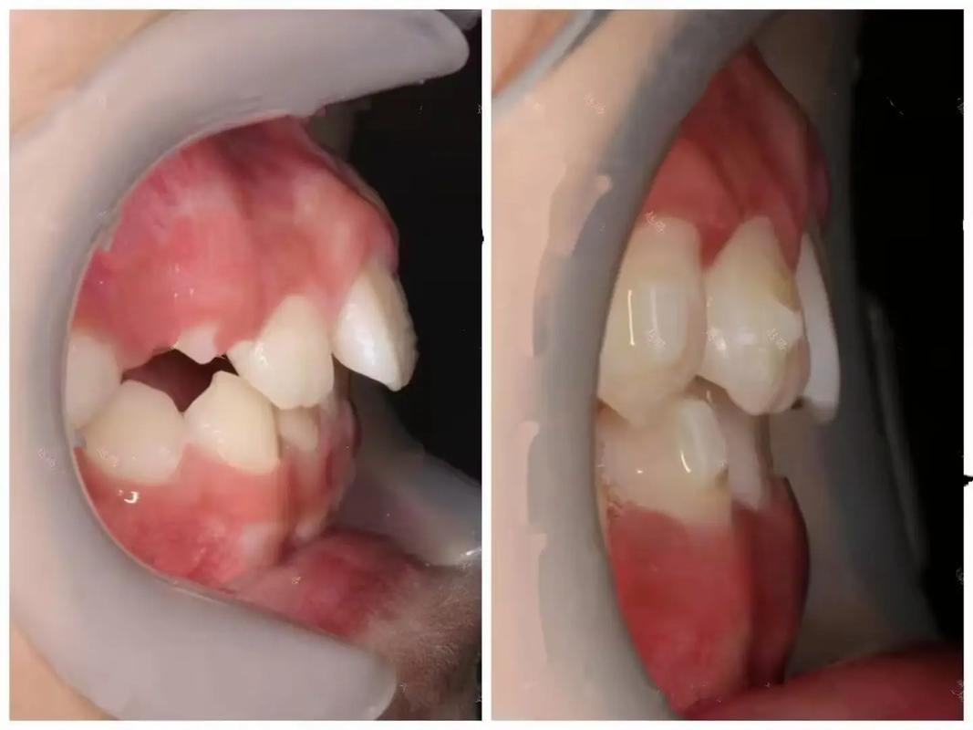
门牙外凸是常见的牙齿畸形问题,不仅影响面部美观,还可能对口腔功能和健康造成潜在影响,无论是青少年还是成年人,一旦出现门牙外凸,都应及时寻求专业正畸医生的帮助,通过科学矫正改善牙齿排列和咬合关系。
门牙外凸的常见原因
门牙外凸的形成通常与多种因素相关,主要包括遗传因素、不良口腔习惯、替牙期障碍以及口腔局部问题等,遗传因素是主要诱因之一,如果父母存在牙颌畸形,子女出现门牙外凸的概率会显著增加,不良口腔习惯,如吮指、咬唇(尤其是咬上唇)、吐舌、口呼吸等,会导致牙齿受到异常力量,逐渐向外突出,替牙期障碍,如乳牙早失、乳牙滞留或多生牙,可能造成恒牙萌出空间不足或位置异常,引发门牙外凸,牙周病导致的牙槽骨吸收也可能使牙齿失去支撑而外凸。

门牙外凸对口腔及面部的影响
门牙外凸的危害不仅限于美观层面,更涉及功能和健康,美观上,门牙外凸会导致“龅牙”外观,影响面部轮廓,尤其是微笑时牙齿暴露过多,可能降低个人自信心,功能上,外凸的门牙可能影响咬合关系,导致咀嚼效率下降,长期还可能引发颞下颌关节紊乱(如关节弹响、疼痛),发音方面,门牙与舌、唇的配合异常可能导致某些发音不准,健康上,外凸牙齿的牙缝更容易嵌塞食物残渣,清洁难度增加,易引发龋齿、牙龈炎、牙周炎等问题,严重时甚至可能导致牙根吸收。
门牙外凸的矫正方法
矫正门牙外凸需根据具体病因、畸形程度(牙性或骨性)、患者年龄等因素选择合适的方法,目前主流的矫正方式包括传统托槽矫正、隐形矫正、舌侧矫正等,每种方法各有优缺点,适用人群也不同。
以下是不同矫正方法的对比:
| 矫正方法 | 优点 | 缺点 | 适用人群 | 参考价格(元) |
|---|---|---|---|---|
| 传统金属托槽 | 经济实惠、强度高、适用范围广 | 美观性差、易刮嘴、口腔异物感强 | 预算有限、畸形复杂者 | 5000-15000 |
| 陶瓷托槽 | 美观(接近牙齿颜色)、强度较好 | 易染色、价格高于金属托槽 | 对美观有要求、轻度至中度畸形者 | 8000-20000 |
| 隐形矫正 | 透明美观、可自行摘戴、舒适度高 | 价格高、依赖患者配合、严重骨性畸形无效 | 轻度至中度畸形、注重美观和便捷者 | 20000-50000 |
| 舌侧矫正 | 完全内侧固定、完全隐形 | 技术要求高、价格昂贵、影响发音 | 预算充足、对美观要求极高者 | 50000-80000 |
传统托槽矫正
通过金属或陶瓷托槽将弓丝固定在牙齿表面,利用弓丝的弹性力量逐渐将牙齿移动至正常位置,传统金属托槽性价比最高,适合各类牙性畸形;陶瓷托槽美观性较好,但脆性较高,需避免啃咬硬物,矫正周期通常为1.5-3年,需每月复诊调整加力。

隐形矫正
采用透明高分子材料制作可摘戴的牙套,通过每副牙套的微小移动量逐步调整牙齿位置,隐形矫正美观、舒适,且可自行摘戴,便于清洁,但需保证每日佩戴时间不少于20小时,否则影响效果,适合轻度至中度牙性外凸,尤其适合成年上班族或对美观要求高的人群,矫正周期与托槽矫正相近。
舌侧矫正
将托槽和弓丝粘在牙齿内侧,完全从外部看不到,是目前最隐蔽的矫正方式,但舌侧矫正对医生技术要求极高,操作复杂,初期可能影响发音和舌部舒适度,价格昂贵,适合预算充足且追求极致美观的患者。
骨性畸形的联合治疗
若门牙外凸由骨性问题(如上颌骨发育过度、下颌骨发育不足)导致,单纯正畸矫正效果有限,可能需要配合正颌手术(如上颌骨前徙术、下颌骨后退术),通过手术调整颌骨位置,再结合正畸精细调整牙齿排列,实现面部美观与咬合功能的统一。
矫正过程中的注意事项
矫正期间需严格遵循医生指导,以确保效果和减少并发症,首先是口腔卫生维护,托槽周围易藏匿食物残渣,需使用正畸专用牙刷(如小头软毛牙刷)、牙线、冲牙器等工具清洁,避免龋齿和牙龈炎,其次是饮食控制,避免啃硬物(如坚果、骨头)、黏性食物(如口香糖、年糕)及高糖食物,防止托槽脱落或牙齿脱矿,复诊需按时进行,一般4-6周复诊一次,医生会检查牙齿移动情况并调整加力,初期(戴牙后1-2周)可能出现疼痛、口腔溃疡等不适,可使用正畸蜡缓解溃疡,疼痛可通过冷敷或服用止痛药缓解。
矫正后的保持与维护
矫正结束后需佩戴保持器,防止牙齿复发,保持器分为活动保持器(如Hawley保持器)和固定保持器(粘在牙齿内侧的舌侧丝),通常要求白天戴活动保持器1年,之后仅夜间长期佩戴,固定保持器可长期保留,保持器需注意清洁,活动保持器用牙膏刷洗,固定保持器通过牙线清洁,定期复查(每6个月1次),监测牙齿稳定情况。
相关问答FAQs
Q1:矫正门牙外凸需要多长时间?
A:矫正时间因人而异,主要取决于畸形程度、矫正方法及患者年龄,青少年处于生长发育期,骨改建能力强,矫正速度较快,一般1-2年即可完成;成年人骨密度高,牙齿移动较慢,且可能存在牙周问题,矫正时间通常为2-3年,隐形矫正和传统托槽矫正周期相近,舌侧矫正可能因技术复杂稍延长,骨性畸形需配合手术时,总治疗时间(手术+正畸)可能延长至2-3年。
Q2:成年人矫正门牙外凸和青少年有什么区别?
A:成年人矫正与青少年矫正的主要区别在于:①骨改建能力:青少年处于生长发育期,可通过生长引导(如功能性矫治器)调整颌骨关系,成年人骨发育完成,骨改建能力差,严重骨性畸形需依赖手术;②口腔健康:成年人可能存在牙周炎、牙根吸收等问题,需先治疗牙周疾病再矫正,而青少年口腔健康通常较好;③美观需求:成年人对美观要求更高,更倾向于选择隐形矫正或舌侧矫正;④配合度:成年人自律性较好,能严格佩戴保持器,但需注意避免牙周损伤。
