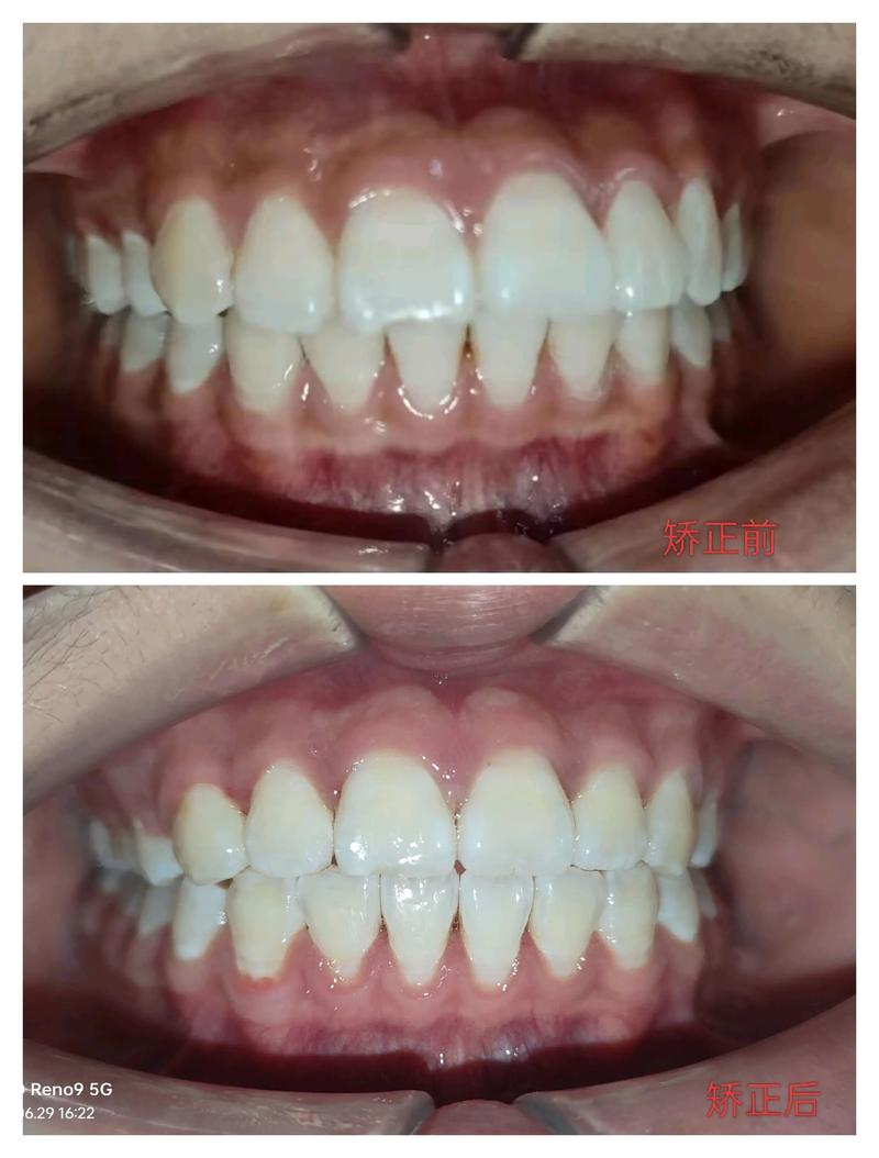
牙齿矫正不仅是美学改善,更是口腔健康的重要投资,从排列不齐的“乱牙”到整齐的皓齿,从咬合紊乱到功能协调,前后对比图片最直观地展现了这一蜕变过程,这些图片不仅是矫正效果的“成绩单”,更是无数人重拾自信的见证。
为什么前后对比图片如此重要?
牙齿矫正的核心是“排列”与“功能”的双重优化,而前后对比图片恰好将抽象的“变整齐”转化为具象的视觉冲击,拥挤的牙齿不再互相“打架”,龅牙带来的突嘴感逐渐消失,地包天导致的“月牙脸”变得柔和——这些变化不仅是牙齿位置的移动,更是面部轮廓、笑容状态乃至气质的整体提升,对潜在矫正者而言,真实案例的图片对比比任何宣传语都更有说服力,能帮助消除对矫正过程的顾虑,明确矫正目标。

不同错颌类型的前后对比特点
通过临床案例的图片对比,常见错颌类型的改善效果一目了然,以下表格总结了典型错颌类型矫正前后的变化:
| 错颌类型 | 矫正前表现 | 矫正后变化 | 典型案例特点 |
|---|---|---|---|
| 牙齿拥挤 | 牙齿重叠、扭转,刷牙清洁困难,易蛀牙 | 牙齿排列整齐,无重叠,口腔卫生维护简单 | 多见于青少年或成年初期,牙量大于骨量 |
| 龅牙(深覆盖) | 上前牙突出,嘴唇闭合困难,侧面“凸嘴” | 牙齿内收,嘴唇自然闭合,侧面线条流畅 | 常伴上颌前突或下颌后缩,影响面部比例 |
| 地包天(反颌) | 下前牙包住上前牙,下巴前伸,呈“月牙脸” | 上下前牙正常对刃,下巴后缩改善,轮廓柔和 | 分牙性和骨性,骨性可能需联合正颌手术 |
| 开颌 | 后牙无法咬合,前牙“开敞”,说话漏风 | 牙齿紧密咬合,恢复发音和咀嚼功能 | 多与吐舌、咬唇等不良习惯有关 |
| 牙缝过大 | 牙齿间缝隙明显,食物易嵌塞,影响美观 | 牙齿紧密排列,缝隙关闭,笑容更饱满 | 常见于牙周病或先天牙量小于骨量 |
影响矫正效果的关键因素
并非所有案例都能达到“完美效果”,个体差异、矫正方式、医生技术及患者配合度共同决定最终呈现。
- 矫正方式选择:传统托槽矫正力度强,适合复杂错颌;隐形矫正美观便捷,适合轻度至中度问题;舌侧矫正隐蔽但价格较高。
- 医生方案设计:需结合X光片、模型等数据制定个性化方案,如是否需要拔牙、种植钉辅助等。
- 患者配合度:佩戴保持器、避免啃咬硬物、定期复诊等直接影响效果稳定性。
如何正确看待对比图片?
案例图片虽直观,但需注意个体差异:每个人的牙齿情况、骨骼基础、面部条件不同,矫正效果会有区别,参考图片时,应关注与自己错颌类型相似的案例,而非单纯追求“网红脸”,选择矫正机构时,优先考察医生的专业资质和个性化方案设计能力,而非仅对比“效果图片”。
相关问答FAQs
牙齿矫正前后对比图片是否具有普遍参考价值?
答:案例图片能直观展示矫正潜力,但个体差异较大,参考时需结合自身错颌类型、骨骼条件,与医生充分沟通预期效果,避免盲目对比,骨性龅牙可能需正颌手术联合矫正,单纯正畸效果有限。

矫正后效果能维持多久?需要终身戴保持器吗?
答:矫正效果稳定性取决于多种因素,通常需全天佩戴保持器3-6个月,之后过渡到夜间长期佩戴,若能保持良好口腔卫生、避免不良习惯(如吐舌、夜磨牙),效果可长期稳定;反之,牙齿复发风险较高。

