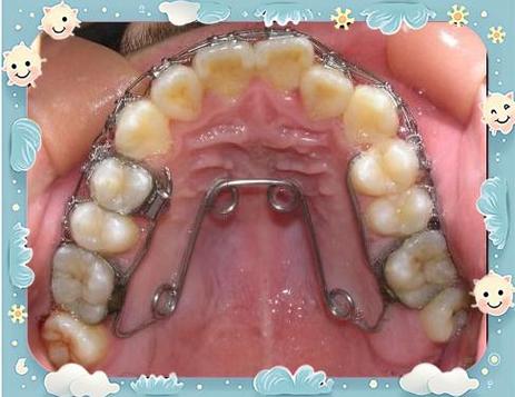
正畸四眼圈簧是口腔正畸治疗中常用的矫治装置,属于弹簧类矫治器的一种,因其主体结构通常包含四个圈状弹簧环(简称“眼”)而得名,这类装置主要通过金属丝的弹性变形产生持续、轻柔的矫治力,引导牙齿在牙槽骨内进行生理性移动,从而达到调整牙齿位置、改善咬合关系的目的,临床上,四眼圈簧的设计形态多样,需根据具体错颌类型(如牙齿拥挤、前突、深覆合等)进行个性化弯制,其作用机制和图片特征也因设计差异而有所不同。
从结构上看,典型的四眼圈簧通常由不锈钢丝或钛合金丝弯制而成,包含固定端、施力弹簧环和连接臂三部分,固定端常制成小圈或钩状,用于结扎固定在磨牙带环或支抗牙上;施力弹簧环是核心部分,通常为2-4个相邻或串联的圈,通过圈之间的距离变化或螺旋形态产生弹力;连接臂则连接弹簧环与需要移动的牙齿托槽,传递矫治力,在临床图片中,四眼圈簧的形态可直观反映其功能:垂直向压低型四眼圈簧的弹簧环多呈垂直排列,圈间距较小,用于压低前牙或磨牙;水平向内收型则弹簧环呈水平螺旋状,圈间距较大,提供内收前牙的力量;而复合移动型可能结合不同方向的弹簧环,实现牙齿的压低、倾斜或旋转等多维度调整,不同设计形态的四眼圈簧在临床应用中各有侧重,具体对比如下:

| 设计类型 | 弹簧环形态特点 | 主要作用方向 | 典型临床应用案例 |
|---|---|---|---|
| 垂直向压低型 | 弹簧环垂直串联,圈间距均匀 | 压低牙齿 | 深覆合患者的前牙压低 |
| 水平向内收型 | 弹簧环水平螺旋排列,圈间距大 | 内收前牙 | 双颌前突患者的上前牙回收 |
| 复合移动型 | 多方向弹簧环组合,形态不规则 | 多向移动(压低+倾斜) | 个别牙齿高位伴倾斜的复杂错颌 |
四眼圈簧的材料选择也影响其临床效果,不锈钢丝(如0.9mm-1.2mm直径)强度高、弹性稳定,适合需要较大矫治力的病例;钛合金丝(如β钛丝)弹性模量低、力量柔和,更适合对舒适度要求高的患者或需要精细移动的情况,在图片中,可通过金属丝的光泽和粗细初步判断材料类型:不锈钢丝呈银白色、质地较硬;钛合金丝呈淡黄色、质地较柔软,弯制时更容易形成复杂的弹簧环形态。
使用四眼圈簧时,需注意力量的持续性和控制性,弹簧环在受力后会发生弹性变形,若变形过度(如圈间距拉得过大),会导致力量衰减甚至失效,因此需定期复诊检查,必要时调整或更换装置,由于四眼圈簧结构相对复杂,患者口腔卫生维护难度增加,需加强刷牙和使用牙线,避免食物嵌塞引发龋齿或牙龈炎,部分患者在戴入初期可能出现牙齿酸痛、黏膜刺激等不适,通常3-5天可缓解,若症状持续或加重,需及时就医处理。
相关问答FAQs
Q1:四眼圈簧和其他正畸弹簧(如拉簧、推簧)有什么区别?
A:四眼圈簧与拉簧、推簧的主要区别在于结构和作用机制,拉簧通常为两端带钩的螺旋弹簧,通过拉伸产生拉力(如关闭拔牙间隙);推簧为压缩弹簧,通过压缩产生推力(如扩大牙弓);而四眼圈簧的“四圈”结构设计使其能产生更复杂、多方向的力,同时具备一定的抗旋转能力,适合需要精细移动的牙齿(如压低、内收+倾斜),四眼圈簧的固定更稳定,不易滑脱,但制作工艺相对复杂,成本也高于普通拉簧、推簧。
Q2:戴四眼圈簧期间需要注意哪些口腔护理问题?
A:四眼圈簧的弹簧环和连接臂容易积存食物残渣,若清洁不到位易引发龋齿和牙龈炎,护理时需做到:① 使用软毛牙刷,采用“巴氏刷牙法”,重点清洁牙齿与弹簧环接触的区域;② 每天至少使用一次牙线,清理牙缝和弹簧环周围的嵌塞物;③ 避免食用过硬、黏性食物(如坚果、口香糖),防止弹簧变形或脱落;④ 每半年进行一次专业洁牙,清除牙结石和菌斑,若出现牙龈出血、肿胀或口腔溃疡,需及时联系正畸医生调整装置或给予对症处理。

