种牙后的牙周病是种植修复后常见的并发症,主要指种植体周围组织发生的炎症性病变,包括种植体周围黏膜炎和种植体周围炎,前者局限于种植体穿黏膜软组织,后者则累及种植体周围支持骨组织,若不及时干预,可能导致种植体松动甚至脱落,严重影响种植修复的长期效果。
种牙后牙周病的诱发因素
种植牙虽能模拟天然牙功能,但其周围组织的防御机制与天然牙存在差异:天然牙有牙周膜提供感觉和营养,而种植体与骨组织直接结合(骨结合),缺乏牙周膜的缓冲和免疫调节能力,更易受局部和全身因素影响。

局部因素是主要诱因,其中菌斑生物膜堆积是核心病因,种植体表面(尤其是螺纹和粗糙处)易附着细菌,若口腔卫生维护不当,菌斑钙化形成牙结石,会持续释放毒素,刺激种植体周围软组织发炎,种植体设计(如表面粗糙度、颈部形态)、修复体因素(如咬合力过大、修复体悬突、边缘不密合)也可能导致菌斑滞留,加速炎症进展,修复体与种植体连接处若存在微缝隙,易成为细菌藏匿点,长期刺激下引发黏膜炎,进而突破软组织屏障侵犯骨组织,发展为种植体周围炎。
全身因素也不容忽视,糖尿病患者因血糖控制不佳,机体免疫功能下降,伤口愈合能力减弱,种植体周围炎风险显著增高;吸烟者尼古丁会导致血管收缩,影响种植体周围组织的血液供应和骨代谢,研究显示吸烟者种植体周围炎发病率是非吸烟者的3-5倍;骨质疏松症、长期服用免疫抑制剂、精神压力过大等全身状态,也会削弱机体对炎症的抵抗力,增加患病风险。
手术相关因素可能增加早期并发症风险,若种植术中植入位置不佳(如靠近天然牙根或骨壁过薄)、种植体表面污染、术后初期负载过大等,可能导致种植体周围组织受力异常,诱发炎症反应。
种牙后牙周病的临床表现与分期
种植体周围病根据病变程度分为种植体周围黏膜炎和种植体周围炎,二者临床表现和预后存在差异。

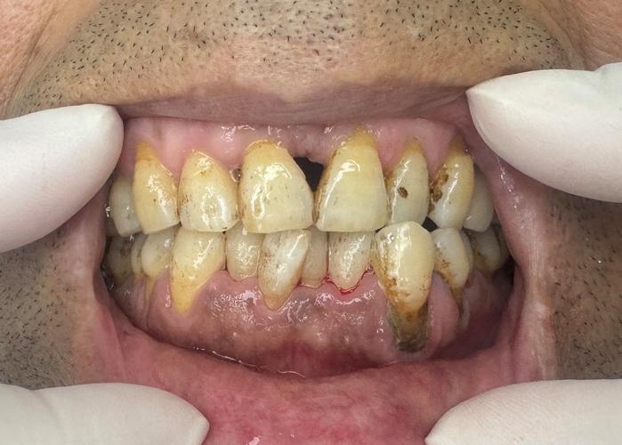
种植体周围黏膜炎主要表现为种植体周围牙龈红肿、探诊出血,甚至溢脓,但通常无骨吸收,通过规范治疗可完全恢复健康,此时患者可能感觉牙龈刷牙时易出血,或咬硬物时牙龈不适,但种植体无松动,X射线检查可见种植体周围骨密度正常,无骨吸收影像。
种植体周围炎则病情更重,除黏膜炎症状外,还出现种植体周围骨吸收,X射线可见种植体骨结合界面出现透射影,骨吸收量超过种植体长度的1/3时,种植体可能出现松动,患者会感觉咀嚼无力,甚至种植体脱落,此时炎症若不及时控制,骨吸收会持续进展,最终导致种植修复失败。
以下表格对比两种疾病的临床特征:
| 特征 | 种植体周围黏膜炎 | 种植体周围炎 |
|---|---|---|
| 病变范围 | 仅限于种植体穿黏膜软组织 | 累及种植体周围支持骨组织 |
| 牙龈表现 | 红肿、探诊出血、溢脓 | 明显红肿、增生、溢脓,牙龈退缩 |
| 探诊深度 | ≤4mm,无附着丧失 | ≥5mm,附着丧失≥2mm |
| 骨吸收情况 | 无骨吸收,X射线骨密度正常 | 可见骨吸收透射影,骨吸收量>种植体长度1/3 |
| 种植体松动度 | 无松动 | 可出现松动 |
种牙后牙周病的预防与治疗
预防是关键,需从术前、术中、术后全程管理,术前需进行全面口腔检查,控制血糖、戒烟,彻底治疗天然牙牙周炎;术中选择合适的种植体(如表面光滑度适中、设计合理的种植体),避免损伤骨组织,确保种植体周围有足够骨量支持;术后需加强口腔卫生指导,教会患者正确使用巴氏刷牙法、牙线、冲牙器等工具,每日至少清洁种植体周围2次,并定期复查(一般术后3个月复查1次,之后每年至少2次),及时清除牙结石和菌斑。

对于已发生的种植体周围病,治疗需根据分期采取不同措施:
- 种植体周围黏膜炎:以保守治疗为主,通过专业洁治(使用种植体专用器械,避免损伤种植体表面)、刮治清除菌斑和牙结石,配合局部药物冲洗(如0.12%氯己定),同时加强患者口腔卫生维护,多数可治愈。
- 种植体周围炎:需结合手术治疗,若骨吸收较轻,可进行引导性骨再生术(GBR),在骨缺损处植入骨移植材料,覆盖生物膜引导骨组织再生;若骨吸收严重或种植体松动,需评估种植体稳定性,必要时取出种植体,待炎症控制、骨组织愈合后再行种植修复,全身性疾病(如糖尿病)需积极控制,吸烟者必须戒烟,以降低复发风险。
相关问答FAQs
Q1:种牙后牙龈出血是正常的吗?需要马上处理吗?
A:种牙后1-2周内轻微牙龈出血可能因手术创伤,属正常现象,通常可自行缓解,但若术后1个月仍频繁出血,或伴随牙龈红肿、疼痛,则可能是种植体周围黏膜炎或周围炎的信号,需及时复诊,医生会通过检查明确出血原因(如菌斑堆积、修复体刺激等),并针对性进行洁治、药物治疗等,避免病情进展影响种植体寿命。
Q2:种牙后能用电动牙刷吗?会不会损伤种植体?
A:种牙后可以使用电动牙刷,但需注意选择刷毛柔软、压力调节功能较好的声波式或旋转式电动牙刷,避免使用刷毛过硬或震动过强的产品,刷牙时采用巴氏刷牙法,将刷毛与种植体颈部呈45°角,轻轻按压牙齿与牙龈交界处,水平短距离颤动,每次刷2-3分钟,重点清洁种植体周围及邻牙间隙,若牙龈敏感或术后初期,建议先使用软毛手动牙刷,待完全愈合后再过渡到电动牙刷,同时定期检查牙刷刷毛磨损情况,及时更换。
