牙齿矫正二类牵引是正畸治疗中针对Angle Class II错颌(即上下颌牙弓及颌骨关系异常,表现为上颌牙位于下颌牙的远中)的重要矫治技术,通过施加特定方向的力,引导牙齿、颌骨及咬合关系向正常方向调整,其核心目标是纠正深覆盖、深覆合、上颌前突等问题,改善面部美观及咀嚼功能,尤其在青少年生长发育期及成人掩饰性治疗中应用广泛。
二类牵引的原理与生物力学基础
二类牵引的本质是利用橡皮筋或弹性材料作为力源,通过连接上下颌牙齿上的特定牵引钩(如磨牙带环上的牵引钩、托槽上的辅助钩),施加与错颌方向相反的矫治力,根据生物力学原理,持续轻力(通常为50-200g)可激活牙周组织改建:牵引侧的牙周组织受压,破骨细胞活跃,牙槽骨吸收;牵引对侧的牙周组织受牵拉,成骨细胞增殖,牙槽骨沉积,最终实现牙齿移动、颌骨位置调整及咬合关系协调。

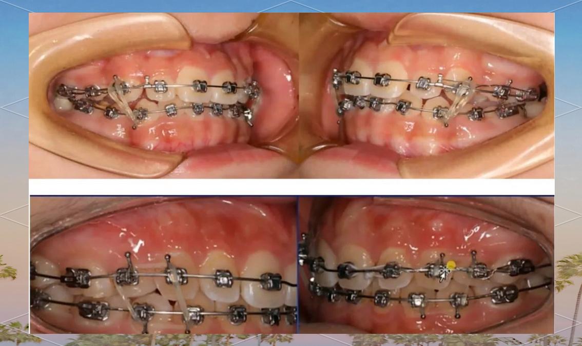
经典的“上颌第一磨牙-下颌第一磨牙”II类牵引(即“6-6牵引”),通过将橡皮筋一端挂在上颌第一磨牙的远中牵引钩,另一端挂在下颌第一磨牙的近中牵引钩,产生以下作用:
- 牙齿水平移动:上颌磨牙受到远中向的力,向远中移动;下颌磨牙受到近中向的力,向近中移动,缩小上下颌牙弓的长度不调。
- 垂直向控制:若牵引方向略高于咬合平面,可抑制上颌后牙伸长,纠正深覆合;若牵引方向较低,可能轻微促进下颌后牙伸长,改善垂直骨面型。
- 颌骨生长调节(青少年):通过持续牵引,可刺激下颌髁状软骨增生,抑制上颌骨前向生长,对轻度骨性II类错颌起到生长改良作用。
二类牵引的适用情况
二类牵引主要用于治疗Angle Class II错颌,根据病因可分为牙性、功能性和骨性,具体适应症包括:
牙性Class II错颌
- 上颌前牙唇倾:因不良习惯(如吮指、口呼吸)或乳牙早失导致上颌牙弓前段过长,表现为上颌切牙唇倾、深覆盖。
- 下颌后牙近中缺失:如下颌第一磨牙早失,未及时修复,导致邻牙倾斜,上下颌磨牙关系为II类。
- 上颌磨牙近中移动:如正畸治疗中支抗不足,上颌磨牙近中倾斜,导致磨牙关系II类。
功能性Class II错颌
- 下颌后缩:因口呼吸、吞咽异常等功能因素,下颌处于远中位置,咬合时下颌无法达到中性关系,牵引可引导下颌向前,建立功能性咬合。
骨性Class II错颌(掩饰性治疗)
- 轻度骨性II类1分类:上颌轻度前突或下颌轻度后缩,患者不愿或无法接受正颌手术,通过二类牵引结合牙齿代偿性移动(如上颌牙舌倾、下颌牙唇倾),改善面部突度及咬合关系。
- 生长发育期青少年:对存在生长潜力的骨性II类患者(如下颌发育不足),可结合功能性矫治器(如FRⅢ、 twin-block)与二类牵引,利用生长潜力纠正颌骨关系。
二类牵引的操作方法与类型
根据牵引装置及作用方式,二类牵引可分为以下几类,需根据错颌类型、年龄及矫治目标选择:
颌间牵引(最常用)
通过橡皮筋直接连接上下颌牙齿,是II类牵引的核心方式,常见挂法及作用如下:

| 牵引方式 | 挂法描述 | 主要作用 | 适用情况 |
|---|---|---|---|
| 6-6牵引 | 上颌第一磨牙远中钩→下颌第一磨牙近中钩 | 纠正磨牙II类关系,调整上下颌牙弓长度 | 磨牙II类关系为主,无明显垂直向异常 |
| 6-5牵引 | 上颌第一磨牙远中钩→下颌第二前磨牙近中钩 | 加强下颌前磨牙的近中移动,关闭下颌牙弓间隙 | 下颌第二前磨牙近中倾斜或间隙不足 |
| 3-3牵引 | 上颌尖牙远中钩→下颌尖牙近中钩 | 纠正尖牙关系,改善前牙覆盖 | 前牙深覆盖为主,尖牙关系II类 |
| 复合牵引 | 如6-6+3-3同时牵引 | 同步调整磨牙与前牙关系 | 磨牙及前牙均需调整的复杂病例 |
操作要点:
- 橡皮筋选择:常用1/4英寸(6mm)或3/16英寸(5mm)橡皮筋,力量为100-150g,需根据牙齿移动阶段调整(如初始移动期用轻力,精细调整期用更轻力)。
- 佩戴时间:每天需佩戴20-22小时,仅在刷牙、进食时取下,确保持续施力。
- 更换频率:每6-8小时更换一次,避免橡皮筋疲劳导致力量衰减。
口外牵引(辅助性)
通过口外弓连接头帽或颈带,与颌间牵引联合使用,增强支抗控制。“口外弓+II类颌间牵引”:口外弓的口内端插入上颌第一磨牙带环,口外端连接头帽,通过头帽的向后的力加强上颌磨牙支抗,同时配合颌间牵引推动下颌磨牙近中,适用于上颌支抗不足、需大量移动磨牙的病例。
种植体支抗辅助牵引
对于成人严重骨性II类错颌或需大量磨牙移动的病例,可植入微种植钉(如颧牙槽嵴、腭部种植钉),作为“绝对支抗”,直接连接橡皮筋牵引上颌磨牙远中或下颌磨牙近中,避免支抗丢失,种植体支抗的优势在于可实现牙齿的精准、高效移动,尤其适用于传统支抗不足的复杂病例。
二类牵引的注意事项与风险控制
患者依从性管理
二类牵引的效果高度依赖患者配合,需在治疗前充分沟通:

- 强调佩戴时间的重要性,若每天佩戴不足12小时,矫治力无法持续,可能导致治疗时间延长或效果不佳。
- 指导正确佩戴方法:避免橡皮筋滑脱、缠绕,若橡皮筋断裂或丢失需及时更换。
口腔卫生维护
牵引橡皮易挂食物残渣,增加龋齿和牙龈炎风险,需指导患者:
- 餐后使用正畸牙刷、牙缝刷、冲牙器清洁,尤其牵引钩周围区域。
- 定期使用含氟牙膏漱口水,预防釉质脱矿。
力的控制与调整
- 避免过大力量:力量超过200g可能导致牙根吸收、牙齿松动、疼痛加剧。
- 定期复诊(通常4-6周一次):医生检查牙齿移动情况、牵引方向及力度,必要时调整牵引钩位置或更换牵引方式。
并发症预防
- 颞下颌关节(TMJ)不适:牵引力过大或方向异常可能导致关节负担增加,出现关节弹响、疼痛,需调整牵引力方向,必要时配合关节治疗。
- 咬合干扰:牙齿移动过程中可能出现早接触,导致咬合紊乱,需通过调颌消除干扰。
- 支抗丧失:未加强支抗时,上颌磨牙可能近中移动,抵消牵引效果,需联合口外弓或种植体支抗。
二类牵引的效果影响因素
- 年龄与生长潜力:青少年患者存在生长发育潜力,骨性II类错颌可通过牵引结合生长改良获得更好效果;成人患者主要依赖牙齿代偿,效果相对有限。
- 错颌严重程度:轻度牙性II类牵引效果显著;重度骨性II类需结合正颌手术,单纯牵引难以达到理想效果。
- 支抗控制:支抗不足是牵引失败的主要原因,需根据病例选择合适的支抗增强方式(如种植钉、口外弓)。
- 医生技术:牵引方案设计、力的方向控制、复诊调整均依赖医生经验,需个性化制定计划。
相关问答FAQs
Q1:二类牵引需要每天戴多久?可以自己调整牵引方向吗?
A:二类牵引需每天佩戴20-22小时,仅在刷牙和进食时短暂取下,以确保持续有效的矫治力,患者不可自行调整牵引方向,如需改变牵引钩位置或橡皮筋挂法,必须由医生根据牙齿移动情况判断调整,随意更改可能导致牙齿移动方向错误、咬合紊乱等问题。
Q2:二类牵引过程中牙齿疼痛正常吗?怎么办?
A:牵引初期(佩戴后1-3天)出现牙齿轻微疼痛、酸胀感是正常现象,因牙齿受力后牙周组织改建引起,通常可自行缓解,若疼痛持续加重、出现明显松动或咬合困难,可能是力量过大或存在咬合干扰,需及时复诊检查,医生会调整牵引力或进行调颌处理,避免损伤牙根或牙周组织。
