反下颌骨正畸手术,临床上常称为“下颌骨前突矫正术”或“骨性III类错颌正颌手术”,是针对下颌骨过度发育或位置异常前突(俗称“地包天”“兜齿”)导致的面部畸形及功能障碍的外科矫正手段,这类手术并非单纯调整牙齿,而是通过改变下颌骨的长度、位置或角度,重建上下颌骨的协调关系,同时联合正畸治疗实现咬合功能与面部美观的双重改善。
手术的核心目标与适用人群
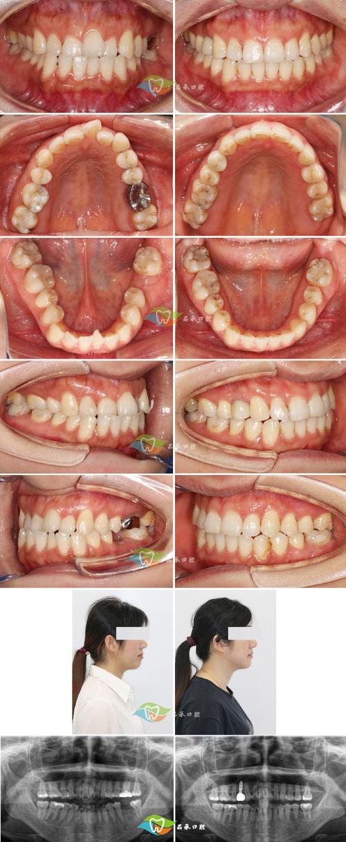
下颌骨前突畸形主要表现为下颌角过大、下巴前伸、侧面观呈“月牙脸”,严重者可能伴随上颌骨发育不足、牙齿反颌(下前牙覆盖上前牙)、咀嚼效率低下、发音不清,甚至颞下颌关节紊乱,手术的核心目标包括:矫正下颌骨前突或旋转异常、建立正常的咬合关系、改善面部侧貌对称性、恢复口腔功能。
并非所有“地包天”都需要手术,需满足以下条件:

- 骨性畸形为主:通过X线头影测量等检查,确认下颌骨相对于颅底或上颌骨存在明显位置异常(如下颌支过长、下颌体前突);
- 非正畸可解决:单纯通过戴牙套、矫正器无法纠正咬合关系,需通过移动骨骼实现;
- 发育稳定:通常要求患者成年后(女性16-18岁,男性18-20岁,骨骼发育完成),青少年严重畸形影响心理健康或功能时,可在医生评估后提前干预;
- 全身健康:无严重心脑血管疾病、凝血功能障碍或未控制的口腔炎症。
常见手术类型与选择依据
根据下颌骨畸形的程度和类型,手术可分为以下几类,具体选择需结合患者骨骼情况、咬合需求及医生经验:
| 手术类型 | 适用情况 | 操作特点 | 优缺点 |
|---|---|---|---|
| 下颌骨升支矢状劈开术(SSRO) | 下颌骨整体前突,需后退下颌体;伴发下颌角肥大或需要旋转调整 | 口内切口,从升骨内侧劈开,将下颌骨分为近心端(连接关节)和远心端(含牙齿),后退后钛板钛钉固定 | 优点:稳定性好、可三维调整位置、对神经损伤风险可控;缺点:手术复杂、创伤较大 |
| 下颌骨体部截骨后退术 | 单纯下颌体前突,升支长度正常;无需调整下颌角或关节位置 | 下颌骨体部设计截骨线,去除部分骨块,后退后固定 | 优点:操作相对简单、创伤小;缺点:后退范围有限、无法纠正下颌角异常 |
| 颏成形术( chin成形术) | 下颌前突伴 chin 前突明显,但上下颌骨关系基本协调(牙性反颌为主) | 截断 chin 骨块,调整位置后固定,可同时去除少量骨块改善轮廓 | 优点:创伤小、恢复快;缺点:仅改善 chin 外形,无法纠正咬合关系 |
| 联合上颌手术(如Le Fort I型) | 下颌前突合并上颌骨发育不足(“凹面畸形”),需同时调整上下颌位置 | 先行上颌骨截骨前移,再行下颌骨后退,建立咬合平面 | 优点:全面改善面部比例;缺点:手术风险高、创伤大、恢复周期长 |
手术流程与关键步骤
反下颌骨正畸手术是“正畸-正颌联合治疗”的重要组成部分,需分阶段完成:
术前正畸准备(6-12个月)
手术前需通过戴固定矫正器排齐牙齿、去除代偿(如下前牙过度倾斜、上前牙代偿性唇倾),为术后骨骼移动和咬合稳定创造条件,若未先做正畸,直接手术可能导致牙齿排列紊乱、咬合创伤。
术前评估与方案设计
- 影像学检查:拍摄头颅侧位片、曲面断层片、CT三维重建,测量下颌骨长度、角度、牙根位置,模拟手术截骨量和移动方向;
- 模型分析:制作上下颌石膏模型,在 articulator(咬合模拟器)上预测术后咬合关系;
- 多学科会诊:正畸医生与颌面外科医生共同确定手术方案,包括截骨位置、移动距离、固定方式等。
手术操作(全身麻醉,3-5小时)
- 麻醉:采用气管插管全身麻醉,确保术中无痛苦、呼吸道通畅;
- 切口与暴露:口内下颌牙龈缘做切口,剥离软组织暴露下颌骨骨面;
- 截骨与移动:根据术前设计,用摆动锯或超声骨刀精确截骨,将下颌骨移动至目标位置(如后退5-8mm、旋转调整);
- 固定:采用钛板钛钉坚固内固定(钛生物相容性好,无需二次取出),确保骨骼稳定愈合;
- 缝合:冲洗创口,逐层缝合黏膜、肌肉,放置引流管防止积血。
术后恢复(1-2年)
- 短期(1-2周):术后需住院观察,抗感染治疗,流质饮食,避免下颌活动;肿胀高峰期在术后3-5天,1周逐渐消退;
- 中期(1-3个月):逐步过渡到半流质、软食,拆线后进行轻张口训练,避免颞下颌关节粘连;
- 长期(3-12个月):骨骼愈合完成(3-6个月),正畸医生进行精细咬合调整,拆除矫正器后佩戴保持器(至少1年);
- 效果稳定:1-2年后,面部形态和咬合功能趋于稳定,需定期复查(每年1次)。
风险与并发症预防
尽管技术成熟,手术仍存在一定风险,需提前了解并预防:

- 短期并发症:出血(术中控制血压、术后止血)、感染(严格无菌操作、抗生素使用)、下唇麻木(损伤下牙槽神经,多数3-6个月恢复);
- 长期并发症:复发(与固定不牢、肌肉力量不平衡有关,术后避免咬硬物、不良习惯如磨牙)、咬合紊乱(术前精确模拟、术后正畸调整);
- 罕见风险:骨不连(需再次手术固定)、颞下颌关节损伤(术中保护关节结构)。
术后效果与长期维护
手术效果显著:侧面观下巴后缩,下颌缘线条流畅,面部比例协调;功能上咀嚼效率提升50%以上,发音清晰,颞下颌关节症状缓解,但效果维持需患者配合:
- 终身保持:术后佩戴保持器(白天1年,夜间2年以上),避免牙齿移位;
- 避免不良习惯:不要用牙齿咬硬物、笔,单侧咀嚼;
- 定期复查:每年检查咬合关系、骨骼稳定性,发现问题及时处理。
相关问答FAQs
Q1:反下颌骨正畸手术有年龄限制吗?青少年可以提前做吗?
A1:手术通常要求骨骼发育完成(女性16-18岁,男性18-20岁),此时下颌骨停止生长,术后效果更稳定,若青少年下颌前突严重,影响心理健康或导致严重功能障碍(如无法咀嚼、频繁关节疼痛),可在医生评估后提前手术,但需配合术后正畸及长期随访,防止骨骼继续生长导致复发。
Q2:手术后会不会复发?如何降低复发风险?
A2:复发风险约5%-10%,主要与骨骼移动量过大、固定不牢、术后肌肉力量不平衡(如咬肌过度收缩)或不良习惯(磨牙、单侧咀嚼)有关,降低风险的方法包括:① 术前精确设计截骨量,避免过度移动;② 采用坚固内固定(钛板钛钉),确保骨骼稳定愈合;③ 术后佩戴保持器,避免牙齿移位;④ 定期复查,发现复发迹象早期干预(如正畸调整)。

