牙周正畸联合治疗是针对牙周病与错颌畸形共存患者的一种综合性治疗方案,通过牙周科与正畸科的协作,在控制牙周炎症、恢复牙周健康的基础上,通过正畸手段调整牙齿排列与咬合关系,最终实现牙周组织健康、咬合功能稳定及面部美观改善的多重目标,这种治疗模式打破了传统单一治疗的局限,尤其适用于中重度牙周病伴发牙列拥挤、牙齿移位、咬合紊乱等问题的患者,是口腔多学科联合治疗的典型代表。
牙周正畸联合治疗的适用人群
并非所有牙周病患者都需要正畸治疗,也非所有错颌畸形患者都能接受正畸,联合治疗需严格把握适应症与禁忌症,其核心适用人群包括:

- 中度及以上牙周病患者:经牙周基础治疗后,牙周袋深度仍≥5mm,附着丧失≥2mm,但牙槽骨吸收不超过根长1/2,牙齿无明显松动(Ⅰ-Ⅱ度松动),且炎症可控者。
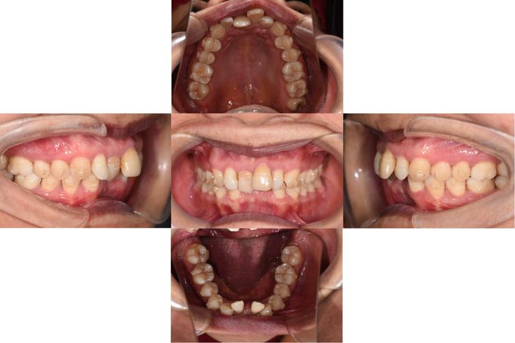
- 牙周病继发错颌畸形者:因牙周支持组织破坏导致牙齿移位(如扇形移位、唇倾、伸长)、牙间隙增大、咬合创伤(如早接触、干扰)等,影响咀嚼功能或美观。
- 正畸需求伴牙周风险者:成人患者存在错颌畸形(如牙列拥挤、深覆颌、深覆盖),同时伴有局部或全身牙周危险因素(如糖尿病、吸烟、口腔卫生不良),需先改善牙周条件再启动正畸。
- 骨性错颌伴牙周支持不足者:轻度骨性畸形(如上颌前突、下颌后缩),但牙槽骨量不足,单纯正畸可能加重牙周负担,需通过正畸移动牙齿配合骨改建修复骨缺损。
禁忌症包括:牙周炎症未控制(牙周袋深度>7mm,反复出血、溢脓)、牙槽骨吸收超过根长2/3、牙齿Ⅲ度松动、未控制的全身系统性疾病(如未控制糖尿病、严重心血管疾病)或患者依从性差无法配合口腔卫生维护。
牙周正畸联合治疗的流程与关键环节
联合治疗需遵循“先牙周后正畸,再牙周维护”的原则,分阶段精准控制,避免治疗中加重牙周损伤。
(一)牙周预备阶段:控制炎症,奠定基础
此阶段是治疗成功的核心,目标是消除牙周炎症,建立稳定的牙周微环境,为后续正畸牙齿移动提供健康的支持组织。
- 基础治疗:包括龈上洁治、龈下刮治、根面平整(SRP),清除菌斑、牙石及毒素;对于牙周袋深度>5mm且伴骨下袋者,需辅助牙周手术(如翻瓣术、引导组织再生术GTR),促进骨再生与牙周附着重建。
- 全身因素调控:控制糖尿病等全身性疾病,戒烟(吸烟者牙周治疗成功率降低50%以上),强化口腔卫生指导(巴氏刷牙法、牙线/牙间隙刷使用、冲牙器辅助),菌斑控制率需达到90%以上(通过菌斑染色评估)。
- 疗效评估:治疗3-6个月后复查,牙周袋深度≤3mm,探诊出血(BOP)率<20%,牙齿松动度≤Ⅰ度,无牙周脓肿等急性症状,方可进入正畸阶段。
(二)正畸治疗阶段:轻柔移动,协同控制
正畸过程中需兼顾牙齿移动效率与牙周安全,避免“重力学、轻生物学”的误区。

- 方案设计:优先选择“生物相容性矫治理念”,减少创伤性移动,对牙槽骨吸收区域避免倾斜移动,采用整体移动或控根移动;关闭牙间隙时使用微种植体支抗(如微型钛钉),避免以邻牙为支抗加重牙周负担;对于深覆颌患者,先打开咬合再调整牙列,避免前牙区咬合创伤。
- 矫治器选择:固定矫治器(如直丝弓矫治技术)便于精准控制牙齿移动,但需注意弓丝末端打磨光滑,避免刺激牙龈;隐形矫治器(如隐形牙套)虽舒适度高,但需严格适应证,适用于牙周条件较好、移动简单的病例,且需每2周更换牙套并定期复查牙周状况。
- 力学控制:严格控制正畸力大小,牙齿整体移动力值控制在50-100g,避免过大力量导致牙根吸收、骨开裂或牙周韧带损伤;移动速度控制在每月1mm以内,骨缺损区域需更慢(每月0.5mm),给骨改建充分时间。
- 牙周监控:正畸期间每4-6周复查1次,包括牙周探诊(袋深度、附着丧失)、牙龈炎症指数(GI)、牙根尖片(观察牙槽骨改建情况);若出现牙龈增生、牙周袋加深,需暂停加力,先行牙周治疗。
(三)牙周维护与正畸调整阶段
正畸过程中需根据牙周反应动态调整方案,若某区域牙槽骨吸收加速,需减小该区域牙齿移动幅度或暂停移动;若出现“黑三角”(因牙龈退缩导致),需通过牙周手术(如游离龈移植)修复牙龈形态。
(四)保持阶段:长期稳定,防止复发
正畸结束后需进入长期保持阶段,同时强化牙周维护,保持器设计需考虑牙周支持情况:对牙周条件较差者,选用透明压膜保持器+舌侧丝保持,避免仅用活动保持器(易导致牙齿移位);保持期间每3个月复查牙周,每年拍摄根尖片评估牙槽骨状况,维护时间至少2-3年,部分患者需终身保持。
牙周正畸联合治疗的优势
与传统单一治疗相比,联合治疗在牙周健康、咬合功能及远期稳定性上具有显著优势,具体可通过以下表格对比:
| 指标 | 单一牙周治疗 | 单一正畸治疗 | 牙周正畸联合治疗 |
|---|---|---|---|
| 牙周炎症控制 | 仅控制现有炎症,无法解决错颌导致的创伤性咬合 | 可能加重牙周负担,导致骨吸收加速 | 消除炎症+创伤性咬合,骨改建更稳定 |
| 牙齿排列改善 | 无法纠正错颌畸形 | 排齐牙齿,但对牙周支持不足者风险高 | 在健康牙周基础上排齐,安全性更高 |
| 咬合功能恢复 | 部分改善咀嚼效率 | 纠正咬合紊乱,但需牙周稳定支撑 | 咬合接触面积增大,咀嚼效率提升30%-50% |
| 远期稳定性 | 易因错颌畸形复发牙周问题 | 牙齿移位风险高(尤其牙周病患者) | 牙周-正畸协同作用,复发率降低40%以上 |
| 美观改善 | 仅解决红肿出血,无法改善牙齿排列 | 改善牙齿排列,但牙龈形态可能异常 | 牙齿排列整齐+牙龈形态自然,面部协调性提升 |
治疗中的注意事项
- 医患沟通与依从性:治疗前需详细告知患者治疗周期(通常2-4年)、费用及风险(如牙龈退缩、牙根吸收),强调口腔卫生维护的重要性,患者需每日使用牙线、冲牙器,并戒烟。
- 多学科协作:牙周科与正畸科医生需共同制定方案,定期病例讨论(如每2个月1次),根据牙周状况动态调整正畸力与治疗节奏。
- 个体化方案:根据牙周类型(侵袭性牙周炎vs慢性牙周炎)、错颌畸形程度(安氏分类、骨面型)选择不同策略,如侵袭性牙周炎患者需更严格的牙周维护与更轻的正畸力。
- 并发症预防:正畸中若出现牙龈退缩,需及时调整弓丝形态;若发生牙根吸收(通过根尖片诊断),需减小正畸力并延长保持期;避免“过度矫正”,以免导致牙周组织过度受力。
相关问答FAQs
Q1:牙周正畸联合治疗需要多长时间?费用较高吗?
A:治疗周期因人而异,通常分为牙周预备期(3-6个月)、正畸期(1-3年,复杂病例可能更长)和保持期(2-3年),总周期约2-4年,费用方面,由于涉及多学科协作,费用高于单一治疗,具体包括牙周治疗费用(基础治疗约1000-3000元,手术费用3000-8000元)、正畸费用(固定矫治器2万-5万元,隐形矫治器3万-8万元)及保持器费用(500-2000元),虽然初期投入较高,但远期可避免因牙周问题导致的牙齿脱落修复费用(如种植牙1万-3万元/颗),从长期性价比看更具优势。

Q2:正畸治疗过程中,牙周病会复发吗?如何判断是否需要暂停正畸?
A:正畸期间若口腔卫生维护不当或正畸力过大,牙周病可能复发,复发信号包括:牙龈持续红肿、刷牙时出血不止、牙周袋深度较前增加>2mm、牙齿松动度加重、出现牙周脓肿等,一旦出现上述情况,需立即暂停正畸,复诊牙周科医生进行针对性治疗(如龈下刮治、局部上药),待牙周炎症控制、指标恢复后再继续正畸,为降低复发风险,患者需每日使用含氟牙膏刷牙2次,配合牙线清洁邻面,每3个月进行1次专业牙周洁治,正畸医生也会在每次复诊时检查口腔卫生状况并指导改进。
