磨牙症作为一种常见的口腔问题,临床表现为无意识上下牙齿紧咬或摩擦,多发生在夜间睡眠时,长期可能导致牙齿磨损、敏感、牙周损伤甚至颞下颌关节紊乱,许多磨牙者常纠结:“牙齿已经磨损了,还能矫正吗?”磨牙并非牙齿矫正的禁忌症,反而科学的矫正治疗能在改善咬合关系的同时,对磨牙症状起到缓解甚至根治作用,但需结合个体情况制定方案,以下是具体分析。
磨牙症的基本认识与牙齿损伤机制
磨牙症可分为白天清醒型(与精神紧张、焦虑相关)和夜间睡眠型(与咬合干扰、睡眠呼吸暂停等有关),后者占比更高且危害更隐蔽,牙齿在无意识摩擦时,咬合力可达正常咀嚼的3-5倍,长期作用会导致牙釉质磨损、牙本质暴露,进而引发牙齿敏感(冷热酸甜刺激疼痛)、牙冠变短(俗称“咬合面降低”)、牙周组织创伤(牙龈萎缩、牙槽骨吸收),严重时甚至出现牙齿松动或折裂,磨牙还可能通过咬肌过度收缩,引发颞下颌关节紊乱病(TMD),表现为张口疼痛、关节弹响等。

牙齿矫正(正畸治疗)的核心是通过移动牙齿、调整颌骨位置,建立稳定的咬合关系,而磨牙者的牙齿是否适合矫正,关键在于评估其牙周健康状况、牙根吸收风险及咬合异常程度——只要牙周组织健康(无严重骨吸收、牙龈萎缩),且磨牙未导致不可逆的牙体缺损(如牙冠大面积磨损无法保留),通常均可接受矫正治疗。
磨牙者矫正牙齿的可行性与核心逻辑
磨牙者矫正牙齿并非“雪中送炭”,而是“双向获益”:矫正可通过调整咬合接触点,消除牙齿间的干扰,减少肌肉异常收缩的动力,从而降低磨牙频率;矫正过程中可通过修复与正畸联合治疗,修复已磨损的牙体,恢复牙齿正常形态与功能。
磨牙与咬合异常的关联:矫正的“靶点”
多数磨牙症与咬合干扰密切相关,如牙齿过高点(早接触)、深覆合(上牙盖下牙过多)、深覆盖(“龅牙”)等异常咬合关系,会导致咀嚼肌在试图寻找“最舒适位”时发生无意识收缩,引发磨牙,矫正治疗可通过移动牙齿,消除早接触点,建立“尖窝相对、广泛接触”的稳定咬合,从根源上减少肌肉的代偿性收缩,对于因后牙缺失导致邻牙倾斜、咬合紊乱引发的磨牙,矫正可先直立倾斜牙齿,再通过修复恢复缺牙间隙,最终建立平衡咬合。
磨牙者的特殊考量:矫正方案需“定制”
磨牙者在矫正中需重点关注两点:一是牙齿抗磨损能力,二是矫正过程中的咬合稳定性,具体而言:

- 矫正前评估:需通过口腔检查、曲面断层片(观察牙根形态)、颞下颌关节MRI(排查TMD)、咬合纸检查(定位早接触点)等,明确磨牙原因及牙齿损伤程度,若存在严重牙体缺损,需先进行牙体预备(如嵌体、冠修复),再启动矫正;若牙周状况不佳,需先进行牙周治疗,待炎症控制后再矫正。
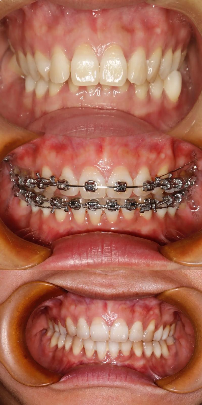
- 矫正方式选择:传统金属托槽、陶瓷托槽、隐形矫正均可适用于磨牙者,但需优先考虑“抗干扰”能力,隐形矫正的牙套材质较软,若磨牙严重可能导致牙套磨损变形,此时建议选择传统托槽(强度更高,且可精准调整咬合);对于青少年磨牙者,可选用功能矫正器(如肌激动器),通过调整颌骨位置及肌肉功能,间接缓解磨牙。
- 咬合调整技巧:矫正中需通过“少量多次”的精细调整,逐步消除咬合干扰,在关闭拔牙间隙时,需避免后牙过早接触,导致磨牙加重;矫正后期需进行“咬合抛光”,确保牙齿间无早接触点,实现“正中咬合-前伸咬合-侧方咬合”的全范围协调。
磨牙者矫正的注意事项与长期维护
矫正期间的防护措施
磨牙者在矫正期间牙齿移动过程中更易受到异常咬合力影响,需额外防护:
- 佩戴夜磨牙垫:矫正前若磨牙症状严重,可先佩戴软性或硬性夜磨牙垫(如丙烯酸树脂垫),保护牙齿及托槽;矫正中若出现夜间磨牙,可在医生指导下佩戴专用正畸保护垫(覆盖在托槽上,避免托槽磨损及牙齿进一步损伤)。
- 避免咬硬物:矫正期间牙齿处于移动状态,咬硬物(坚果、螃蟹壳等)易导致托槽脱落或牙根吸收,磨牙者更需注意,以免加重牙齿负担。
- 定期复诊调整:磨牙者需缩短复诊间隔(通常4-6周一次),以便医生及时检查咬合情况,调整矫治力,避免因咬合干扰导致矫正效果偏差。
矫正后的长期管理
矫正结束后,磨牙者仍需长期维护,防止复发:
- 保持器选择:传统 Hawley 保持器或透明保持器均可,但磨牙者建议选择“硬质保持器+夜磨牙垫”组合,即白天佩戴透明保持器维持牙齿位置,夜间佩戴夜磨牙垫保护牙齿。
- 定期复查:矫正完成后每3-6个月复查一次,检查咬合稳定性及牙齿磨损情况,必要时调整保持器或修复磨损牙体。
- 病因控制:若磨牙与精神压力、焦虑相关,需配合心理疏导或肌肉松弛训练;若与睡眠呼吸暂停有关,需转诊呼吸科治疗,从根本上减少磨牙诱因。
磨牙矫正的典型案例与效果
临床数据显示,约70%的磨牙者通过矫正治疗可显著改善症状,一名28岁男性患者,因夜间磨牙5年导致后牙牙釉质磨损、牙本质暴露,同时伴有颞下颌关节弹响,检查发现其存在深覆合(上牙覆盖下牙2/3)及后牙早接触点,医生先通过固定矫正器调整咬合,解除早接触,同时行牙体修复(覆盖义齿保护磨损牙面),矫正结束后患者磨牙频率从每晚3-5次降至每月1-2次,关节弹响消失,牙齿敏感症状明显缓解。
磨牙者不仅可以矫正牙齿,反而可能通过矫正获得“一举两得”的效果:既解决了牙齿排列不齐、咬合异常的问题,又从根源上缓解了磨牙症状,降低了牙齿磨损风险,关键在于个体化方案设计——全面评估磨牙原因、牙周状况及牙体损伤程度,选择合适的矫正方式,并在矫正前后做好防护与长期维护,对于长期受磨牙困扰的人群,及时寻求正畸医生的专业评估,是保护牙齿健康、提升生活质量的重要一步。

相关问答FAQs
Q1:磨牙矫正后牙齿会更敏感吗?
A:矫正过程中牙齿移动可能导致暂时性敏感(一般1-3个月缓解),但磨牙者若本身存在牙本质暴露,矫正中需配合脱敏治疗(如含氟牙膏、脱敏凝胶),矫正后通过咬合调整及夜磨牙垫保护,可减少牙齿进一步磨损,敏感症状反而会逐渐改善。
Q2:矫正期间磨牙加重,怎么办?
A:矫正中若磨牙加重,需及时复诊排查原因:可能是咬合干扰未完全解除,或精神压力导致肌肉紧张,医生可通过调整矫治力、打磨早接触点,或临时佩戴正畸保护垫缓解症状;同时需注意放松心情,避免睡前饮用咖啡、浓茶等刺激性饮品。
