在种植牙领域,美国植体凭借其成熟的技术、优质的材料和长期的临床验证,成为众多缺牙患者修复功能与美观的重要选择,自20世纪60年代现代种植牙技术诞生以来,美国品牌始终引领行业发展,通过不断创新推动种植体设计、材料科学及手术技术的进步,为全球患者提供可靠的缺牙解决方案。
美国植体的核心优势首先体现在材料与工艺上,主流品牌多采用医用纯钛(如Ti-6Al-4V ELI合金)或钛合金,这类材料具有优异的生物相容性,能与人体骨组织形成稳定的“骨结合”,避免排异反应,表面处理技术是其关键突破,例如Straumann的SLActive®活性表面、Nobel Biocare的TiUnite®表面,通过增大粗糙度和亲水性,可缩短骨结合时间至6-8周(传统植体需3-6个月),提升初期稳定性,设计上注重力学分布与适应性,如锥形螺纹结构能分散咬合力,减少骨吸收;多样化的植体直径、长度及基台类型,可满足单颗牙、多颗牙及全口种植的不同需求,数字化技术的融合也是显著优势,术前通过CBCT、口扫获取数据,结合3D打印技术制作手术导板,实现精准定位,避免损伤神经血管,同时提升手术效率与患者舒适度。

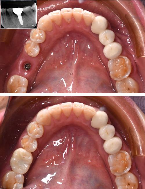
美国植体适用范围广泛,涵盖各类缺牙情况,单颗牙缺失患者可通过种植体恢复独立牙根,避免邻牙磨损;多颗牙缺失者可种植桥或覆盖义齿,无需摘戴;全口无牙患者可选择All-on-4/6技术,仅需4-6颗植体支撑半口牙列,大幅降低创伤,对于骨量不足的患者,配合植骨、骨增量技术或短植体(长度≤8mm)也能实现成功种植,对咀嚼功能、美观效果要求较高的患者,以及有系统性疾病(如糖尿病、骨质疏松)但病情稳定的群体,在医生评估后也可安全使用。
选择美国植体时,需综合考量多方面因素,品牌方面,Nobel Biocare(诺贝尔)、Straumann(士卓曼)、Zimmer(捷迈)等一线品牌临床数据更完善,长期成功率超95%,但价格相对较高;中端品牌如BioHorizons(碧兰)性价比突出,适合预算有限者,医生技术与经验至关重要,建议选择具备口腔种植专科资质、案例丰富的医生,其能根据患者骨条件、咬合习惯制定个性化方案,医院设备需配备CBCT、数字化口扫、无菌手术室等,为精准手术提供保障,自身条件方面,需确保口腔无未控制的炎症(如牙周炎),全身健康状况稳定(如血压、血糖达标),质保年限也是参考指标,正规品牌通常提供10-20年的质保服务。
美国植体的价格因品牌、植体数量、附加治疗等因素差异较大,单颗种植费用通常在8000-20000元,其中一线品牌如Nobel Biocare约15000-20000元,Straumann约12000-18000元,Zimmer约10000-15000元,中端品牌如BioHorizons约8000-12000元,若需植骨、上颌窦提升等附加手术,费用可能增加3000-8000元,以下是部分美国主流植体品牌的价格区间与核心优势对比:
| 品牌 | 价格区间(单颗,元) | 核心优势 |
|---|---|---|
| Nobel Biocare | 15000-20000 | pioneered 种植技术,SLActive活性表面,骨结合时间短,长期稳定性优异 |
| Straumann | 12000-18000 | 瑞士精密制造,亲水表面SLA,适合即刻种植,临床数据丰富 |
| Zimmer | 10000-15000 | 锥形设计,初期稳定性强,适应复杂骨条件,性价比高 |
| BioHorizons | 8000-12000 | 独特植体平台转移设计,减少骨吸收,价格亲民,适合预算有限者 |
术前需进行全面检查,包括CBCT评估骨量、血常规及凝血功能排除手术禁忌,牙周炎患者需先控制炎症,术后24小时内避免刷牙漱口,进食温凉软食,遵医嘱服用抗生素预防感染;日常需使用软毛牙刷、牙线、冲牙器清洁种植体周围,定期(每3-6个月)复查,专业洁牙维护骨结合稳定性,风险方面,虽感染、神经损伤等发生率低于5%,但严格遵循医嘱可进一步降低风险。

FAQs
-
美国植体和韩国、德国植体有什么区别?
美国植体以技术成熟、临床数据丰富著称,价格较高,适合对长期效果和稳定性要求高的患者;韩国植体性价比高,价格约为美国植体的1/2-2/3,适合预算有限者;德国植体(如Ankylos)精密工艺出色,尤其适合骨量不足 cases,价格介于美韩之间。 -
美国植体能用多久?需要定期维护吗?
美国植体在良好维护下可使用30年以上,甚至终身,需保持口腔卫生,避免咬硬物,每年至少1-2次专业复查,检查种植体周围骨状况及基台稳定性,发现问题及时处理。

