拜博口腔网

  • 反合牙齿矫正视频真能改善地包天吗?

    反合牙齿矫正视频真能改善地包天吗?

    反合牙齿,医学上称为“反颌”,是一种常见的错颌畸形,表现为上下前牙咬合时,上前牙咬在下前牙舌侧,或下前牙覆盖上前牙,俗称“地包天”,这种咬合异常不仅影响面部美观,还可能对咀嚼功能、发音、颌骨发育乃至心理健康造成一系列不良影响,随着口腔医学的...

    2026-01-22
    70 0 0
  • 隐形矫正牙齿地包天

    隐形矫正牙齿地包天

    隐形矫正牙齿地包天是近年来口腔正畸领域的重要进展,地包天在医学上称为“反颌”,是指下前牙咬在上前牙的外侧,下颌骨突出于上颌骨前方的一种错颌畸形,这种畸形不仅影响面部美观,可能导致“月牙脸”“侧貌凹陷”,还可能造成咀嚼功能下降、牙齿磨损、颞下...

    2026-01-20
    18 0 0
  • 广州地包天牙齿矫正

    广州地包天牙齿矫正

    地包天在医学上称为“反颌”,是一种常见的错颌畸形,表现为下前牙咬在上前牙的外侧,下颌骨过度前伸或上颌骨发育不足,这种牙齿问题不仅影响面部美观,还可能导致咀嚼功能下降、颞下颌关节紊乱,甚至对心理健康造成负面影响,广州作为一线城市,拥有丰富的口...

    2026-01-20
    51 0 0
  • 牙齿矫正地包天多少钱

    牙齿矫正地包天多少钱

    牙齿矫正地包天多少钱是许多患者及家长关注的核心问题,地包天在医学上称为“反颌”,是常见的错颌畸形之一,表现为下前牙咬在上前牙的外侧,不仅影响面部美观,还可能导致咀嚼功能下降、颞下颌关节紊乱等问题,其矫正费用受多种因素影响,没有统一标准,但通...

    2026-01-18
    40 0 0
  • 半隐形牙齿矫正对地包天的矫正效果怎么样?

    半隐形牙齿矫正对地包天的矫正效果怎么样?

    地包天,医学上称为反颌,是一种常见的错颌畸形,表现为下前牙覆盖上前牙,部分严重者甚至下前牙完全咬在上前牙唇侧,不仅影响面部美观(呈现“月牙脸”或“地包天”面型),还可能导致咀嚼功能下降、颞下颌关节紊乱、发音障碍等问题,甚至对心理健康造成负面...

    2026-01-17
    57 0 0
  • 30岁才发现地包天,现在矫正牙齿还来得及吗?效果会受年龄影响吗?

    30岁才发现地包天,现在矫正牙齿还来得及吗?效果会受年龄影响吗?

    30岁牙齿矫正地包天,在医学上称为“反𬌗”,是指下前牙咬合在上前牙唇侧,不仅影响面部美观(可能呈现“月牙脸”或“地包天”面型),还可能导致咀嚼功能下降、牙齿磨损、颞下颌关节紊乱等问题,相较于青少年矫正,30岁人群的骨骼发育已停止,矫正需结合...

    2026-01-17
    54 0 0
  • 婴儿地包天需要矫正吗?矫正的最佳时机是什么时候?

    婴儿地包天需要矫正吗?矫正的最佳时机是什么时候?

    婴儿牙齿地包天,医学上称为“反颌”,是指下前牙咬合时位于上前牙的外侧,或下颌整体向前突出,导致“地包天”的面型,这种情况在婴幼儿时期是否需要矫正,一直是家长关注的焦点,婴儿期(通常指1岁以内)由于乳牙尚未完全萌出,颌骨发育处于快速阶段,地包...

    2026-01-17
    44 0 0
  • 轻微地包天 正畸

    轻微地包天 正畸

    轻微地包天在医学上称为“AngleClassIII型错颌畸形中的轻度表现”,主要指下颌前牙相对于上颌前牙轻微前突,或上颌发育稍不足,导致自然状态下上下前牙咬合时,下牙覆盖上牙的前牙区部分(覆盖为负值,通常在-1mm至-3mm之间),...

    2026-01-05
    46 0 0
  • 反下颌骨正畸手术能彻底解决地包天问题吗?

    反下颌骨正畸手术能彻底解决地包天问题吗?

    反下颌骨正畸手术,临床上常称为“下颌骨前突矫正术”或“骨性III类错颌正颌手术”,是针对下颌骨过度发育或位置异常前突(俗称“地包天”“兜齿”)导致的面部畸形及功能障碍的外科矫正手段,这类手术并非单纯调整牙齿,而是通过改变下颌骨的长度、位置或...

    2026-01-03
    43 0 0
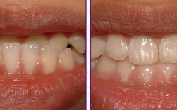
  • 地包天正畸前后照片对比,效果真的明显吗?

    地包天正畸前后照片对比,效果真的明显吗?

    地包天,医学上称为“反颌”,是一种常见的错颌畸形,表现为下前牙咬在上前牙的外侧,下颌骨可能过度前伸或上颌骨发育不足,不仅影响面部美观,还可能导致咀嚼功能下降、颞下颌关节紊乱甚至发音问题,正畸治疗是改善地包天的主要手段,而矫正前后的照片对比,...

    2025-12-31
    55 0 0