基牙已松动、龋坏或牙周炎严重,需拔除;若基牙健康且位置符合种植需求,可保留作为“天然基牙”,与种植牙共同支持修复体(称为“ hybrid修复”),减少种植体数量,对于活动假牙的残留卡环或基托,拆除后需彻底清除粘接剂,确保种植区域无异物。
Q2:镶牙多年后牙槽骨已经萎缩,还能种牙吗?
A:牙槽骨萎缩并非种牙绝对禁忌,通过骨增量技术(如自体骨移植、人工骨粉填充、上颌窦内提升等)可重建骨量,轻度萎缩可采用“骨挤压术”(用种植备洞工具轻微扩大骨面,增加密度);重度萎缩需先植骨,等待3-6个月骨结合后再种植,现代技术(如数字化导板、3D打印导板)可精准控制种植位置和角度,降低手术风险,提高成功率(目前骨增量后的种植成功率可达85%-95%)。
镶牙后重新种牙是解决镶牙失败、提升口腔功能与质量的有效方案,其核心在于“精准评估+个性化设计+规范操作”,患者需充分了解两种修复方式的差异,结合自身口腔条件、经济预算及长期需求,在专业医生指导下选择最适合的方案,术后严格维护(口腔卫生、定期复查)是延长种植牙使用寿命的关键,让修复效果真正“长久陪伴”。

