在牙齿矫正过程中,正畸澳丝(通常指澳大利亚进口的不锈钢丝或镍钛丝)是调节牙齿位置、实现排齐与关闭间隙的关键工具,其弯制技术直接影响矫正效果与治疗效率,掌握正确的弯制方法需从工具准备、操作步骤、细节把控及问题解决等多方面入手,以下为具体操作指南。
弯制前的准备工作
工具选择与检查
弯制澳丝需配备专业正畸工具,确保工具状态良好是精准操作的前提,常用工具及作用如下:

| 工具名称 | 作用 | 选择要点 |
|---|---|---|
| 持针器 | 夹持弓丝、进行基础弯曲 | 头部带沟槽,避免打滑;尖端闭合紧密 |
| 梯形钳 | 精细弯制(如关闭曲、转矩) | 钳口薄而尖,适合小角度调整 |
| 结扎丝 | 固定弓丝于模型或托槽 | 直径0.25mm,柔韧性好 |
| 测量尺 | 测量弓丝长度、弯制点间距 | 刻度精准(最小单位0.1mm) |
| 模型剪 | 截取弓丝长度 | 刀锋锋利,断口平整 |
| 细砂纸/打磨器 | 修整弓丝毛刺,提升表面光滑度 | 800目以上,避免过度打磨导致变形 |
澳丝选择与预处理
根据矫正阶段选择合适材质与直径的澳丝:
- 不锈钢丝:强度高、回弹稳定,适合排齐、关闭间隙等需精确控制力的阶段,常用直径0.016英寸、0.018英寸;
- 镍钛丝:弹性好、持续力柔和,适合初期排齐或复杂病例,弯制时需注意其“记忆性”,避免过度弯曲。
若澳丝较硬(如不锈钢丝),可提前用手轻轻掰直,减少弯制时的阻力。
模型测量与标记
在患者石膏模型上标记关键位置:用记号笔标出尖牙托槽中心、磨牙颊面管入口点,测量双侧尖牙间距、磨牙间距,确定弓丝基础长度;若需弯制关闭曲或牵引钩,需在弓丝上对应标记点,确保左右对称。
弯制具体步骤
截取弓丝并修整
根据模型测量长度,用模型剪截取澳丝,长度为“一侧磨牙颊面管至另一侧磨牙颊面管距离+末端回弯长度(3-4mm)”;将断口用打磨器磨平,避免刺伤口腔黏膜。
弯制基础弓形

- 夹持弓丝中点:用持针器夹住弓丝中1/3处,轻轻向舌侧弯曲,形成初步“U”形弓;
- 调整弓形宽度:用梯形钳夹持弓丝两侧,根据尖牙间距调整弓形宽度,使弓丝与牙弓形态匹配(参考标准牙弓形:前牙段呈圆弧形,后牙段略宽);
- 校准对称性:将弓丝置于模型上,观察双侧是否对称,若一侧偏移,用持针器轻柔调整。
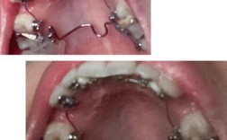
弯制特殊结构(如关闭曲、牵引钩)
若需弯制滑动关闭曲(用于关闭拔牙间隙):
- 用梯形钳在弓丝标记点处(通常距尖牙托槽前2-3mm)弯制“Ω”形曲,曲的高度为4-5mm,宽度为2-3mm,避免曲过大刺激黏膜;
- 用持针器将关闭曲两侧的弓丝向龈端弯曲15°,使其与牙面贴合。
若需弯制牵引钩:用梯形钳在弓丝标记点处弯制“L”形或“T”形钩,钩的长度以不超出对侧牙面为宜,末端磨圆钝。
调整转矩与轴倾度
- 转矩调整:用梯形钳夹持弓丝前牙段,向舌侧或唇侧旋转(如上颌前牙需舌侧转矩,防止“龇牙”),旋转角度为10°-15°,避免过度导致牙齿根唇倾;
- 轴倾度调整:对后牙段进行“冠倾斜”控制(如上颌磨牙冠舌倾),用梯形钳对弓丝施加轻微弯曲,使牙齿长轴与颌平面呈5°-10°夹角。
末端回弯与试戴
将弓丝插入磨牙颊面管,用持针器将末端向舌侧回弯1-2mm,防止弓丝脱出;将弓丝放入患者口腔,检查是否与所有托槽贴合,让患者做正中咬合、张口动作,确认无黏膜压迫、无咬合干扰,若有不适,取出后用梯形钳微调。

弯制注意事项
- 力量控制:澳丝弹性大,弯制时需“轻柔缓慢”,避免用力过猛导致弓丝断裂(尤其不锈钢丝);镍钛丝弯制后需自然回弹,不可强行塑形。
- 对称性优先:左右两侧弯制点、弯制角度误差需控制在1mm内,否则会导致牙齿移动不均衡。
- 表面光滑度:弯制后必须用细砂纸打磨弓丝所有弯曲部位及末端,去除毛刺,防止口腔溃疡。
常见问题及解决方法
| 问题 | 原因分析 | 解决方法 |
|---|---|---|
| 弓丝不对称 | 标记点误差或弯制时力度不均 | 重新测量模型,双侧标记点同步弯制;用测量尺校准间距 |
| 关闭曲变形 | 弯制时力量过大或钳夹位置错误 | 使用梯形钳钳夹曲的基部,缓慢弯制;避免一次性弯到位 |
| 末端回弯后刺激黏膜 | 回弯角度过大或末端有毛刺 | 减少回弯角度至1-2mm;用砂纸打磨末端至光滑 |
相关问答FAQs
Q1:弯制澳丝时总是出现回弹,导致角度不准确怎么办?
A:澳丝(尤其不锈钢丝)的回弹是材料固有特性,可通过“过弯补偿”解决:弯制时将目标角度多弯5°-10°,利用回弹达到理想角度;若回弹严重,可将弓丝在酒精灯外焰快速加热(至微红)后自然冷却(退火处理),降低弹性,但需注意退火后强度可能下降,仅适用于不锈钢丝。
Q2:弯制澳丝时如何避免损伤患者口腔黏膜?
A:损伤黏膜多因弓丝末端尖锐或弯制部位毛刺导致,解决方法:① 弯制后用800目以上细砂纸打磨弓丝所有边缘,尤其末端;② 末端回弯时角度控制在1-2mm,避免“直角”;③ 试戴时让患者做吞咽、鼓腮动作,重点检查颊侧、舌侧黏膜,若有压迫,用正畸蜡临时覆盖,并调整弓丝形态。
