矫正牙齿的过程视频如今已成为许多患者了解正畸治疗的重要途径,这类视频通过直观的影像记录,从初诊评估到最终摘下牙套的全过程,让原本抽象的正畸流程变得清晰可见,对于考虑矫正牙齿的人来说,观看这类视频不仅能缓解对未知的焦虑,还能提前了解每个阶段的注意事项,更好地配合治疗。
矫正前的评估与准备:视频中的“起点”
矫正牙齿并非直接戴牙套那么简单,治疗前需经过全面评估,过程视频通常会从这部分开始,医生会进行口腔检查,观察牙齿排列、咬合关系、牙周健康状况,以及是否存在龋齿、牙周炎等问题——若有,需先治疗再矫正,视频中可能展示医生用口镜、探针检查牙齿,或询问患者的主观感受,如是否有咀嚼疼痛、牙齿拥挤等。
拍摄X光片是关键步骤,包括全景片(观察全口牙齿、牙根、牙槽骨)和头颅侧位片(分析骨骼关系、面部软组织形态),视频可能记录患者站在X光设备前,咬住专用咬合板拍摄的过程,这些影像是制定方案的核心依据。
医生还会取牙齿模型,通过口内扫描或传统印模材料(如藻酸盐)复制患者牙列,视频中扫描仪在口腔内移动的动态画面,或印模材料凝固后取出模型的细节,能让观众直观感受“取模”这一步骤,拍摄面部及口腔正面、侧面、咬合面照片,作为治疗前后对比的基准。

矫正前评估常见项目及视频展示内容
| 检查项目 | 目的 | 视频中可能展示的细节 |
|----------------|----------------------------------------------------------------------|--------------------------------------------------------------------------------------|
| 口腔临床检查 | 检查牙齿、牙周、黏膜健康状况,排除矫正禁忌症 | 医生用口镜、探针检查牙齿,患者张口配合,记录龋齿、牙结石等问题 |
| X光片拍摄 | 分析牙齿与骨骼关系,判断牙根、牙槽骨情况 | 患者站在设备前,定位咬合板,机器围绕头部旋转拍摄;医生在电脑上解读X光片 |
| 牙齿模型获取 | 制作实体模型或3D数字模型,用于方案设计和模拟牙齿移动 | 口内扫描仪在牙列上缓慢移动;或印模材料放入口腔,患者轻咬等待凝固后取出 |
| 面部口腔拍照 | 记录治疗初始状态,用于对比矫正后面部改善和牙齿排列变化 | 患者按医生指示调整表情、咬合,相机从不同角度拍摄,闪光灯亮起的瞬间 |
矫正中的核心步骤:视频里的“动态变化”
当评估结束、方案确定后,矫正过程正式开始,这部分是视频的核心内容,也是最让患者期待的环节。
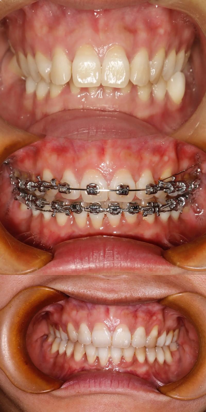
第一次戴牙套:视频中通常会记录医生如何将托槽(金属托槽、陶瓷托槽或隐形牙套的附件)精准粘贴在牙齿表面,对于传统金属托槽,医生会用酸蚀剂处理牙齿表面,涂粘接剂,再用镊子将托槽放置在预定位置,光照固化,整个过程可能持续1-2小时,视频会特写托槽粘贴的细节,以及患者第一次感受到“牙齿上有异物”的表情,随后,医生会安装弓丝(初始弓丝较细,如0.014英寸镍钛丝),通过结扎丝或橡皮圈固定托槽,此时牙齿可能开始轻微酸胀,视频可能会提及这种正常反应,并建议吃软食、避免啃咬硬物。
隐形矫正的特殊性:若选择隐形矫正,视频会展示医生如何根据3D模型设计一系列牙套,患者拿到第一副牙套时,需学习佩戴方法——视频可能演示“从后往前戴”“轻咬咬胶使牙套贴合”等技巧,强调每天佩戴20-22小时,每2周更换一副牙套。
复诊调整:传统矫正通常每4-6周复诊一次,视频记录医生更换弓丝(逐渐加粗、更换材质,如镍钛丝、不锈钢丝)、调整托槽位置、添加橡皮圈(调整咬合关系)的过程,医生可能用钳子弯制弓丝的“摇椅形”来排齐牙齿,或拆除结扎丝更换新的橡皮圈,患者可能会拍摄口内照片或X光片,对比牙齿移动情况,视频会展示治疗前后的牙齿模型对比,让观众直观看到“拥挤的牙齿逐渐变整齐”。
特殊情况处理:矫正中可能出现托槽脱落、弓丝刺嘴等问题,视频会演示应对方法——如托槽脱落需保存好脱落部件,及时联系医生;弓丝末端扎嘴可用正畸蜡覆盖,避免黏膜溃疡,对于骨性畸形或复杂病例,可能需要配合种植钉支抗,视频中可能记录种植钉植入的微创过程(局部麻醉、植入钉体、缝合),强调其辅助牙齿移动的作用。
矫正后的维护:视频中的“终点与起点”
当牙齿排列整齐、咬合关系稳定后,医生会拆除牙套,但这并非治疗的结束,而是“保持阶段”的开始,视频中这部分常被称作“矫正的最后一公里”。
拆除牙套:视频记录医生用专用的去托钳轻轻取下托槽,用打磨机去除残留的粘接剂,此时牙齿会显得光滑但敏感,医生可能会建议使用脱敏牙膏,随后,患者会佩戴保持器——传统保持器(如哈雷保持器)需通过钢丝和塑料基托固定牙齿,隐形保持器则类似透明牙套,贴合在牙齿内侧,视频会演示保持器的佩戴方法、清洁方式(用牙刷轻刷,避免热水浸泡变形),并强调“保持器是防止复发的重要工具”。
长期维护:视频中医生会叮嘱患者,即使摘下保持器,也需定期复查(最初每3-6个月一次,后逐渐延长),因为牙齿有回到原始位置的趋势,保持口腔卫生依然重要,矫正后牙齿邻面易藏食物残渣,需用牙线、冲牙器清洁,避免龋齿或牙周炎。
矫正过程视频的价值与意义
这类视频不仅是患者了解治疗的“窗口”,也是医生沟通的“桥梁”,通过动态展示,患者能清楚知道“矫正要经历什么”“每个阶段自己该做什么”,减少因未知产生的恐惧;视频中医生的操作细节(如如何粘贴托槽、如何调整弓丝)也能帮助患者理解正畸技术的精密性,但需注意,每个人的矫正方案因牙齿情况、年龄、矫正方式而异,视频内容仅供参考,具体治疗需以医生面诊方案为准。

相关问答FAQs
Q1:矫正牙齿的过程视频能完全替代面诊吗?
A:不能,过程视频主要展示矫正的通用流程,但正畸治疗是个体化方案,需通过面诊检查(如口腔状况、骨骼关系、患者诉求)制定具体计划,视频无法替代医生的实时检查和方案调整,例如复杂病例可能需要拔牙、种植钉支抗等,这些需面诊后确定。
Q2:观看矫正过程视频时,需要注意哪些内容才能更好地帮助自己?
A:建议重点关注“每个阶段的护理要点”(如戴牙套后的饮食禁忌、保持器的佩戴方法)、“可能出现的正常反应”(如初期酸胀、托槽脱落后的处理)以及“复诊的重要性”,注意观察视频中不同矫正方式(传统托槽、隐形矫正)的优缺点,结合自身需求(美观度、舒适度、预算)与医生沟通选择,但避免盲目模仿视频中的操作,需以医生指导为准。

