正畸治疗中,粘接托槽是连接牙齿与矫治力的核心环节,其精准度直接影响牙齿移动的效率和最终效果,托槽作为“牙齿移动的导航站”,通过弓丝与托槽槽沟的配合,将矫治力传递至牙冠,引导牙根在牙槽骨中按预设方向移动,这一过程看似简单,实则需严格遵循口腔解剖学、材料学和生物力学原理,涉及精细操作与细节把控,以下从治疗前准备、粘接操作流程、材料选择及粘接后管理等方面,详细解析正畸中粘托槽的全过程。
治疗前准备:精准规划与细节把控
粘接托槽前,需完成系统的准备工作,确保操作安全性与有效性。

口腔检查与方案设计
医生需通过临床检查(牙齿排列、咬合关系、牙周状况)和影像学检查(曲面断层片、根尖片、CBCT)全面评估口腔情况,重点包括:牙齿拥挤/间隙程度、牙根位置、牙槽骨高度、是否存在龋齿或牙周炎(需先控制炎症再粘接),基于评估结果,制定个性化矫正方案,明确牙齿移动目标(如排齐、内收、压低等),并据此选择托槽类型(金属、陶瓷、自锁等)及粘接位置。
托槽选择与个性化预备
托槽需根据牙齿形态、大小及矫正需求匹配,上颌中切牙临床冠较大,选用6号托槽;下颌第一磨牙需考虑抗旋转设计,选用带钩托槽,对于扭转牙、低位牙等特殊情况,可能需定制个别托槽或调整托槽槽沟角度,需提前核对托槽型号(如0.018英寸或0.022英寸系统),确保与后续弓丝匹配。
粘接区域准备
粘接前需彻底清洁牙面:用抛光膏去除牙面色素、菌斑及釉质表层玷污层,用气水枪冲洗干燥,若患者存在牙龈炎,需先进行牙周治疗,待牙龈健康后再操作,避免粘接剂刺激牙龈。
粘接操作流程:隔湿、酸蚀、粘接、固化的四步曲
粘接操作的核心是“隔湿-酸蚀-涂剂-粘接-固化”,每一步均影响托槽与牙面的粘接强度(临床要求抗剪切强度≥6-8MPa)。

隔湿:防止唾液污染的关键
唾液中的水分、蛋白质会酸蚀效果和粘接剂聚合,因此需彻底隔湿,常用方法包括:
- 棉卷隔湿:在患牙颊、舌侧放置棉卷,吸收唾液,简单易行但效果有限;
- 吸唾器+棉卷联合:用强力吸唾器持续吸除唾液,辅以棉卷隔离患牙,临床最常用;
- 橡皮障隔离:对于隔湿要求高的患者(如牙龈易出血),可用橡皮障隔离患牙,确保操作区域绝对干燥。
酸蚀:增加牙面粗糙度,形成微机械锁合
酸蚀的目的是通过酸性物质溶解釉质表层,形成5-10μm深的蜂窝状微孔,为粘接剂提供机械嵌合位点,常用酸蚀剂为35%-37%磷酸凝胶,操作要点:
- 酸蚀范围:仅酸蚀患牙唇/颊面粘接区域,避免酸蚀邻牙及牙龈;
- 酸蚀时间:恒牙酸蚀30-60秒,乳牙或氟斑牙需延长至60-90秒(因釉质钙化程度高);
- 酸蚀后处理:用气水枪彻底冲洗酸蚀剂(时间≥15秒),避免残留;轻吹干燥(无油、无水压缩空气),直至牙面呈均匀白垩色(提示酸蚀充分)。
涂布粘接剂:增强化学结合
酸蚀后的牙面需立即涂布粘接剂(底漆+树脂),防止二次污染,底漆含HEMA(甲基丙烯酸羟乙酯)和硅烷偶联剂,可渗透釉质微孔,与树脂粘接剂形成化学结合,操作时:
- 用小毛笔蘸取底漆,均匀涂布于酸蚀牙面,光照10-20秒(光固化型);
- 涂布树脂粘接剂(如双固化树脂),厚度约0.2mm,避免过厚导致托槽移位。
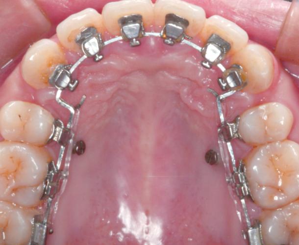
托槽定位与粘接:三维控制精准度
托槽定位需遵循“三维控制”原则,确保牙齿在近远中、唇舌向、垂直向的准确移动,以固定矫治器为例:

- 垂直向定位:参考临床冠高度(CCV),如上颌中切牙CCV为4.5mm,托槽槽沟底缘距切缘2/3 CCV处;下颌第一磨牙托槽距牙合面4.5mm。
- 近远中定位:托槽中心与牙冠中心对齐,避免偏移导致牙齿扭转。
- 唇舌向定位:根据牙齿轴倾度调整托槽底板角度,如上颌中切牙轴倾度5°-10°,托槽底板需相应倾斜。
定位后,用镊子夹持托槽,对准牙面轻压,挤出多余粘接剂,用探针去除边缘溢出物,避免刺激牙龈,最后光照固化:每颗牙光照40秒(近中、远中、龈方、切方各10秒),确保粘接剂完全聚合。
常见问题及处理
- 隔湿不彻底:导致粘接强度下降,需重新隔湿后酸蚀;
- 酸蚀过度:釉质表面粗糙多孔,易导致托槽脱落,需重新抛光;
- 托槽位置偏差:若偏差>1mm,需去除粘接剂(用去托钳或高速车针)后重新粘接。
粘接材料选择:性能决定稳定性
托槽粘接材料主要为树脂类粘接剂,其性能直接影响托槽脱落率(临床要求托槽脱落率<5%)。
| 材料类型 | 特点 | 适用场景 |
|---|---|---|
| 光固化树脂 | 聚合时间可控(需光照),强度高(抗剪切强度≥8MPa),操作时间充裕 | 临床首选,适合常规矫正 |
| 化学固化树脂 | 无需光照,聚合时间短(2-3分钟),但操作时间紧张,易受湿度影响 | 光照困难区域(如舌侧矫治器) |
| 玻璃离子水门汀 | 含氟,可释放氟离子预防龋齿,但强度较低(抗剪切强度4-6MPa),易溶解 | 乳牙矫正或对树脂过敏者 |
托槽材质方面,金属托槽(不锈钢)强度高、价格低;陶瓷托槽(氧化锆)美观性好,但脆性大,需避免咬硬物;自锁托槽(如Damon、SmartClip)可减少弓丝与托槽摩擦力,缩短疗程,但价格较高。
粘接后管理:医嘱与定期调整
粘接完成后,需向患者详细说明注意事项,并定期复诊调整:
- 饮食指导:24小时内避免食用过硬(坚果、骨头)、过黏(口香糖、年糕)食物,用细软食物(粥、面条)过渡;
- 口腔清洁:使用正畸专用牙刷(小头软毛)、牙缝刷、冲牙器,重点清洁托槽周围,避免食物嵌塞导致龋坏;
- 托槽脱落处理:若托槽完全脱落,需用纸巾包裹保存(避免误吞),尽快复诊;若部分松动,可暂用正畸蜡固定,防止刮伤口腔;
- 复诊时间:一般4-6周复诊一次,医生检查托槽稳定性、牙齿移动情况,更换弓丝或调整加力。
相关问答FAQs
问题1:粘托槽过程中会疼吗?
解答:粘接托槽本身是无创操作,仅在隔湿时棉卷压迫可能轻微不适,酸蚀、涂粘接剂时无疼痛感(因釉质无神经),部分患者术后1-2天可能因托槽边缘摩擦口腔黏膜(如颊部、舌侧)感到疼痛,可用正畸蜡涂抹托槽边缘缓解,通常3-5天可适应,若疼痛剧烈或持续加重,需及时复诊排除托槽压迫牙龈或牙神经损伤可能。
问题2:托槽脱落后会影响矫正效果吗?
解答:托槽脱落是正畸常见并发症(发生率约3%-10%),是否影响效果取决于脱落时间和频率,若单颗托槽脱落且及时复诊(1周内),通常不影响整体进度;若多颗托槽连续脱落或同一牙反复脱落,可能导致牙齿移动偏离预设方向,延长治疗时间,为减少脱落,患者需避免咬硬物、用牙齿开瓶盖,保持口腔清洁(减少菌斑堆积,降低粘接剂溶解风险),脱落复诊时,医生会检查脱落原因(如粘接剂不足、牙面污染),并调整粘接方案。
