牙齿矫正的核心目标是改善牙齿排列、调整咬合关系、提升口腔功能及面部美观,而实现这一目标的关键在于让牙齿在牙槽骨内进行精确、可控的移动,牙齿移动的本质是牙槽骨的改建——在持续、轻柔的生物力作用下,压力侧牙槽骨吸收,张力侧牙槽骨沉积,从而带动牙齿位置改变,牙套(正畸矫治器)正是传递这种生物力的核心工具,因此绝大多数牙齿矫正案例都需要借助牙套完成,但具体是否需要、选择何种牙套,需根据牙齿畸形类型、年龄、个人需求及医生专业判断综合决定。
为什么大多数牙齿矫正需要戴牙套?
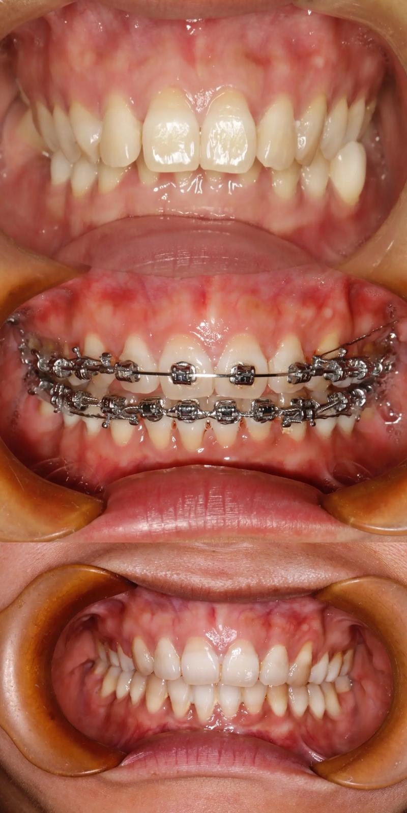
牙齿并非固定不动,但其移动需要持续、稳定的引导,若没有牙套这样的外部装置,很难实现对单颗或多颗牙齿的精确控制,牙齿拥挤时,牙套上的弓丝可施加持续力量,推动牙齿向正确位置移动;深覆合或深覆盖时,牙套能通过调整牙齿高度和角度改善咬合关系;反颌(俗称“地包天”)则需牙套协调上下颌牙齿的咬合接触,牙套的作用不仅是“移动牙齿”,更是通过托槽、弓丝、隐形附件等结构,建立完整的力学系统,确保牙齿按照预设方案移动,避免出现牙根吸收、牙槽骨损伤等风险。

哪些情况下牙齿矫正必须戴牙套?
并非所有牙齿问题都需要矫正,但一旦确定矫正,多数情况下必须依赖牙套,以下常见畸形类型通常需要戴牙套:
- 牙列拥挤:牙齿过多导致排列不齐,需通过牙套创造空间,将牙齿排齐到正常牙弓位置。
- 牙列稀疏:牙齿过少导致牙缝过大,牙套可集中牙齿,关闭缝隙,改善牙弓形态。
- 深覆合:上前牙盖过下前牙过多,可能损伤下前牙牙龈,牙套需压低上前牙或升高下后牙,调整咬合深度。
- 深覆盖:上前牙突出(俗称“龅牙”),不仅影响美观,还可能导致唇部肌肉异常,牙套需内收上前牙或调整颌骨关系。
- 反颌(地包天):下前牙咬在上前牙外侧,可能影响咀嚼功能和面部发育,牙套需纠正上下颌牙齿的咬合关系。
- 开颌:上下前牙无法咬合,导致咀嚼效率低,牙套需通过压低或升高特定牙齿,关闭咬合间隙。
- 中线偏斜:上下颌牙齿中线不一致,影响面部对称性,牙套需移动牙齿至中线对齐。
这些情况往往涉及复杂的力学控制,仅通过日常咀嚼或自行调整无法实现,必须借助牙套系统进行专业矫治。
是否有不需要戴“传统牙套”的矫正方式?
需明确“牙套”的广义概念——所有用于传递矫治力的装置均可视为牙套。“不戴牙套”的矫正通常指非传统固定矫治器,但本质上仍属于牙套范畴:
- 功能性矫治器:适用于儿童早期骨性畸形(如上颌发育不足、下颌过度前突),通过调整颌骨位置引导面部正常发育,如Activator、FR矫治器等,多为活动式,无需粘托槽,但仍属于矫治装置。
- 隐形牙套:如隐适美、时代天使等,由透明高分子材料制成,可摘戴,美观度高,适合简单到中度病例,本质是“可摘式牙套”,需每日佩戴20-22小时才能保证效果。
- 个别牙套:针对单颗牙轻微移动(如门牙轻微扭转),可使用“正畸钉+局部弓丝”或“透明牙套附件”,虽范围小,但仍属于牙套的一种。
牙齿矫正需要“矫治装置”,只是形式不同,传统固定牙套(如金属、陶瓷托槽)是其中一种,适用于复杂病例;隐形牙套、功能性矫治器等则因美观、舒适等优势,成为特定人群的选择。

不同类型牙套的特点及适用人群
选择牙套时,需结合畸形类型、美观需求、经济条件及医生建议,以下是常见牙套类型的对比:
| 类型 | 美观度 | 舒适度 | 矫治力 | 价格(元) | 适用情况 | 摘戴便利性 |
|---|---|---|---|---|---|---|
| 传统金属牙套 | 低(金属色) | 一般 | 强 | 8000-15000 | 复杂畸形(严重拥挤、反颌等) | 固定,不可摘戴 |
| 陶瓷牙套 | 中(接近牙齿色) | 一般 | 强 | 15000-25000 | 对美观有要求的中度复杂病例 | 固定,不可摘戴 |
| 隐形牙套 | 高(透明) | 高 | 中等偏弱 | 25000-50000 | 简单到中度畸形(轻度拥挤、稀疏) | 可摘戴 |
| 舌侧牙套 | 高(粘在舌侧) | 低 | 强 | 50000-80000+ | 对美观要求极高的复杂病例 | 固定,不可摘戴 |
选择牙套需考虑的关键因素
- 畸形复杂程度:严重骨性畸形、复杂牙根形态需选择传统金属或舌侧牙套,因其矫治力强、控制精准;简单病例可选隐形牙套,兼顾美观与便利。
- 美观需求:成年人、教师、演员等对美观要求高的人群,优先考虑陶瓷或隐形牙套;儿童青少年可耐受传统金属牙套。
- 经济条件:金属牙套性价比最高,隐形和舌侧牙套价格较高,需根据预算选择。
- 依从性:隐形牙套需每日佩戴20小时以上,若依从性差(如经常忘记佩戴),会影响矫正效果,此时传统牙套更可靠。
- 口腔卫生:传统牙套易存留食物残渣,清洁难度大,若口腔卫生差,可能增加龋齿、牙龈炎风险;隐形牙套可摘戴,清洁更方便。
- 医生经验:不同医生擅长不同类型牙套,选择经验丰富的医生可提高矫正效率和安全性。
不戴牙套矫正的风险
部分人认为“不戴牙套也能矫正”,如自行用橡皮筋拉牙齿、戴“网红矫正器”等,这种做法风险极大,牙齿移动需精确控制力的大小、方向和时间,自行操作可能导致:
- 牙齿移动失控:如过度拉扯导致牙根吸收、牙齿松动甚至脱落;
- 咬合紊乱:牙齿位置异常可能引发颞下颌关节紊乱,出现张口疼痛、弹响;
- 牙槽骨损伤:不合适的力可能破坏牙槽骨,导致牙龈萎缩、牙根暴露。
牙齿矫正必须在专业正畸医生指导下,通过科学检查(如X光片、模型分析)制定方案,选择合适的牙套,避免盲目尝试。
相关问答FAQs
牙齿矫正一定要拔牙才能戴牙套吗?
不一定,是否拔牙取决于牙齿畸形程度、牙量与骨量的协调性,若牙齿拥挤严重(牙量>骨量),通常需拔除部分牙齿(如前磨牙)为牙齿移动提供空间;若拥挤较轻或牙弓足够大,可通过扩弓、邻面去釉(磨除少量牙齿邻面 enamel)等方式解决,无需拔牙,医生会通过头影测量、模型分析等数据综合判断,拔牙是矫正手段之一,并非“必须”。

隐形牙套可以矫正所有牙齿问题吗?
隐形牙套适用于简单到中度的牙齿畸形,如轻度拥挤、牙列稀疏、前牙深覆盖、轻度深覆合等,但对于严重骨性畸形(如下颌后缩需手术矫正)、复杂牙根形态(如牙根弯曲)、需要强支抗的病例(如大量内收前牙),隐形牙套的矫治力有限,效果可能不如传统牙套稳定,若患者依从性差(如未按佩戴时间要求使用),也可能影响矫正效果,是否选择隐形牙套需医生评估后确定。
