以下是一些常见的活动式正畸矫正器类型及其特点,并告诉你如何找到相关的图片:
🦷 常见的活动式正畸矫正器类型
-
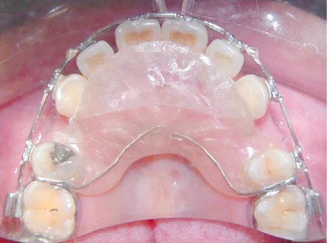
传统活动矫治器:
(图片来源网络,侵删)- 特点: 通常由丙烯酸基托和钢丝组成,基托覆盖在牙齿和牙槽黏膜上,钢丝用于移动牙齿(如扭转、压低、伸长、关闭间隙等),常用于早期矫治(如替牙期)或简单病例。
- 外观: 比较明显,通常覆盖上颌或下颌的大部分牙齿,有金属丝从牙齿间穿过,颜色通常是粉色的树脂基托。
- 图片关键词:
传统活动矫治器,removable orthodontic appliance,Hawley retainer,activator appliance,bionator appliance,frankel appliance(注意:Hawley主要是保持器,但有时也归类在活动矫治器中;Activator, Bionator, Frankel是功能矫治器,也是活动式的)。
-
隐形矫正器:
- 特点: 这是最现代、最流行的活动式矫正器,由一系列透明、光滑的塑料牙套组成,每副牙套精确地移动牙齿一点点,品牌包括隐适美、时代天使、Spark、SmileDirectClub等。
- 外观: 几乎透明,戴在牙齿上不易被察觉,可以摘戴,方便清洁和进食。
- 图片关键词:
隐形矫正器,隐形牙套,隐适美,Invisalign,时代天使,透明牙套,clear aligners。
-
保持器:
- 特点: 在正畸治疗结束后,用于维持牙齿在新的位置,防止复发,常见的活动式保持器有:
- Hawley保持器: 最经典的活动式保持器,由塑料基托和一根钢丝(位于牙齿前面)组成。
- 透明压膜保持器: 类似隐形矫正器的原理,用透明塑料压制而成,覆盖牙齿整个咬合面。
- 外观:
- Hawley: 粉色基托 + 前方钢丝。
- 透明压膜: 完全透明的塑料牙套。
- 图片关键词:
Hawley保持器,透明保持器,压膜保持器,retainer orthodontic,removable retainer。
- 特点: 在正畸治疗结束后,用于维持牙齿在新的位置,防止复发,常见的活动式保持器有:
-
功能性矫治器:
- 特点: 主要用于纠正颌骨关系和肌肉功能,常用于生长发育期的儿童,通过改变下颌位置或引导肌肉功能来促进颌骨正常发育,如Activator, Bionator, Frankel Twin Block等。
- 外观: 通常覆盖上颌或下颌(或上下颌),有特定的导面或引导装置,引导下颌到特定位置,体积相对较大。
- 图片关键词:
功能性矫治器,activator appliance,bionator appliance,frankel appliance,twin block appliance,功能矫治器。
📸 如何找到相关图片(推荐方式)
-
专业牙科设备/材料制造商官网:
(图片来源网络,侵删)- 这是最权威、最清晰的来源,搜索知名品牌:
- 隐形矫正器: 隐适美官网、时代天使官网、Spark官网等。
- 传统矫治器/保持器: 登士柏西诺德、3M、Ormco等公司的产品页面。
- 功能性矫治器: 特定矫治器品牌(如Activator, Bionator)的官网或专业供应商网站。
- 优点: 图片清晰、专业、准确,通常有产品介绍和使用场景图。
- 这是最权威、最清晰的来源,搜索知名品牌:
-
专业牙科/正畸学术数据库:
- 如 PubMed, Google Scholar 等,搜索相关术语(如上面列出的关键词),查找学术期刊文章、教科书章节或会议摘要,这些文献中常配有高质量的示意图、临床照片或示意图。
- 优点: 学术性强,能了解不同矫治器的具体形态和临床应用。
-
知名牙科/正畸诊所网站:
- 搜索当地或全国知名的正畸专科诊所的网站,很多诊所会在“治疗项目”、“案例展示”或“科普文章”中展示他们使用的不同类型矫治器的图片(有时会包含患者佩戴时的照片)。
- 优点: 能看到实际应用在患者口内的效果(需注意隐私保护)。
-
图片库网站(需注意版权和准确性):
- 如 Getty Images, Shutterstock, iStock 等,搜索上述关键词,可以找到大量商业图片。
- 重要提示:
- 注意版权: 这些图片通常需要付费授权才能用于非个人用途(如商业、教学)。
- 注意准确性: 图片库图片可能存在不专业或与实际不符的情况,最好结合其他来源判断。
-
搜索引擎(谨慎使用):
(图片来源网络,侵删)- 使用 Google 图片、百度图片等,输入上述关键词。
- 重要提示:
- 信息混杂: 搜索结果中可能包含广告、非专业图片、甚至错误信息。
- 版权风险: 很多图片受版权保护,随意下载和使用可能侵权。
- 准确性存疑: 无法保证图片的专业性和准确性。
- 建议: 仅用于初步了解,如需用于正式场合,务必从上述专业来源获取授权图片。
📌 总结与建议
- 明确需求: 你想了解的是哪种类型的活动式矫正器?(传统、隐形、保持器、功能?)用于什么目的?(早期矫治、正畸治疗、保持?)
- 首选专业来源: 强烈建议从矫治器制造商官网或专业学术数据库查找图片,这是最可靠、最清晰、最合法的途径。
- 咨询你的正畸医生: 如果你是患者或患者家属,最好的方式是直接咨询你的正畸医生,他们可以根据你的具体情况,向你展示他们诊所使用的具体矫治器类型(实物、模型或图片),并详细解释其作用和佩戴方式,医生还能提供最个性化的建议。
- 尊重版权: 如果需要图片用于非个人用途(如文章、报告、教学),务必确保使用有版权授权的图片,最好是从制造商或专业图库获取授权。
希望这些信息能帮助你顺利找到所需的正畸活动式矫正器图片!🙏 如果你能更具体地说明你想了解哪种矫正器,我可以提供更精确的搜索建议。
