牙周病是口腔常见的慢性感染性疾病,主要侵犯牙周支持组织,包括牙龈、牙周膜、牙槽骨等,若不及时控制,会导致牙槽骨吸收、牙齿松动甚至脱落,而种植牙作为目前修复缺失牙的有效方式,对患者的牙周健康状况有严格要求,临床中,不少患者因牙周病未得到规范治疗而面临种牙困难或失败,以下通过具体案例说明牙周病与种牙的关系及处理要点。
牙周病对种牙的影响及案例举例
牙周病的核心问题是牙槽骨破坏,而种植牙的成功依赖充足的牙槽骨支持和健康的牙周环境,根据牙周病严重程度,种牙方案差异较大,以下结合不同分期案例展开:

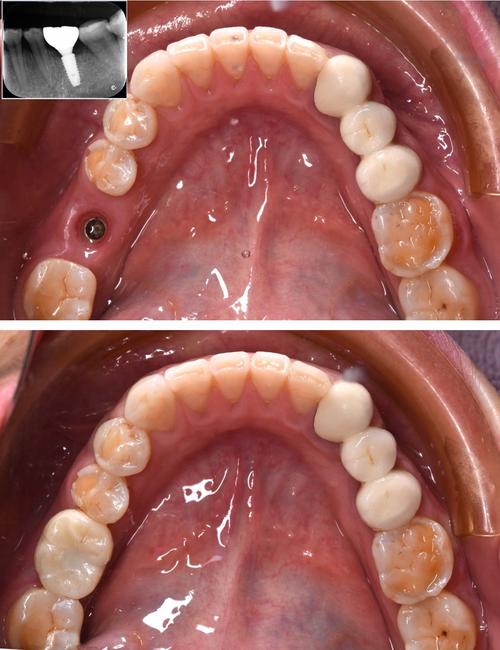
案例1:轻度牙周炎患者(牙周袋≤4mm,牙槽骨吸收≤根长1/3)
患者情况:42岁男性,右上第一磨牙缺失3个月,余牙牙龈轻微出血,牙周探诊深度3-5mm,牙槽骨高度约根长2/3,无松动。
牙周治疗:行全口龈上洁治+龈下刮治,去除牙菌斑和牙石,配合局部药物治疗(如米诺环素凝胶),1个月后复查牙周指标稳定。
种牙方案:选择常规种植体(直径4.0mm,长度10mm),微创植入,术后3个月完成上部修复。
效果:种植体骨结合良好,无松动,牙龈形态正常,咀嚼功能恢复。
案例2:中度牙周炎伴骨缺损(牙周袋5-6mm,牙槽骨吸收根长1/3-1/2)
患者情况:58岁女性,左下第一磨牙缺失2年,邻牙牙周袋6mm,牙槽骨吸收至根中1/2,可见骨下袋,牙齿Ⅱ度松动。
牙周治疗:先行牙周基础治疗(全口洁治、根面平整),再行牙周翻瓣术+骨引导再生术(GBR),植入骨粉(Bio-Oss)和胶原膜,促进骨再生,术后3个月复查,牙槽骨高度恢复至根长2/3,牙周袋深度≤3mm。
种牙方案:选择较粗直径种植体(直径4.5mm,长度12mm)增强初期稳定性,延期6个月种植,确保骨结合充分。
效果:种植体周围骨密度良好,无骨吸收,修复后咬合功能稳定。
案例3:重度牙周炎(牙周袋≥7mm,牙槽骨吸收>根长1/2,多牙松动)
患者情况:65岁男性,全口多牙松动缺失,余牙牙周袋7-9mm,牙槽骨吸收严重,部分区域呈“刀削状”,伴有全身系统性疾病(糖尿病控制一般)。
牙周治疗:多学科联合治疗,控制血糖(糖化血红蛋白≤7%),分阶段行牙周治疗:拔除无法保留的松动牙,牙周刮治+抗生素辅助治疗(阿莫西林+甲硝唑),佩戴临时义齿过渡;6个月后行牙周手术(如截根术+半切除术),保留余牙;再观察3个月,确认炎症控制。
种牙方案:采用All-on-4即刻负重技术,植入4颗种植体支撑全口义齿,避开严重骨缺损区域,利用倾斜种植增加骨接触面积。
效果:术后1年种植体稳定,义齿固位良好,患者生活质量显著改善。
不同牙周病分期种牙处理要点对比
| 牙周病分期 | 主要临床表现 | 牙周治疗核心 | 种牙时机 | 种植体选择建议 | 术后维护要点 |
|---|---|---|---|---|---|
| 轻度 | 牙龈炎,PD≤4mm,骨吸收≤1/3 | 基础治疗(洁治+刮治) | 治疗后1-3个月 | 常规种植体 | 每年1次牙周复查 |
| 中度 | PD 5-6mm,骨吸收1/3-1/2 | 翻瓣术+骨再生 | 骨再生后3-6个月 | 粗直径/长种植体 | 每6个月洁治+菌斑控制 |
| 重度 | PD≥7mm,骨吸收>1/2,多牙松动 | 多学科联合+复杂牙周手术 | 炎症控制后6-12个月 | 即刻负重/倾斜种植 | 强化菌斑控制,3个月复查1次 |
相关问答FAQs
Q1:牙周病没治好直接种牙会有什么风险?
A:牙周病未控制时,口腔内存在大量致病菌,种植体植入后易引发种植体周围炎,导致种植体周围骨吸收、松动甚至脱落,炎症环境会影响骨结合,降低种植成功率,临床数据显示,未经治疗的牙周病患者种牙失败率可达20%-30%,远高于牙周健康者(<5%)。

Q2:牙周病患者种牙后如何维护?
A:需长期强化维护:①每日使用巴氏刷牙法刷牙,配合牙线、冲牙器清洁种植体周围;②每3-6个月进行1次专业牙周维护(洁治+种植体周围刮治);③戒烟限酒,控制全身性疾病(如糖尿病);④出现牙龈红肿、出血、种植体松动等症状时及时复诊,避免炎症进展。

