拜博口腔网

  • 正畸活动式矫正器图片主要展示哪些佩戴效果与类型?

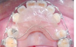
    正畸活动式矫正器图片主要展示哪些佩戴效果与类型?

    以下是一些常见的活动式正畸矫正器类型及其特点,并告诉你如何找到相关的图片:🦷常见的活动式正畸矫正器类型传统活动矫治器:特点:通常由丙烯酸基托和钢丝组成,基托覆盖在牙齿和牙槽黏膜上,钢丝用于移动牙齿(如扭转、压低、伸长、关闭间隙等),常用...

    2025-12-09
    5 0 0
  • 1 / 1
  • 1