正畸治疗中的绑扎牵引是一项核心技术,通过施加特定方向和大小的持续力,引导牙齿在牙槽骨内按预设目标移动,是实现牙齿排列整齐、咬合关系稳定、颌骨位置协调的关键手段,这项技术贯穿于正畸治疗的多个阶段,从早期的排齐整平,到中期的间隙关闭、中线纠正,再到后期的精细调整,均离不开精准的绑扎牵引设计。
绑扎牵引的分类与类型
根据牵引力的来源、方向及治疗目的,绑扎牵引可分为多种类型,不同类型适用于不同的临床场景。

按牵引力来源分类
- 弹性牵引:利用弹性材料的回缩力产生牵引,如颌间橡皮筋、链状皮筋、螺旋弹簧等,橡皮筋是最常用的弹性牵引材料,分为轻力(1/4英寸,约50g)、中力(3/16英寸,约100g)、重力(1/8英寸,约200g),需根据牙齿移动阶段选择,链状皮筋用于持续关闭间隙,螺旋弹簧则用于打开间隙或压低牙齿。
- 刚性牵引:利用金属丝(如结扎丝、澳丝)或种植体支抗产生稳定牵引力,适用于需要精确控根或较大支抗的情况,通过不锈钢丝将牙齿与种植体钉结扎,可实现牙齿的整体移动,避免倾斜。
按牵引方向分类
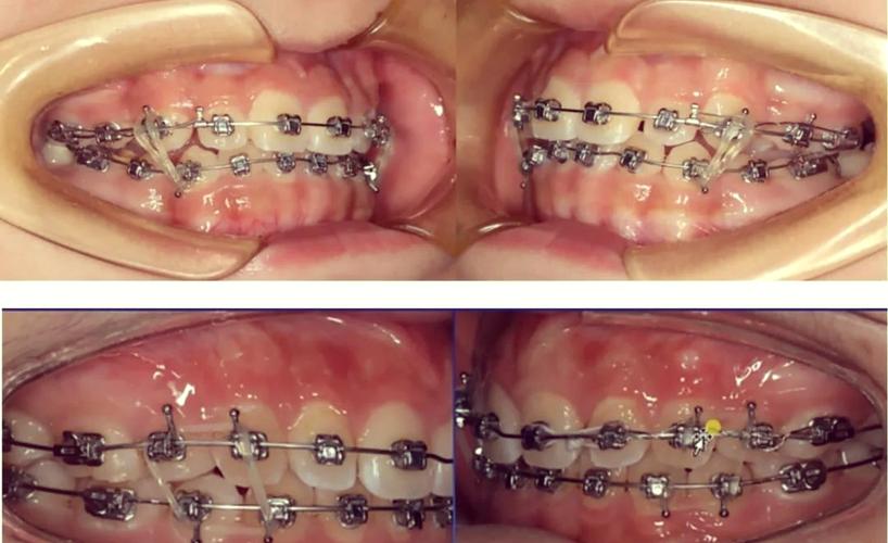
- 颌内牵引:同一牙弓内牙齿间的牵引,如将尖牙通过橡皮筋牵引至磨牙远中,以关闭拔牙间隙;或通过“八字形”牵引纠正牙齿旋转。
- 颌间牵引:上下牙弓间的牵引,用于调整上下颌牙齿的咬合关系,常见的有:
- II类牵引:上颌磨牙牵引至下颌磨牙近中,用于矫正上颌前突、下颌后缩(深覆盖);
- III类牵引:下颌磨牙牵引至上颌磨牙近中,用于矫正反颌(地包天)、下颌前突;
- 垂直牵引:如“匣形牵引”,用于纠正深覆颌或开颌。
- 颌外牵引:通过头帽、颏兜等装置,将牙齿与颅骨或颌骨连接,用于矫正颌骨发育异常,如口外弓牵引用于推磨牙向远中,改善牙弓长度不调。
按牵引目的分类
- 间隙管理牵引:关闭拔牙间隙(滑动法、关闭曲法)、集中散在间隙;
- 位置纠正牵引:纠正牙齿中线偏斜、扭转、高低牙;
- 咬合关系调整牵引:纠正深覆盖、深覆颌、反颌、锁颌;
- 垂直向控制牵引:压低伸长的磨牙、升高咬合过低的牙齿。
绑扎牵引的作用机制
牙齿移动依赖于牙周膜的生物改建,绑扎牵引通过持续轻力(通常100-300g)作用于牙齿,使牙周膜一侧受压(破骨细胞活跃,牙槽骨吸收),另一侧受牵张(成骨细胞活跃,牙槽骨沉积),从而实现牙齿的生理性移动,不同牵引方式可引导牙齿移动的类型:
- 倾斜移动:牵引力靠近牙冠,牙齿整体倾斜,适用于早期排齐;
- 整体移动:牵引力通过牙齿阻力中心,牙冠和牙根同步移动,需通过弓丝弯制(如“摇椅弓”)配合;
- 旋转移动:通过“八字形”牵引或附加正轴簧纠正牙齿扭转;
- 压低/伸长移动:垂直向牵引力作用于牙齿牙冠或牙根,如通过头帽-颏兜压低上颌前牙。
绑扎牵引的操作流程与技巧
规范的绑扎牵引操作是保证治疗效果的基础,需严格遵循以下步骤:
材料准备
根据治疗阶段选择合适的弓丝(如0.018英寸不锈钢丝、镍钛圆丝)、托槽(含牵引钩)、结扎丝(0.010英寸)、牵引橡皮筋(不同型号)、种植体支抗钉(若需要)等。
弓丝就位与结扎
将弓丝插入托槽槽沟,用结扎丝将弓丝固定在托槽上,关闭间隙阶段需使用带关闭曲的弓丝或滑动弓丝,确保弓丝形态与牙弓弧度一致,避免力量传递受阻。

牵引钩选择与安装
根据牵引方向选择牵引钩位置:
- 尖牙远中移动时,使用尖牙托槽远中牵引钩;
- 磨牙牵引时,利用磨牙颊面管近中或远中牵引钩;
- 需加强支抗时,可在磨牙上焊接额外牵引钩。
橡皮筋挂载
严格按照医生标记的牵引方向挂载橡皮筋,例如II类牵引为“上6近中钩→下6远中钩”,避免方向错误导致牙齿移动异常,橡皮筋需无扭曲,拉伸长度为原长的3-4倍(确保力度稳定),每日更换(唾液会导致弹性衰减)。
定期复诊与调整
每4-6周复诊一次,医生检查牙齿移动进度、牵引效果及不良反应(如牙根吸收、牙龈红肿),根据情况调整牵引方案(如更换更粗橡皮筋、改变牵引方向)。
临床注意事项与常见问题处理
注意事项
- 力度控制:牵引力过小(<50g)无法有效移动牙齿,过大(>500g)易导致牙根吸收、牙周损伤,需根据牙齿移动阶段调整力度;
- 患者配合:需保证每日佩戴橡皮筋时间至少20小时,避免自行调整牵引方向或摘除;
- 口腔卫生:牵引橡皮易堆积食物残渣,需使用正畸牙刷、牙线、冲牙器加强清洁,预防牙龈炎、龋齿;
- 特殊人群:儿童患者需关注颌骨发育,必要时配合功能矫治器;成人患者需评估牙周健康状况,牙周炎未控制者不宜牵引。
常见问题处理
- 疼痛:牵引后1-3天轻微疼痛属正常,可服用非甾体抗炎药;若疼痛持续加重,可能为牵引力过大,需复诊调整;
- 橡皮筋断裂/脱落:更换新橡皮筋,检查牵引钩是否牢固,避免进食过硬食物;
- 牙齿移动缓慢:排查原因(牵引力不足、佩戴时间不够、口腔卫生差),必要时拍摄X光片检查牙根状态。
常见绑扎牵引类型及应用
| 牵引类型 | 牵引方向 | 适用情况 | 操作要点 |
|---|---|---|---|
| 颌内牵引 | 同一牙弓内 | 尖牙远中移动、关闭拔牙间隙 | 选择合适牵引钩,避免弓丝变形 |
| II类颌间牵引 | 上颌前→下颌后 | 上颌前突、下颌后缩(深覆盖) | 上颌6挂至下颌6,橡皮筋斜向下挂 |
| III类颌间牵引 | 上颌后→下颌前 | 反颌(地包天)、下颌前突 | 上颌6挂至下颌6,橡皮筋斜向上挂 |
| 颌外牵引 | 牙齿→头帽 | 矫正颌骨垂直向异常(如长面型) | 头帽戴法正确,牵引力通过头帽传递 |
绑扎牵引操作流程及关键步骤
| 步骤 | 注意事项 | |
|---|---|---|
| 材料准备 | 选择弓丝、托槽、橡皮筋、结扎丝 | 弓丝尺寸与托槽匹配,橡皮筋型号正确 |
| 弓丝就位 | 将弓丝插入托槽槽沟,结扎固定 | 确保弓丝无弯折,结扎力度适中 |
| 牵引钩安装 | 选择或焊接牵引钩,位置准确 | 牵引钩需避开咬合,不影响咀嚼 |
| 橡皮筋挂载 | 按标记方向挂载,无扭曲 | 橡皮筋拉伸长度为原长3-4倍 |
| 复诊检查 | 更换橡皮筋,调整牵引方案 | 记录牙齿移动情况,拍片检查牙根状态 |
FAQs
Q1:绑扎牵引过程中橡皮筋需要每天更换吗?为什么?
A1:是的,弹性橡皮筋(如颌间牵引橡皮筋)需要每天更换,因为橡皮筋在口腔唾液环境中会逐渐失去弹性(通常24小时后力度衰减50%),若不更换会导致牵引力不足,影响牙齿移动效果,建议患者随身携带备用橡皮筋,晨起和睡前各更换一次,确保持续有效的牵引力。
Q2:为什么戴了牵引器牙齿移动缓慢或没有移动?可能的原因有哪些?
A2:牙齿移动缓慢或无移动可能与以下因素有关:①牵引力不足:橡皮筋型号过小或未按时更换,导致力度不够;②佩戴时间不够:每日佩戴时间少于20小时,无法形成持续力;③口腔卫生差:牙菌斑堆积导致牙根吸收,影响牙齿移动能力;④牵引方案错误:牵引方向或作用点与治疗目标不符;⑤个体差异:部分患者(如成年人、骨密度高者)牙齿移动速度较慢,需及时复诊,医生通过检查口腔和X光片明确原因,调整牵引方案。
