地包天,医学上称为“反颌”,是一种常见的错颌畸形,表现为下前牙咬在上前牙的外侧,下颌骨相对于上颌骨向前突出,可能伴随前牙反颌、后牙反颌或全口反颌,这种畸形不仅影响面部美观,还可能导致咀嚼功能下降、发音障碍、颞下颌关节问题,甚至对心理健康造成负面影响,通过矫正治疗可以有效改善地包天问题,而矫正过程中的图片资料能直观展示牙齿和颌骨的变化,帮助患者理解治疗进程和预期效果。
地包天的成因与类型
地包天的形成与遗传、不良习惯、替牙期障碍及疾病等多种因素相关,遗传因素可能导致上下颌骨发育比例异常;不良习惯如长期咬手指、咬唇、口呼吸、下颌前伸等,会引导下颌骨向前生长;替牙期障碍如下乳牙早失、上恒牙萌出不足等,可能导致颌骨发育不平衡;唇腭裂、佝偻病等全身性疾病也可能引发地包天。

根据病因和表现,地包天可分为牙性反颌、功能性反颌和骨性反颌三类,牙性反颌主要表现为牙齿排列异常,上下颌骨关系基本正常;功能性反颌多由不良习惯导致,下颌前伸是功能性代偿;骨性反颌则涉及颌骨发育异常,下颌骨确实前突或上颌骨发育不足,通常需要更复杂的治疗。
地包天矫正的必要性
地包天若不及时矫正,可能带来一系列健康问题,咀嚼功能受影响:反颌状态下,上下牙齿无法正常咬合,食物研磨效率降低,长期可能引发消化系统疾病,发音障碍:前牙反颌可能导致舌尖与牙齿接触异常,影响发音清晰度,面部美观与心理健康:地包天会导致“月牙脸”“地包天”等面型,影响患者社交自信,尤其对儿童和青少年心理发育不利,颞下颌关节(TMJ)问题:长期咬合异常可能引发关节弹响、疼痛,甚至导致关节结构紊乱。
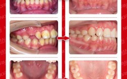
地包天矫正方法与图片解析
矫正地包天的方法需根据类型、年龄和严重程度制定,常见方法包括功能性矫治、固定矫治、隐形矫治及正畸正颌联合治疗,不同阶段的矫正效果可通过图片直观对比。
功能性矫治(适用于替牙期儿童)
对于生长发育期的儿童,功能性矫治器可通过引导颌骨生长纠正反颌,FR-III矫治器(反向功能矫治器)通过覆盖上下牙列,刺激上颌骨向前发育,抑制下颌骨过度生长,图片中可见,佩戴矫治器6个月后,患儿下颌前突明显改善,前牙反颌解除,面型趋于正常(图1:FR-III矫治器佩戴前后对比,左侧为治疗前下颌前突,右侧为治疗后上下颌关系协调)。
固定矫治(适用于青少年及成人)
固定矫治(如传统金属托槽矫正、陶瓷托槽矫正)通过施加持续矫治力,移动牙齿调整咬合,对于牙性反颌,可通过“摇椅弓”“颌间牵引”等方式将上前牙唇向移动、下前牙舌向移动;对于轻度骨性反颌,可通过拔牙为牙齿移动提供空间,图片中,固定矫治治疗前后对比可见,原本“下包上”的牙齿关系变为正常覆颌覆盖,牙列排列整齐(图2:固定矫治前后口内照,治疗前下前牙位于上前唇侧,治疗后上下前牙正常对刃)。
隐形矫治(适用于成人及对美观要求高者)
隐形矫治通过一系列透明牙套逐步移动牙齿,每副牙套的移动计划可通过3D动画和阶段性图片展示,针对前牙反颌,可设计上前牙唇向移动、下前牙舌向移动的序列,治疗中期图片可见牙齿开始调整位置,最终图片显示咬合关系恢复正常(图3:隐形矫治过程示意图,包含初始模型、治疗中牙套、最终咬合关系)。
正畸正颌联合治疗(适用于严重骨性反颌)
对于成年重度骨性反颌(如下颌前突、上颌后缩),单纯正畸无法解决颌骨问题,需通过正畸-正颌联合治疗:先通过正畸将牙齿排列到理想位置,再通过手术(如上颌Le Fort I型截骨前移术、下颌矢状劈开后退术)调整颌骨位置,术前X光片显示下颌骨明显前突,术后1年图片可见上下颌骨关系正常,面部轮廓改善(图4:正颌手术前后头颅侧位片对比,术前B点(下颌骨最前点)位于A点(上颌骨最前点)前方,术后两者关系协调)。
矫正流程与关键阶段
地包天矫正通常需经历以下阶段,各阶段的变化可通过图片记录:
- 初诊检查:拍摄口内照片、曲面断层片、头颅侧位片,取研究模型,评估牙齿、颌骨及面部情况(图5:初诊头颅侧位片,显示下颌前突,SNB角增大)。
- 方案设计:根据检查结果制定个性化方案,可能包括拔牙、扩弓、手术等,医生通过3D模拟展示预期效果(图6:矫正方案3D模拟图,展示牙齿移动路径和最终咬合关系)。
- 治疗实施:佩戴矫治器,定期复诊调整(固定矫治每4-6周调整一次,隐形矫治每2周更换一副牙套),记录治疗中牙齿变化(图7:治疗中口内照,可见上前牙逐渐唇向移动)。
- 保持阶段:拆除矫治器后佩戴保持器(如 Hawley保持器、透明保持器),防止复发,定期复查(图8:保持器佩戴图片,透明保持器贴合牙列,维持矫正效果)。
矫正注意事项
- 口腔卫生:矫正期间食物易嵌塞,需使用正畸牙刷、牙线、冲牙器清洁,避免托槽周围龋坏。
- 饮食禁忌:避免过硬(坚果、骨头)、粘性(口香糖、年糕)食物,防止托槽脱落。
- 配合治疗:按时复诊,按医生要求佩戴矫治器(如隐形矫治每日佩戴20小时以上),不擅自调整。
- 儿童早期干预:替牙期发现地包天(如4-5岁前牙反颌),应及时进行功能性矫治,避免颌骨发育异常加重。
相关问答FAQs
Q1:地包天矫正的最佳年龄是什么时候?
A:地包天矫正需分年龄阶段:替牙期(6-12岁)是功能性矫治的黄金时期,可通过引导颌骨生长避免骨性问题加重;青少年恒牙早期(12-18岁)是固定矫治的适宜阶段,牙齿移动效率高;成人矫正(18岁以上)也可进行,但骨性反颌可能需联合正颌手术,早期干预能降低治疗难度和复杂性,建议家长发现孩子“地包天”及时就医。
Q2:成年人骨性地包天只能通过手术矫正吗?
A:不一定,成年骨性地包天需通过头影测量评估严重程度:轻度骨性反颌(如下颌前突2-3mm)可通过正畸掩饰性治疗(如拔除下前牙、内收下前牙)改善咬合,但无法改变颌骨关系;中重度骨性反颌(如下颌前突>4mm)通常需正畸-正颌联合治疗,通过手术调整颌骨位置,才能从根本上解决面部畸形和咬合问题,具体方案需结合患者面部美学、主观意愿及医生专业判断制定。
