拜博口腔网

  • 正畸深覆颌如何调整

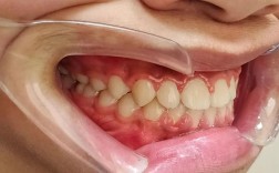
    正畸深覆颌如何调整

    深覆颌是正畸临床中常见的错颌畸形,指上前牙切缘覆盖下前牙牙冠超过1/3,或下前牙咬合于上前牙舌侧前1/3以上,常伴随垂直向发育不足、面部短小、颞下颌关节负担加重等问题,其调整需结合病因、年龄、严重程度制定个性化方案,核心目标是打开咬合、建立...

    2025-12-26
    41 0 0
  • 正颌手术方法

    正颌手术方法

    正颌手术是矫正颌骨发育异常及面部畸形的重要外科手段,主要针对因上下颌骨位置、大小或形态异常导致的骨性错颌畸形,如上颌前突(“龅牙”)、下颌后缩(“小下巴”)、偏颌(脸歪)、开颌(牙齿无法咬合)等,这类畸形常伴随牙齿排列不齐,需与口腔正畸联合...

    2025-12-24
    50 0 0
  • 正锁颌矫正方法

    正锁颌矫正方法

    正锁颌是指上下颌后牙在咬合时,上颌后牙舌侧尖与下颌后牙颊侧尖发生锁结,无法正常接触的一种咬合紊乱,临床以上颌后牙舌向倾斜与下颌后牙颊向倾斜的组合最为常见,其发生多与乳牙早失、不良口腔习惯(如吮指、偏侧咀嚼)、颌骨发育异常或替牙期障碍有关,不...

    2025-12-22
    39 0 0
  • 为什么种牙前必须抬高咬合?

    为什么种牙前必须抬高咬合?

    种植牙作为目前修复缺失牙的有效方式,其成功不仅依赖于种植体与牙槽骨的骨结合,更与口腔整体的咬合功能密切相关,临床中,部分患者因长期缺牙、牙齿磨耗或咬合关系紊乱,存在垂直距离降低(咬合高度不足)的问题,此时直接种植牙可能面临种植体受力过大、修...

    2025-12-19
    19 0 0
  • 深覆合治疗方法有哪些?如何选择合适方案?

    深覆合治疗方法有哪些?如何选择合适方案?

    深覆合是常见的错颌畸形,表现为上前牙切端咬合时位于下前牙唇面中1/3或切1/3以下,甚至咬合在下前牙舌侧,常伴随前牙深覆盖、下颌后缩等问题,其病因包括遗传因素、不良习惯(如吐舌、咬唇)、替牙障碍及颌骨发育异常等,治疗方法需根据患者年龄、畸形...

    2025-12-19
    76 0 0
  • 矫正牙医生为何让种牙?矫正与种牙有何关联?

    矫正牙医生为何让种牙?矫正与种牙有何关联?

    矫正牙医生在治疗过程中建议患者种牙,通常是基于口腔健康、矫正效果及长期功能等多方面综合考量的结果,牙齿矫正的核心是排齐牙齿、调整咬合,但若存在牙齿缺失、牙槽骨吸收等问题,单纯矫正可能无法达到理想效果,甚至影响稳定性,种牙作为一种修复缺失牙齿...

    2025-12-18
    55 0 0
  • 第一磨牙没了如何正畸

    第一磨牙没了如何正畸

    第一磨牙缺失后进行正畸治疗是一个常见但需要仔细规划的问题,第一磨牙是恒牙中最早萌出的关键牙齿,承担着重要的咀嚼、维持咬合高度和支撑牙弓的作用,缺失后会影响邻牙和对颌牙的位置,进而影响整个咬合和面部平衡,正畸治疗的目标通常包括:恢复功能:重...

    2025-12-07
    48 0 0
  • 牙槽骨前突手术方法

    牙槽骨前突手术方法

    牙槽骨前突(俗称“龅牙”)的手术方法主要针对骨性前突,即牙齿排列本身可能正常或通过正畸可以排齐,但上下颌骨(尤其是上颌骨)本身位置靠前,导致牙齿和牙槽骨整体突出,这类情况通常需要正颌外科手术来矫正骨骼位置,再配合正畸治疗(戴牙套)来精细调整...

    2025-12-07
    22 0 0
  • 后牙形态树脂堆塑方法

    后牙形态树脂堆塑方法

    📌核心理念:分层堆塑(Stratification)模拟天然牙的牙釉质和牙本质结构,分层次恢复,以达到最佳的强度、美观性和功能,🛠所需材料与器械树脂材料:牙本质树脂:主体层,通常选用强度较高的混合型或纳米混合型复合树脂(如Filt...

    2025-12-05
    59 0 0
  • 地包天 先手术 后正畸

    地包天 先手术 后正畸

    看到你提到“地包天先手术后正畸”,这确实是治疗严重骨性反颌(地包天)的标准且效果最好的方案之一,这种“正颌手术+正畸联合治疗”的方式被称为“序列治疗”,能从根本上解决骨骼不匹配的问题,同时获得稳定、美观的咬合关系和面部外观,下面详细解释...

    2025-12-04
    18 0 0