拜博口腔网

  • 正畸四眼圈簧图片具体展示什么?

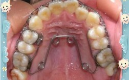
    正畸四眼圈簧图片具体展示什么?

    正畸四眼圈簧是口腔正畸治疗中常用的矫治装置,属于弹簧类矫治器的一种,因其主体结构通常包含四个圈状弹簧环(简称“眼”)而得名,这类装置主要通过金属丝的弹性变形产生持续、轻柔的矫治力,引导牙齿在牙槽骨内进行生理性移动,从而达到调整牙齿位置、改善...

    2026-01-06
    62 0 0
  • 1 / 1
  • 1