牙齿正畸手术是口腔医学中针对复杂错颌畸形的重要治疗手段,通过正畸与颌面外科的联合治疗,不仅能改善牙齿排列,更能调整骨骼关系,实现面部美观与功能的统一,以下通过三个典型临床案例,详细展示不同类型错颌畸形的矫正过程、方案设计与治疗效果,帮助读者全面了解正畸手术的实际应用。
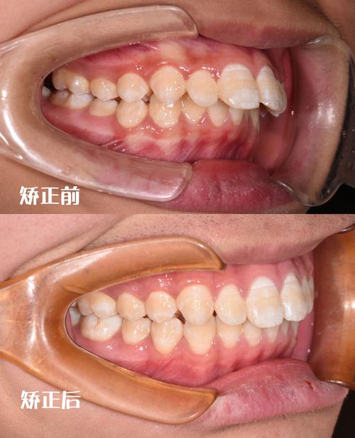
骨性II类错颌(下颌后缩)伴牙列拥挤
患者基本信息:25岁女性,主诉“下巴后缩明显,牙齿不齐,微笑时露牙龈多”。
临床检查:面部轮廓不对称,颏部后缩,自然状态下上下唇闭合困难;口内见牙列中度拥挤,前牙深覆盖8mm,深覆Ⅲ°(上前牙覆盖下前牙牙冠2/3以上);X线头影测量显示ANB角8°(正常2-4°),下颌支长度偏短,下颌平面角正常。
诊断:骨性II类错颌,下颌发育不足,伴牙列拥挤。
治疗方案:采用“术前正畸-正颌手术-术后正畸”序列治疗。

- 术前正畸(8个月):戴固定矫治器排齐牙列,利用滑动法关闭拔牙间隙(拔除上下颌第一前磨牙),去除牙齿代偿性倾斜(如下前牙代偿性唇倾需直立)。
- 正颌手术:全麻下行“下颌支矢状劈开术(BSSRO)+颏成形术”,将下颌骨整体前移5mm,同时颏部前移并塑形,改善颏部轮廓。
- 术后正畸(6个月):精细调整咬合关系,确保上下牙尖窝交错,稳定术后效果。
治疗效果:治疗后侧面轮廓流畅,颏部前突,深覆盖、深覆颌完全解除,牙齿排列整齐,面部比例协调,治疗周期共18个月,患者对美观与功能恢复均满意。
骨性III类错颌(上颌发育不足)伴偏颌
患者基本信息:30岁男性,主诉“地包天,面部不对称,左侧咀嚼无力”。
临床检查:面部左偏,双侧下颌角不对称,中线偏斜3mm;口内见全口反颌,前牙反覆盖5mm,后牙反颌;X线显示SNA角78°(正常82°),上颌发育不足,下颌无代偿性前伸,颏部偏左。
诊断:骨性III类错颌,上颌垂直向及矢状向发育不足,伴轻度偏颌畸形。
治疗方案:多学科联合治疗,优先纠正骨骼与牙齿关系。
- 术前正畸(10个月):通过种植体支抗纠正中线,去除下颌牙齿代偿性前倾,为手术创造条件。
- 正颌手术:先行“双侧上颌Le Fort I型截骨术”,前移上颌4mm并旋转纠正偏斜;再行“下颌支矢状劈开术(BSSRO)”,调整下颌位置至与上颌匹配。
- 术后正畸(8个月):调整咬合,关闭剩余间隙,确保双侧咀嚼肌力平衡。
治疗效果:反颌完全解除,面部中线居中,咀嚼功能恢复,侧面观面型协调,治疗周期20个月,患者咬合稳定,无复发迹象。
长面综合征伴后牙开颌
患者基本信息:28岁女性,主诉“面中部长,后牙咬不上,微笑时露牙龈多”。
临床检查:面下1/3高度增加,露龈笑明显;口内见后牙开颌5mm,前牙深覆Ⅱ°;X线头影测量显示FH-MP角35°(正常25°),上颌垂直向过度发育,下颌平面角增大。
诊断:长面综合征,垂直向骨性错颌,伴后牙开颌。
治疗方案:垂直向骨骼控制为核心。
- 术前正畸(6个月):植入微种植体支抗,压低上前牙,升高后牙,为手术减少阻力。
- 正颌手术:行“上颌Le Fort I型截骨术垂直向缩短3mm”,下颌支垂直截骨术(IVRO)”延长后牙区,改善垂直向不调。
- 术后正畸(4个月):调整咬合,消除开隙,稳定垂直高度。
治疗效果:面下1/3高度缩短,露龈笑改善,后牙咬合紧密,前牙覆覆盖正常,治疗周期12个月,面部比例协调,功能恢复良好。
不同类型正畸手术案例对比
| 案例类型 | 患者年龄 | 主要问题 | 手术方案 | 治疗周期 | 关键效果 |
|---|---|---|---|---|---|
| 骨性II类+拥挤 | 25岁女 | 下颌后缩、牙列拥挤 | 下颌BSSRO+颏成形术 | 18个月 | 面部轮廓改善,咬合正常 |
| 骨性III类+偏颌 | 30岁男 | 上颌不足、偏颌、全口反颌 | 上颌Le Fort I型+下颌BSSRO | 20个月 | 反颌解除,面部对称 |
| 长面综合征+开颌 | 28岁女 | 面下1/3长、后牙开颌、露龈笑 | 上颌Le Fort I型缩短+下颌IVRO延长 | 12个月 | 垂直高度纠正,咬合稳定 |
正畸手术的成功依赖于精准的诊断、个性化的方案设计及多学科协作,术前需通过X线头影测量、模型分析等明确骨骼与牙齿的畸形类型;术中需精细操作,避免损伤神经血管;术后需结合正畸稳定效果,定期随访防止复发,对于复杂错颌畸形患者,正畸手术不仅能改善美观,更能恢复咀嚼、发音等生理功能,是提升生活质量的重要治疗手段。
相关问答FAQs
问题1:正畸手术和传统正畸(戴牙套)有什么区别?哪些情况需要手术?
解答:传统正畸主要通过牙套移动牙齿,适用于牙性错颌(如单纯拥挤、轻度深覆覆盖);正畸手术需联合正畸与颌面外科,通过移动骨骼+牙齿调整,适用于骨性错颌(如下颌后缩、上颌发育不足、偏颌、长面综合征等),当骨骼畸形导致牙齿代偿严重(如严重反颌、深覆盖),或单纯正畸无法改善功能(如咀嚼无力、面部不对称)时,需手术矫正。

问题2:正畸手术风险大吗?术后恢复需要注意什么?
解答:正颌手术是成熟手术,风险可控,主要风险包括出血、感染、神经损伤(如下牙槽神经损伤导致下唇麻木,多数可恢复)、咬合不良等,术后需注意:① 饮食(术后1周流质,2周软食,1个月内避免硬食);② 口腔卫生(用漱口水,刷牙轻柔);③ 定期复查(术后1、3、6个月复查,调整咬合);④ 避免剧烈运动(1个月内),防止碰撞术区,多数患者3-6个月可恢复正常生活。

