拜博口腔网

  • 种植牙戴牙时,扭力需要多少牛?

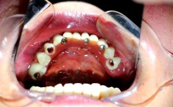
    种植牙戴牙时,扭力需要多少牛?

    种植牙戴牙冠(即最终修复体)时施加的基台连接扭力(也称为最终就位扭矩或最终扭矩)是一个关键且精确的参数,它直接影响种植修复的长期稳定性和成功率,这个扭力值远低于种植体植入骨内时所需的植入扭力(通常在30-50牛米之间),因为连接的是体积小得...

    2025-11-23
    24 0 0
  • 种植牙与植树活动,两者之间有何关联?开展又有何深意?

    种植牙与植树活动,两者之间有何关联?开展又有何深意?

    看到“种植牙”和“植树活动”这两个词放在一起,确实挺有意思的!它们虽然都包含“种植”二字,但属于完全不同的领域,我来为你详细解释一下,并看看它们之间是否有有趣的联系或可以结合的点:🦷一、种植牙(DentalImplant)本质:一种...

    2025-11-23
    28 0 0
  • 种植体戴牙

    种植体戴牙

    “种植体戴牙”通常指的是种植牙修复的最终阶段,也就是在成功植入牙槽骨内的种植体(人工牙根)上,安装最终修复体(牙冠)的过程,这是整个种植牙治疗的最后一步,也是让患者获得功能和美观牙齿的关键一步,以下是关于“种植体戴牙”的详细说明:📍1....

    2025-11-23
    27 0 0
  • 一颗牙没有可以种植牙

    一颗牙没有可以种植牙

    是的,一颗牙缺失后,种植牙是一个非常理想且可行的修复方案,种植牙被誉为“人类的第三副牙齿”,是目前功能、美观和长期效果最好的单颗牙缺失修复方式,以下是关于单颗牙缺失种植牙的详细说明:🦷为什么种植牙是单颗牙缺失的优选?独立修复,不损伤邻牙...

    2025-11-23
    28 0 0
  • 种植牙所有人

    种植牙所有人

    “种植牙所有人”这个表述不太清晰,我理解你可能想问的是“种植牙适合哪些人?”或者“哪些人可以做种植牙?”,种植牙是一种非常成功的牙齿缺失修复方式,但它并非适用于所有人,能否进行种植牙手术,需要经过口腔种植医生进行全面的评估,以下是种植牙...

    2025-11-23
    16 0 0
  • 矫正牙齿复发怎么办?有哪些方法可以重新矫正恢复?

    矫正牙齿复发怎么办?有哪些方法可以重新矫正恢复?

    牙齿矫正后复发确实令人沮丧,但请别太担心,这是正畸领域一个常见且可以处理的问题,关键在于:立即联系你的正畸医生进行专业评估!不要自行处理或拖延,以下是应对牙齿矫正复发的详细步骤和建议:📍第一步:立即联系你的正畸医生预约复诊:这是最重要...

    2025-11-23
    29 0 0
  • 不想做烤瓷牙和种植牙?原因或有更好选择?

    不想做烤瓷牙和种植牙?原因或有更好选择?

    我完全理解你对烤瓷牙和种植牙的顾虑,这两种修复方式确实存在一些让人犹豫的因素,比如烤瓷牙需要磨除健康牙体、可能存在过敏风险、种植牙需要手术、费用较高、周期较长等,别担心,我们可以一起探讨其他可能的解决方案,但需要先明确一点:没有一种修复方式...

    2025-11-21
    32 0 0
  • 单个牙的种植

    单个牙的种植

    什么是单个牙种植?单个牙种植是指在缺失一颗牙齿的位置,通过外科手术将一个人工牙根(种植体)植入到牙槽骨中,待其与骨组织牢固结合(骨结合)后,再在其上方安装一个牙冠,从而恢复缺失牙的形态、功能和美观,单个牙种植的主要组成部分种植体:通常由纯...

    2025-11-19
    46 0 0
  • 牙齿缺少能矫正吗?

    牙齿缺少能矫正吗?

    是的,牙齿缺失后通常是可以进行牙齿矫正的,但这会增加矫正的复杂性和需要更精细的方案设计,矫正的目标和具体方法会根据缺牙的原因、位置、数量、患者的年龄、口腔状况以及期望效果而有所不同,以下是关于牙齿缺失后进行矫正的关键点:📍矫正的目标可能包...

    2025-11-17
    46 0 0
  • 牙齿矫正后缺损频发?现在该如何处理?

    牙齿矫正后缺损频发?现在该如何处理?

    牙齿矫正后出现牙齿缺损确实是一个令人担忧的问题,但别担心,这种情况是可以处理和预防的,让我来帮你分析一下可能的原因、症状、处理方法以及如何预防,🦷一、牙齿矫正后缺损的常见原因龋齿(蛀牙):主要原因:矫正期间口腔清洁难度增加(托槽、弓丝、...

    2025-11-17
    40 0 0