正畸辅弓是口腔正畸治疗中常用的辅助装置,主要用于调整牙齿位置、关闭拔牙间隙、纠正颌间关系及改善牙弓形态等,其固定方法的准确性和稳定性直接影响治疗效果,临床中需根据辅弓类型、牙齿移动需求及患者具体情况选择合适的固定技术,本文将系统介绍正畸辅弓的固定方法,包括辅弓类型、固定工具、操作步骤及注意事项等内容。
正畸辅弓的类型及选择
辅弓按材质可分为镍钛辅弓、不锈钢辅弓、多股辅弓及玻璃纤维辅弓等;按功能可分为间隙关闭辅弓(如滑动杆辅弓)、牙弓形态调整辅弓(如 Spee 弓)、压低辅弓(如 T 形弓)及牵引辅弓等,不同类型辅弓的固定方法存在差异,需结合治疗目标选择:

- 镍钛辅弓:弹性好,适合初始排齐或轻量级牙齿移动,固定时需预弯弧度以匹配牙弓形态;
- 不锈钢辅弓:强度高,适合需要精确控制牙齿移动的阶段(如关闭拔牙间隙),固定时需确保稳定性;
- 多股辅弓:柔韧性好,适用于复杂牙弓调整,固定时需避免结扎丝过度压迫导致辅弓变形。
辅弓固定工具与材料
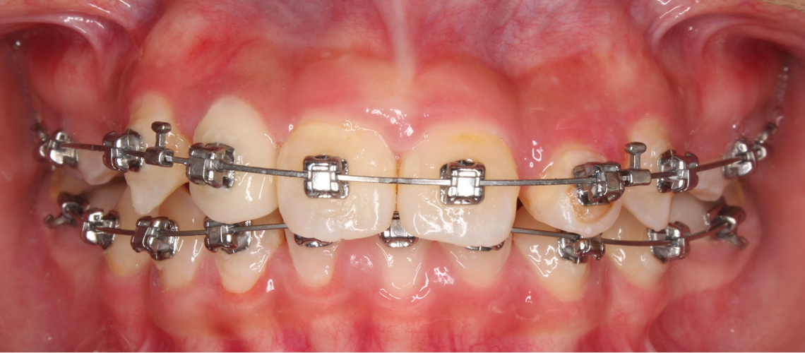
固定辅弓需准备专用工具及材料,包括:
- 托槽:根据辅弓功能选择普通托槽、特殊托槽(如低摩擦托槽)或带环,托槽槽沟需与辅弓丝直径匹配(如 0.018 英寸或 0.022 英寸槽沟);
- 结扎丝:直径 0.2mm 或 0.25mm 的不锈钢结扎丝,用于将辅弓固定于托槽;
- 正畸钳:细丝钳、结扎钳、持针钳等,用于辅弓弯制、结扎及调整;
- 粘接材料:正畸树脂粘接剂,用于托槽或带环的粘接;
- 其他:测力计(用于调整辅弓力量)、抛光车针(处理辅弓末端)、防护蜡(避免辅弓末端刺激黏膜)。
辅弓固定操作步骤
术前准备
- 口腔检查:评估牙齿排列、牙弓形态、咬合关系及黏膜状况,排除牙周炎症(需牙周治疗稳定后再行辅弓固定);
- 辅弓选择与弯制:根据治疗目标选择辅弓类型,用正畸钳弯制所需形态(如 Spee 弓需弯制与牙弓纵曲线一致的弧度,间隙关闭辅弓需预置“关闭曲”);
- 托槽粘接:按标准粘接技术将托槽粘接于目标牙齿(如关闭间隙时需将辅弓固定于磨牙及前牙托槽),确保托槽位置准确(近远中向、垂直向及轴倾角)。
辅弓试戴与调整
- 将弯制好的辅弓放入牙弓,检查与托槽槽沟的贴合度,调整辅弓弧度避免与牙体或黏膜接触;
- 对于需要施加力量的辅弓(如压低辅弓),用测力计测量力量值,确保力量在安全范围(前牙压低力量一般为 50-100g,避免牙根吸收)。
固定操作
- 个体结扎法:用结扎丝将辅弓逐个固定于托槽,适用于辅弓力量需单独调整的情况(如个别牙移动),操作时用持针钳夹住结扎丝,从托槽槽沟近中翼下方穿入,绕过辅弓后拧紧,末端折向牙面避免刺激黏膜;
- 连续结扎法:用细结扎丝连续结扎辅弓与所有托槽,适用于需整体移动牙弓的情况(如扩大牙弓),操作时从一侧磨牙开始,依次绕过每个托槽槽沟与辅弓,保持结扎力度均匀(过松易导致辅弓移位,过紧可能压迫牙根);
- 特殊固定装置:对于复杂辅弓(如种植支抗配合的辅弓),需使用辅助固定装置(如微型种植体、舌侧扣)增强稳定性,必要时用正畸焊接将辅弓与带环焊接固定。
固定后检查与调整
- 检查辅弓是否完全嵌入托槽槽沟,无翘起、移位;
- 确认结扎丝末端光滑,无尖锐部分刺激唇颊舌侧黏膜,必要时用防护蜡覆盖;
- 嘱患者咬合测试,避免早接触导致辅弓变形或牙齿创伤。
不同类型辅弓的固定技巧
间隙关闭辅弓(如滑动杆辅弓)
- 需将辅弓末端预弯为“泪滴状”插入磨牙管,防止脱出;
- 结扎时确保辅弓与磨牙托槽紧密贴合,避免滑动时产生摩擦阻力;
- 若配合种植支抗,需将辅弓焊接于支抗钉上增强稳定性。
Spee 弓调整牙弓形态
- 弯制时需以下颌牙弓 Spee 曲线为参考,深度一般为 2-3mm;
- 固定时将辅弓前牙段结扎于切牙托槽,后牙段结扎于前磨牙托槽,避免过度压低后牙;
- 每月复诊调整辅弓弧度,逐步降低 Spee 曲线深度。
压低辅弓(如 T 形弓)
- 辅弓“横臂”需置于前牙切缘下方 1-2mm,避免压迫牙龈;
- 结扎时用细结扎丝将辅弓“竖臂”与尖牙托槽固定,力量集中于前牙区;
- 定期拍摄 X 线片观察牙根状况,防止过度压低导致牙根吸收。
辅弓固定注意事项
- 口腔卫生维护:辅弓易存留食物残渣,需指导患者使用正畸牙刷、牙缝刷及冲牙器,定期洁治,预防牙周炎;
- 避免咬硬物:嘱患者避免啃咬硬物(如坚果、骨头),防止辅弓变形或脱落;
- 定期复诊调整:一般 4-6 周复诊一次,检查辅弓稳定性、牙齿移动情况及黏膜刺激,必要时调整辅弓力量或形态;
- 并发症处理:若辅弓脱落,需保存脱落部分并复诊调整;若出现黏膜溃疡,用防护蜡保护溃疡处,必要时调改辅弓形态。
辅弓类型与固定方法对比表
| 辅弓类型 | 适用情况 | 固定工具 | 结扎要点 | 力量调整频率 |
|---|---|---|---|---|
| 镍钛辅弓 | 初始排齐、轻量级移动 | 2mm 结扎丝、细丝钳 | 连续结扎,避免过度弯折 | 每 4-6 周更换 |
| 不锈钢辅弓 | 间隙关闭、精确控制移动 | 25mm 结扎丝、持针钳 | 个体结扎,确保辅弓与托槽紧密贴合 | 每 4 周调整一次 |
| 多股辅弓 | 复杂牙弓调整、开颌矫正 | 细结扎丝、舌侧扣(辅助固定) | 避免结扎丝过紧导致辅弓变形 | 每 6 周评估一次 |
| 玻璃纤维辅弓 | 成人矫治、舒适度要求高 | 正畸树脂粘接剂、光固化灯 | 粘接固定于托槽,减少结扎丝刺激 | 每 8 周调整一次 |
相关问答 FAQs
Q1:辅弓固定后出现疼痛怎么办?
A:辅弓固定后 1-3 天出现轻微疼痛属正常现象,因牙齿受力移动引起,可建议患者温盐水漱口,服用非甾体抗炎药(如布洛芬)缓解疼痛;若疼痛持续加重或出现咬合痛,需复诊检查辅弓力量是否过大、有无黏膜溃疡或牙根创伤,必要时调整辅弓形态或减小力量。
Q2:辅弓脱落了如何处理?
A:若辅弓部分脱落(如前牙段脱落),患者需保存脱落部分,避免吞咽或误吸,并尽快复诊,医生会检查脱落原因(如结扎丝松动、咬硬物导致),重新调整辅弓弧度后固定;若辅弓完全变形或断裂,需重新弯制辅弓,脱落期间避免自行调整,防止牙齿移位影响治疗效果。

