在珠海这座海滨城市,随着居民对口腔健康重视程度的提升,种植牙已成为修复牙齿缺失的主流选择,而在当地种植牙领域,刘俊医生凭借其精湛的技术、丰富的经验和严谨的诊疗态度,逐渐成为众多患者信赖的“种牙专家”,从公立医院到私立口腔机构,刘俊医生深耕口腔种植领域十余年,累计完成种植手术数千例,尤其擅长复杂骨条件下的种植修复、即刻种植与负重技术,以及全口/半口种植重建,为无数患者解决了缺牙困扰,重获健康咀嚼与自信笑容。
刘俊医生的专业背景与技术积淀
刘俊医生的成长轨迹,印证了“厚积薄发”的专业精神,他毕业于国内知名医科大学口腔医学专业,随后在大型三甲医院口腔科完成住院医师规范化培训,系统掌握了口腔颌面外科、修复科、种植科等多学科的理论基础与临床技能,为精进种植技术,他先后赴韩国、德国等地进修,学习国际前沿的种植理念与技术,师从多位国际知名种植专家,并获得ITI(国际口腔种植学会)认证、Straumann(士卓曼)种植系统高级认证等多项权威资质。

在临床工作中,刘俊医生始终坚持“功能与美学并重”的原则,他认为种植牙不仅是“种下一颗牙”,更是重建口腔咬合功能、改善面部美观的综合工程,他注重术前精准评估,结合患者的口腔条件、骨量、咬合习惯及全身健康状况,制定个性化种植方案,针对骨量不足的患者,他熟练掌握骨增量技术(如GBR骨引导再生、上颌窦提升术),通过自体骨、骨粉等材料,为种植体提供稳定的骨结合基础;对于全口无牙颌患者,他灵活运用All-on-4/All-on-6即刻负重技术,实现“当天种牙、当天戴牙”的理想效果,大幅缩短患者的治疗周期与等待时间。
数字化种植技术:精准与高效的融合
近年来,数字化技术成为口腔种植的发展趋势,而刘俊医生正是这一领域的积极践行者,他引进了国际先进的CBCT(锥形束CT)、口内扫描仪、3D打印技术等数字化设备,构建了“术前模拟-术中导航-术后监测”的全流程数字化种植体系。
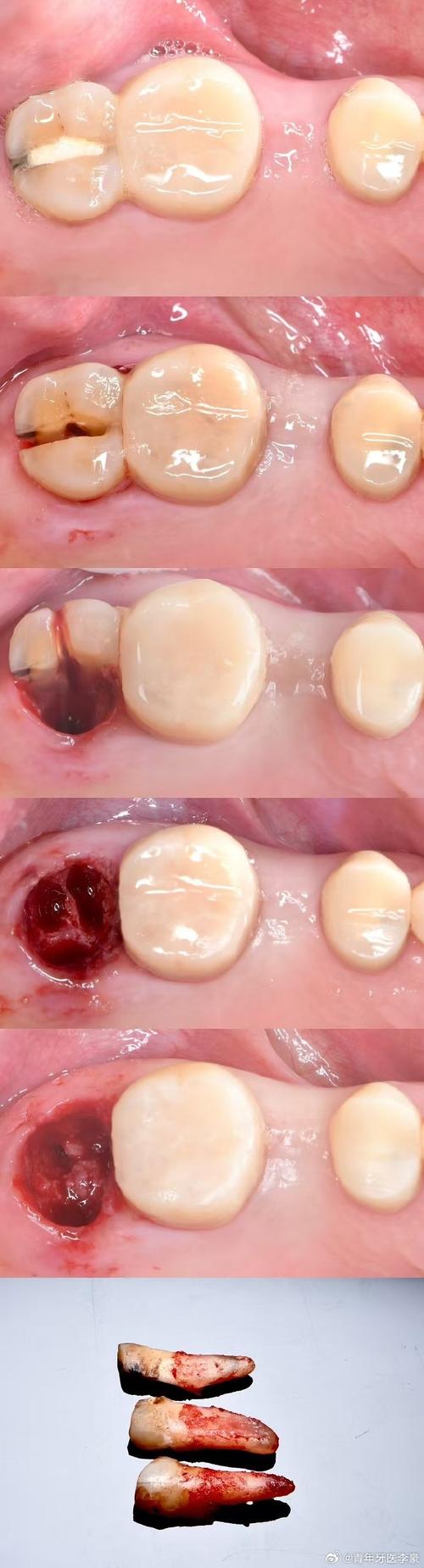
在术前阶段,通过CBCT可获取患者口腔的三维影像,结合口内扫描数据,在专业软件中模拟种植体的植入位置、角度、深度,避开神经血管等重要解剖结构,精准计算骨量需求,并制作3D打印手术导板,这一技术将传统种植的“经验依赖”转化为“精准量化”,将种植误差控制在0.1mm以内,显著提升了手术的安全性与成功率。
术中,刘俊医生借助数字化导板,仅需一个微小切口即可完成种植体植入,实现微创操作,相比传统种植手术,这种方法能减少软组织损伤,降低术后肿胀、疼痛等不适反应,缩短恢复时间,据临床数据显示,采用数字化导板种植的患者,术后3天肿胀发生率降低40%,疼痛评分下降50%。

刘俊医生注重种植体的长期稳定性,他严格筛选国际一线种植体品牌(如瑞士Straumann、瑞典Nobel Biocare、德国Ankylos等),这些种植体具有生物相容性好、骨结合率高、抗旋转性强等优势,配合规范的术后维护,10年成功率可达95%以上。
种牙流程详解:从焦虑到安心的一站式服务
为了让患者清晰了解种植牙的全过程,刘俊医生团队制定了标准化且人性化的诊疗流程,以下是珠海种牙刘俊医生的典型种牙流程步骤:
| 阶段 | 时长 | |
|---|---|---|
| 初诊检查 | 口腔检查(牙齿、牙周、咬合关系)、CBCT影像拍摄、血液检查(评估全身健康状况) | 30-60分钟 |
| 方案设计 | 结合影像数据与患者需求,制定个性化种植方案,沟通费用、预期效果及风险 | 30-45分钟 |
| 术前准备 | 清洁口腔、治疗牙周炎(如有)、签署知情同意书 | 1-2周 |
| 种植手术 | 局部麻醉、消毒铺巾、切开牙龈、植入种植体、缝合伤口(数字化导板辅助精准定位) | 30-90分钟/颗 |
| 骨结合期 | 等待种植体与牙槽骨融合(一般3-6个月,骨条件良好者可缩短) | 3-6个月 |
| 基台与牙冠安装 | 二次手术暴露种植体(若需)、安装基台、取模制作牙冠、试戴调整 | 2-3周 |
| 术后复查 | 术后1周、1个月、3个月、6个月定期复查,评估种植体稳定性与口腔健康 | 长期随访 |
刘俊医生强调,种植牙并非“一劳永逸”,术后的口腔维护至关重要,他会为每位患者制定详细的维护计划,包括正确的刷牙方法、牙线/冲牙器的使用、定期洁牙与种植体复查等,确保种植牙长期稳定使用。
患者真实案例:从“无法咀嚼”到“重享美食”
李阿姨今年58岁,因多年缺牙导致多颗牙齿松动,仅靠后侧几颗牙勉强咀嚼,日常饮食只能吃软食,生活质量大幅下降,经朋友推荐,她来到刘俊医生的诊室求诊,检查发现,李阿姨存在严重的牙槽骨吸收,上下颌多颗牙缺失,传统活动义齿固位差,异物感强。

刘俊医生为李阿姨制定了“All-on-6即刻种植”方案:通过数字化导板精准植入6颗种植体,支持上下颌各12颗全瓷牙冠,实现当天种牙、当天戴牙,手术过程中,刘俊医生采用微创技术,仅切开少量牙龈,手术历时2小时,李阿姨几乎无疼痛感,术后当天,她即可进食流质食物,3天后逐渐恢复正常饮食,3个月后复查,种植体骨结合良好,牙冠色泽、形态与邻牙协调,李阿姨笑着说:“现在能吃排骨、苹果了,感觉年轻了10岁!”
这样的案例在刘俊医生的临床工作中并不少见,他始终以患者的需求为中心,用技术解决难题,用耐心与沟通消除患者的恐惧,许多患者从最初的“害怕种牙”到主动推荐亲友找他种植,口碑在珠海当地逐渐传开。
种牙后的注意事项与长期维护
种植牙虽然坚固耐用,但仍需科学维护以延长使用寿命,刘俊医生提醒患者注意以下几点:
- 术后饮食:术后24小时内避免进食过热、过硬食物,1周内以流质或半流质饮食为主,避免用种植侧咀嚼;
- 口腔清洁:每天使用软毛牙刷、牙线、冲牙器清洁种植牙及邻牙,尤其要清洁种植体与牙冠的连接处,防止食物残渣堆积;
- 避免不良习惯:不要用种植牙咬硬物(如坚果、螃蟹壳)、开酒瓶等,以免损伤牙冠或种植体;
- 定期复查:术后每3-6个月复查一次,检查种植体周围是否有炎症、骨吸收等情况,每年进行一次专业洁牙;
- 全身健康管理:糖尿病患者需控制血糖,吸烟者建议戒烟,这些因素会影响骨结合效果与种植体长期稳定性。
相关问答FAQs
Q1:种牙手术会很疼吗?术后恢复需要多久?
A:刘俊医生种植手术通常在局部麻醉下进行,术中基本无疼痛感,术后麻醉消退后,可能会有轻微肿胀、疼痛,属于正常现象,一般服用消炎止痛药2-3天即可缓解,微创技术创伤小,多数患者术后1-2天可恢复正常生活,3-5天即可工作,不影响社交。
Q2:种植牙的使用寿命是多久?会影响邻牙吗?
A:在良好的口腔维护和定期复查下,种植牙的使用寿命可达20年以上,甚至终身,与传统活动义齿或固定桥不同,种植牙独立植入牙槽骨,不磨损邻牙,还能刺激牙槽骨避免萎缩,更好地保护口腔健康。
