牙齿矫正不仅是口腔健康的必要干预,更是提升生活品质的重要途径,一张清晰的矫正后牙齿图片,往往能直观展现整齐的牙列、协调的咬合以及自信的笑容,让潜在矫正者对效果产生具体期待,矫正后的牙齿状态因错颌类型、矫正方式及个体差异而有所不同,但其核心目标始终一致:恢复牙齿的正常功能与美观,维护口腔长期健康。
常见矫正方式及其对应的牙齿图片特征
牙齿矫正技术已发展出多种方式,每种方式在矫正过程中的表现及最终效果各有特点,对应的牙齿图片也呈现出不同的视觉特征,通过对比不同矫正方式的典型效果,能帮助人们更全面地了解矫正后的可能性。

| 矫正方式 | 美观度 | 舒适度 | 价格区间(元) | 适应人群 | 典型矫正后牙齿图片特征 |
|---|---|---|---|---|---|
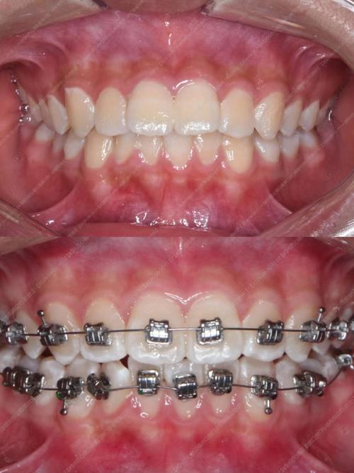
| 传统金属托槽 | 较低(托槽明显) | 一般(可能磨口腔) | 8000-15000 | 错颌复杂、青少年 | 牙齿排列整齐,托槽为金属色,可见弓丝;咬合关系正常,上下牙齿尖窝对位;牙龈无红肿,颜色粉红。 |
| 陶瓷托槽 | 中等(托槽透明/牙色) | 较好 | 12000-20000 | 对美观有要求、成人 | 托槽与牙齿颜色接近,远观不易察觉;牙齿边缘线平滑,无扭转;侧面观牙齿与唇线协调,微笑自然。 |
| 隐形矫正 | 高(透明牙套) | 高(可自行摘戴) | 20000-50000 | 错颌较轻、对美观要求极高者 | 牙套完全透明,牙齿逐步移动过程可见于每副牙套;最终效果无托槽痕迹,牙面光滑,弧度自然。 |
| 舌侧矫正 | 极高(托槽在舌侧) | 一般(初期影响发音) | 40000-80000 | 社交频繁、对美观极致追求者 | 从正面或侧面完全看不到托槽;牙齿内收效果显著,尤其适合深覆合、深覆盖;咬合接触点精准。 |
矫正后牙齿的理想图片特征:从细节看健康与美观
一张“成功”的矫正后牙齿图片,不仅是“整齐”那么简单,还需体现功能与美的统一,从专业角度看,理想的矫正后状态可通过以下细节在图片中识别:
牙齿排列与咬合关系
正面观:牙齿中线与面部中线基本对齐,左右牙齿对称排列,无拥挤或散在间隙,每个牙齿的邻接紧密,牙缝均匀,边缘呈自然的弧线,侧面观:牙齿无明显扭转或倾斜,尤其是前牙区,应呈现“微笑曲线”——上颌中切牙至尖牙的切缘连线与下唇曲线平行,微笑时露出的上颌牙齿不超过牙龈2mm,下颌牙齿不显露或仅显露少量,咬合面观:上下后牙的尖窝交错,呈“稳定的尖窝关系”,前牙覆合覆盖正常(上前牙盖过下前牙约1/3,垂直向无深覆合或深覆盖),咀嚼时力量能均匀分布,避免个别牙齿受力过大。
牙龈与牙周健康
矫正后的牙龈应呈粉红色,质地坚韧,无红肿、萎缩或增生,图片中若可见牙龈边缘整齐,与牙齿颈部贴合紧密,说明牙周组织健康,未因矫正过程中受力不当或清洁不到位引发炎症,尤其对于曾存在牙周问题的患者,矫正后的牙龈图片更能体现正畸治疗对牙周健康的改善作用——牙齿排列整齐后,牙菌斑更易清洁,牙周袋变浅,牙龈炎症得到控制。
面部轮廓与微笑协调性
牙齿矫正的终极目标是“面部美学”,一张优秀的矫正后牙齿图片,往往伴随面部轮廓的优化:对于“龅牙”患者,矫正后嘴唇不再前突,侧面鼻唇角(鼻底与唇部形成的夹角)趋于90°-120°,面部线条更柔和;对于“地包天”患者,矫正后下巴后缩改善,侧面观面下1/3比例协调,微笑时,牙齿与牙龈、嘴唇、面部表情肌和谐统一,露出的牙齿数量(6-8颗上颌牙齿)、牙龈暴露量(不超过2mm)均符合“黄金微笑标准”,给人一种自然、自信的视觉感受。

不同错颌类型的矫正图片案例:从“问题”到“改善”的真实对比
错颌类型多样,矫正后的图片效果也各有侧重,以下通过典型病例的图片特征,展现矫正如何解决具体问题:
- 牙齿拥挤矫正:矫正前图片可见牙齿排列不齐,像“歪歪扭扭的齿轮”,存在扭转、重叠;矫正后图片中,牙齿被整齐排列到牙弓内,每颗牙齿占据正常位置,牙弓弧线流畅,不仅美观,更便于清洁,降低龋齿和牙周病风险。
- 龅牙(上颌前突)矫正:矫正前图片显示上颌前牙明显突出,嘴唇闭合困难,侧面观“凸嘴”明显;矫正后图片可见前牙内收,嘴唇自然闭合,侧面鼻唇角改善,面部不再突兀,微笑时牙齿与嘴唇关系更协调。
- 地包天(反颌)矫正:矫正前图片表现为下前牙包在上前牙外侧,下巴前突,咬合时“刀刃对刀刃”;矫正后图片上前牙调整到下唇前方,咬合关系恢复正常,下巴后缩改善,面部中下1/3比例更和谐,咀嚼功能显著提升。
矫正后的护理:让“图片效果”长期保持
矫正后的牙齿图片记录了“蜕变瞬间”,但效果的维持需要科学护理,拆除牙套后,牙齿仍处于稳定期,牙槽骨和牙周组织需时间适应新的位置,佩戴保持器是关键——通常需全天佩戴6-12个月,之后过渡到夜间长期佩戴,直至医生评估稳定,口腔清洁不可松懈:使用巴氏刷牙法清洁牙齿邻面,配合牙缝刷或冲牙器清除牙菌斑;定期复查(每3-6个月一次),让医生检查牙齿稳定性、咬合关系及牙周健康,及时处理潜在问题,只有坚持护理,才能让矫正后的牙齿图片效果“永不褪色”。
相关问答FAQs
Q1:矫正后的牙齿能保持一辈子吗?如果不戴保持器会怎样?
A:矫正后的牙齿效果并非“一劳永逸”,其长期稳定性与保持器佩戴密切相关,牙齿移动后,牙周组织的改建需要1-2年才能完成稳定,期间若不戴保持器,牙齿受咬合力、肌肉力及遗传因素影响,可能回到原位(称为“复发”),青少年患者因生长发育潜力大,复发风险更高;成人患者若存在不良习惯(如吐舌、咬唇),也可能导致复发,严格按医嘱佩戴保持器(初期全天戴,后期夜间长期戴)是维持矫正效果的关键,多数人需坚持佩戴2-5年,部分甚至需终身夜间佩戴。
Q2:矫正后牙齿表面会变黄吗?如何预防?
A:矫正后牙齿变黄可能与清洁不当或牙釉质损伤有关,但并非必然结果,原因包括:矫正过程中托槽周围易堆积牙菌斑,若清洁不彻底,可能导致脱矿(牙釉质表面出现白斑),进而变黄;拆除托槽后,若牙面残留粘接剂未清理干净,也可能影响牙齿光泽;部分患者因刷牙力度过大或使用含颗粒粗糙的牙膏,导致牙釉质磨损,牙齿敏感度增加,视觉上呈现“发黄”,预防方法:矫正期间使用正畸专用牙刷(如正畸小头刷)、牙缝刷,配合冲牙器清洁托槽周围;避免食用咖啡、茶、酱油等易染色食物;定期进行专业洁牙(每6个月一次);拆除托槽后,医生会通过抛光去除残留粘接剂,恢复牙面光滑度,若已出现脱矿,可遵医嘱使用含氟牙膏或脱矿修复剂改善。

