天包地牙齿矫正效果图是正畸患者与医生沟通的重要桥梁,通过可视化呈现牙齿移动的预期效果,帮助患者直观了解矫正后的牙齿排列、咬合关系及面部轮廓变化,天包地在医学上称为“深覆合”,是指上前牙切端盖过下前牙牙冠长度1/3以上,甚至可能完全覆盖下前牙,不仅影响美观,还可能导致咀嚼效率降低、颞下颌关节紊乱、牙龈磨损等问题,矫正效果图的核心价值在于将抽象的矫正方案转化为具体图像,让患者对治疗结果形成合理预期,同时为医生调整方案提供依据。
天包地牙齿矫正效果图根据制作技术和呈现方式可分为多种类型,不同类型各有特点,传统托槽矫正效果图通常通过牙科专用软件模拟,结合患者口腔扫描数据或石膏模型,在电脑中规划牙齿移动路径,生成包含金属托槽、弓丝等矫正装置的动态或静态图像;隐形矫正效果图则依赖3D打印技术和数字化模拟,通过一系列分阶段牙齿移动动画,展示每一步矫正后牙齿的排列变化,患者可直观看到每副牙套的效果;舌侧矫正效果图因托槽粘贴于牙齿内侧,制作难度更高,需结合口腔内部扫描数据,精确模拟牙齿舌侧移动的细节,同时兼顾面部外观的改善,部分医疗机构还会结合面部美学分析,通过照片模拟软件将牙齿矫正效果与患者面部轮廓融合,生成包含侧貌变化的全景效果图,帮助患者更全面地评估矫正带来的综合改善。

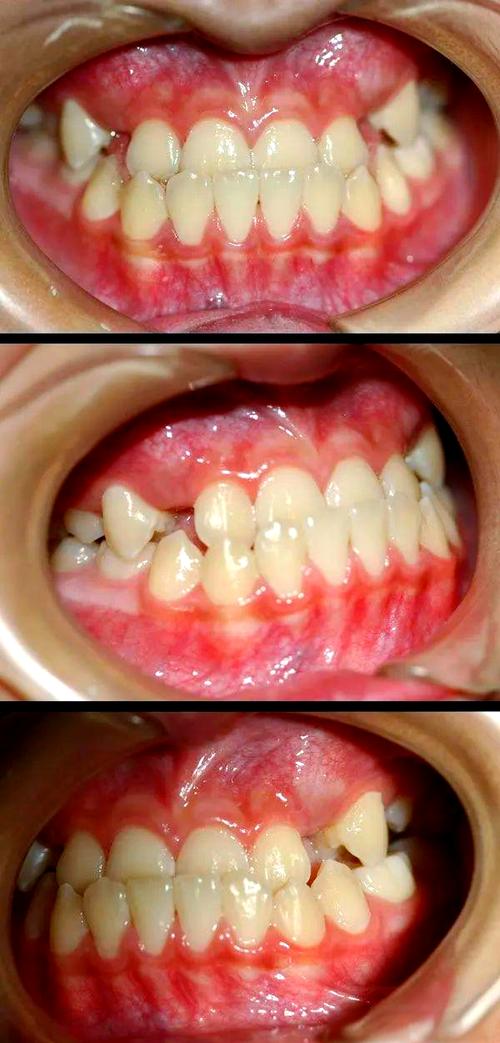
一张专业的天包地牙齿矫正效果图通常包含多个关键信息维度,首先是牙齿排列状态,效果图需清晰展示上下牙齿是否从拥挤、扭转、错位变为整齐排列,尤其是上前牙的倾斜度和下前牙的代偿性变化,例如深覆合患者常伴有下前牙唇倾,矫正后需内收至正常位置;其次是咬合关系,重点呈现上下前牙的垂直关系是否改善,即上前牙盖过下前牙的比例是否降至正常(1/3以内),后牙的咬合接触点是否均匀,避免出现个别牙齿早接触或咬合创伤;再者是侧貌美学变化,通过模拟上唇突度、颏部轮廓的调整,反映牙齿内收对面部中下1/3比例的改善效果,例如上牙列回收后可能减轻“凸嘴”外观,使鼻唇角更自然协调;最后是矫正过程中的阶段性变化,部分效果图会分阶段展示(如排齐期、关闭拔牙间隙期、精细调整期),帮助患者理解矫正周期和各阶段重点。
不同矫正方式的效果图存在显著差异,需结合患者需求选择,传统托槽矫正因矫正力度强,适合复杂天包病例(如伴严重骨骼畸形或牙齿旋转),效果图可能显示牙齿移动幅度较大,但需注意金属托槽对美观的影响;隐形矫正效果图则更侧重美观性和便捷性,每副牙套的牙齿移动量相对温和,适合轻中度天包患者,且可提前预览整个矫正过程的动画效果;舌侧矫正效果图因托槽隐蔽,完全模拟牙齿自然状态,但对医生技术要求极高,制作成本也更高,适合对外观要求极高的患者,下表对比了三种常见矫正方式的效果图特点:
| 矫正方式 | 效果图特点 | 优势 | 局限性 | 适用情况 |
|---|---|---|---|---|
| 传统托槽矫正 | 显示金属托槽和弓丝,牙齿移动幅度大,可模拟复杂病例矫正效果 | 矫正力度强,适用范围广,成本较低 | 美观度差,口腔异物感强 | 伴骨骼畸形、牙齿旋转的复杂天包病例 |
| 隐形矫正 | 动态分阶段展示,无托槽外观,可预览每一步牙齿移动,模拟自然牙列状态 | 美观舒适,可自行摘戴,便于清洁 | 矫正力度较弱,复杂病例需联合治疗 | 轻中度天包,追求美观和便捷的患者 |
| 舌侧矫正 | 完全模拟牙齿舌侧托槽状态,侧貌无痕迹,牙齿移动精度高 | 完全隐形,不影响美观 | 制作难度大,成本高,口腔异物感强 | 对美观要求极高,且无严重骨骼问题的患者 |
天包地牙齿矫正效果图的制作依赖于精准的初始数据采集和专业的模拟技术,医生需通过口腔内扫描或传统取模获取患者牙齿的3D数据,结合全景片、头颅侧位片等影像学检查,分析骨骼类型(骨性天包或牙性天包)、牙齿倾斜度、牙槽骨条件等关键因素,对于牙性天包(主要由牙齿位置异常导致),效果图可直接通过牙齿移动模拟改善效果;而对于骨性天包(上下颌骨发育异常),效果图可能需结合正畸-正颌联合治疗设计,例如通过术前正畸将牙齿排列至理想位置,再通过正颌手术调整颌骨关系,最终效果图需同时体现牙齿和骨骼的改善,模拟软件中的生物力学引擎会根据牙齿移动路径计算牙周组织的受力情况,确保效果图中的牙齿移动符合生理限度,避免出现牙根吸收、骨开裂等风险。
值得注意的是,矫正效果图虽具重要参考价值,但并非绝对等同于最终效果,实际矫正过程中,患者配合度(如是否按时佩戴矫治器、保持口腔卫生)、骨骼生长潜力(青少年患者)、组织改建速度等因素均可能影响最终结果,隐形矫正患者若未严格佩戴足够时间,牙齿移动可能滞后于效果图预期;部分患者存在牙槽骨改建缓慢的情况,可能导致矫正周期延长,医生在制作效果图时需与患者充分沟通,明确标注“模拟效果”和“实际效果”的差异,同时根据治疗过程中的动态调整(如通过复诊检查微调方案)逐步优化结果。

天包地牙齿矫正效果图的解读需结合专业知识和美学标准,从专业角度看,效果图需符合“平衡、稳定、美观”的正畸目标:平衡指上下牙列中线与面部中线一致,牙齿左右对称;稳定指牙齿咬合后无早接触,可长期保持稳定位置;美观则需兼顾牙齿形态(如牙冠长度、宽度比例)、牙龈轮廓(牙龈乳头饱满无退缩)及面部协调性(如微笑时暴露上前牙牙冠的75%-100%,下唇与上前牙曲线自然贴合),从患者角度看,效果图应满足个人对美的需求,例如部分患者希望改善“露龈笑”,部分则更关注侧轮廓的流畅度,医生需在符合医学原则的基础上,尽可能结合患者期望调整方案。
天包地矫正效果图的数字化发展正推动正畸治疗进入“精准预判”时代,随着人工智能和3D打印技术的进步,部分高端医疗机构已引入动态模拟系统,可实时调整牙齿移动参数并生成即时效果对比;结合面部扫描技术,还能实现“虚拟正畸试戴”,让患者在矫正前通过VR设备直观体验矫正后的面部变化,这些技术创新不仅提升了效果图的可信度,也缩短了医患沟通时间,为个性化正畸方案的制定提供了更科学的依据。
相关问答FAQs
Q1:天包地矫正效果图一定能达到真实效果吗?
A:天包地矫正效果图是基于患者口腔数据和生物力学原理生成的模拟结果,可高度预估最终效果,但并非绝对保证,实际效果受多种因素影响,如患者是否严格配合治疗(如按时佩戴矫治器、定期复诊)、口腔组织改建速度、是否存在未预见的骨骼问题等,隐形矫正患者若佩戴时间不足,牙齿移动可能滞后于效果图预期;青少年患者可能存在生长发育变化,需动态调整方案,效果图需作为参考,医生会在治疗过程中根据实际情况优化方案,确保最终效果符合医学标准和患者需求。
Q2:如何判断一张天包地矫正效果图是否专业?
A:专业的天包地矫正效果图需具备以下特征:①标注清晰,包含矫正阶段(如初期排齐、中期咬合调整、末期精细完成)、牙齿移动方向及关键数据(如覆合改善量);②符合解剖学标准,如上下牙列中线对齐、后牙咬合接触点均匀、侧貌鼻唇角自然(约90°-110°),无夸张或违背生理结构的牙齿移动;③结合患者原始数据,效果图需基于患者口腔扫描模型或X光片制作,而非通用模板;④有医生或机构标识,并附注“模拟效果,实际结果可能因个体差异略有不同”的说明,效果图应兼顾功能与美学,既改善咬合关系,又提升面部协调性,而非单纯追求牙齿整齐。

