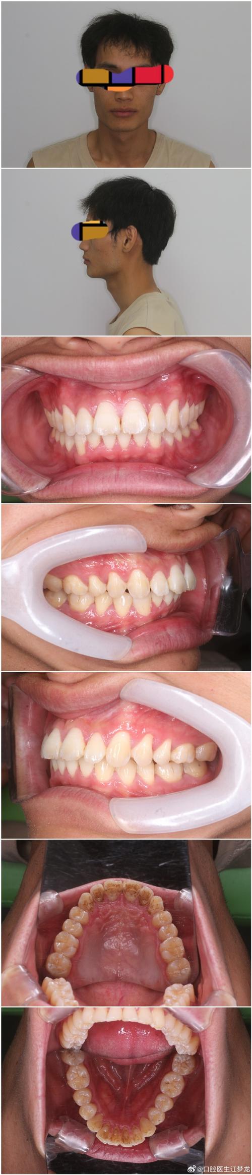
牙齿矫正中的“抬高后牙”是指通过正畸治疗手段,使后牙区(通常为第一磨牙、第二磨牙)在垂直向(上下方向)位置升高,以改善咬合关系、恢复面部垂直高度或解决功能异常的治疗过程,后牙作为口腔重要的咀嚼结构,其位置异常可能导致咬合紊乱、邻牙倾斜、颞下颌关节问题等,而抬高后牙是重建咬合平衡的关键手段之一。
为何需要抬高后牙?
后牙位置异常的常见原因包括:后牙缺失后对颌牙伸长(如下颌磨牙缺失,上颌磨牙过度伸长导致咬合干扰)、前牙深覆合需打开咬合(通过抬高后牙降低前牙覆盖)、面部垂直高度不足(后牙支持高度不够导致“短面”)、后牙伸长引发的咬合创伤或颞下颌关节紊乱等,抬高后牙的核心目的在于:恢复正常的咬合接触,使前后牙力量分布均匀;防止因后牙缺失导致的邻牙倾斜或对颌牙伸长;改善因垂直高度不足引起的面部美观问题(如下巴后缩、嘴唇突出);同时为后续修复治疗(如种植牙、烤瓷牙)创造空间条件。

抬高后牙的常用方法及对比
目前临床中抬高后牙的技术多样,需根据患者具体情况(如牙齿移动距离、骨条件、支抗需求)选择,主要方法如下:
| 方法 | 原理 | 适用情况 | 优点 | 缺点 |
|---|---|---|---|---|
| 摇椅弓技术 | 在弓丝弯制“摇椅形”弧度,利用弓丝弹性对后牙产生持续垂直向升高力 | 前牙深覆合需打开咬合、后牙轻度伸长调整 | 无创、经济、操作简单 | 力量控制较粗,需配合颌间牵引,可能引发前牙唇倾 |
| 种植体支抗 | 在牙槽骨内植入微种植钉(直径1.2-2.0mm),通过牵引装置直接施加升高力 | 后牙大量伸长、需精准控制移动、支抗要求高的病例 | 支抗稳定、移动精准、可独立完成 | 有创(需手术植入)、费用较高、存在种植钉松动风险 |
| 高位牵引头帽 | 通过头帽上的牵引钩连接后牙矫治器,利用头颅作为支抗向上牵引后牙 | 后牙伸长导致的咬合开𬌗、垂直高度不足,青少年患者(生长发育期) | 非口内支抗、避免邻牙干扰 | 依赖患者配合(需每天佩戴10-12小时)、美观性差 |
| 隐形矫治+附件 | 在隐形牙套上设计附件(如小凸起),配合弹性牵引或牙套自身的垂直向移动力量 | 轻中度后牙抬高、对美观要求高的成年患者 | 美观舒适、可自行摘戴、数字化方案精准 | 力量较轻,复杂病例效果有限,需严格按牙套佩戴 |
| 竖直磨牙技术 | 通过多曲方丝弓(MEAW)或片段弓,结合颌间牵引,将倾斜的后牙竖直并适当升高 | 后牙倾斜伴伸长、需同时调整近远中向位置 | 可多维度调整牙齿位置 | 操作复杂、治疗周期长、对医生技术要求高 |
适应症与禁忌症
并非所有后牙异常都需要或适合抬高,需严格评估:
适应症:① 后牙缺失导致对颌牙伸长,需抬高伸长牙为修复(如种植牙)留出空间;② 前牙深覆合(上颌牙覆盖下颌牙超过1/3),通过抬高后牙打开咬合;③ 后牙支持不足导致的面部垂直距离降低(俗称“短面综合征”);④ 后牙伸长引发的咬合创伤、牙龈萎缩或颞下颌关节疼痛;⑤ 正畸治疗中需调整咬合平面,平衡前后牙高度。
禁忌症:① 严重的牙周病(牙槽骨吸收超过根长1/3),牙齿松动度>Ⅱ度,无法承受矫正力;② 后牙区牙根吸收、骨量不足或存在囊肿、肿瘤等病变;③ 全身性疾病如未控制的糖尿病、骨质疏松、凝血功能障碍,影响骨改建或愈合;④ 口腔卫生极差,矫正后易发生龋坏或牙周炎;⑤ 患者依从性差,无法定期复诊或配合维护。
治疗过程中的注意事项
- 口腔卫生维护:矫正中牙套、附件易存留食物残渣,需使用正畸专用牙刷(如小头牙刷)、冲牙器,每天至少刷牙3次,配合牙线清洁邻面,预防“龋齿”和“牙周炎”。
- 定期复诊调整:医生需每4-6周复诊一次,检查后牙移动情况、调整矫治力(如更换弓丝、加力牵引),避免力量过大导致牙根吸收或牙髓损伤。
- 饮食与生活习惯:避免用后牙咀嚼硬物(如坚果、骨头)、黏性食物(如口香糖),防止矫治器脱落或后牙受力过大;若存在夜磨牙,需佩戴颌垫保护,避免后牙过度受力。
- 风险应对:少数患者可能出现牙髓敏感(冷热刺激痛),可使用脱敏牙膏;若出现牙根吸收(通过X光片监测),严重时需暂停矫正或调整方案;种植支抗松动者需重新植入。
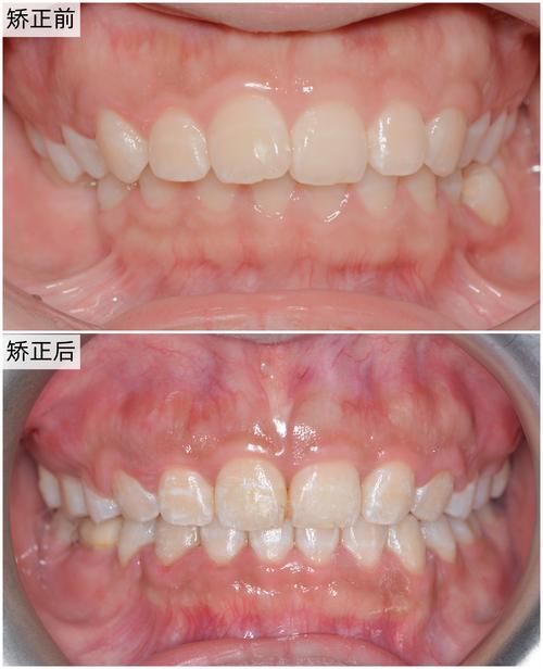
矫正后的保持与复发预防
后牙抬高后,牙槽骨改建需6-12个月才能稳定,因此保持阶段至关重要:① 矫正结束后需立即佩戴保持器(通常为透明保持器或哈雷保持器),前6个月全天佩戴,之后过渡到夜间长期佩戴;② 若存在夜磨牙、咬合异常等习惯,需同步治疗,避免后牙因异常咬合力量再次移位;③ 定期复查(每3-6个月一次),医生通过临床检查和X光片评估后牙位置及咬合稳定性,及时调整保持方案。

相关问答FAQs
问题1:牙齿矫正抬高后牙过程中会有疼痛吗?如何缓解?
答:抬高后牙时,牙齿移动会牵拉牙周组织,通常在加力后3-5天内出现轻微疼痛或酸胀感,属于正常生理反应,缓解方法:① 饮食以细软食物为主(如粥、面条),避免用后牙咀嚼硬物;② 用温盐水(37℃左右)漱口,促进局部血液循环;③ 遵医嘱服用非甾体抗炎药(如布洛芬),每次200mg,每日1-2次,不超过3天;④ 若疼痛剧烈或持续超过1周,需及时复诊,医生可能调整矫治力或排查其他问题(如牙髓炎)。
问题2:矫正后后牙抬高效果会反弹吗?如何预防?
答:后牙抬高后存在一定反弹风险,主要原因包括:牙周组织改建未完成、咬合肌肉力量不平衡(如夜磨牙)、未按要求佩戴保持器,预防措施:① 严格佩戴保持器,矫正结束后前6个月必须全天佩戴,即使进食也不可摘下,之后改为夜间佩戴,至少持续2年;② 若有夜磨牙习惯,需制作颌垫(如软垫或硬垫),夜间佩戴以分散咬合力量;③ 定期复查(每3-6个月),医生通过检查后牙咬合接触点、测量垂直高度,判断是否需要调整保持器;④ 避免用后牙咬硬物(如开酒瓶、咬核桃),减少异常咬合刺激。

