拜博口腔网

  • 正畸个别牙舌倾

    正畸个别牙舌倾

    正畸个别牙舌倾是指在牙齿排列过程中,单颗或多颗牙齿相对于牙弓正常位置向舌侧(口腔内侧)发生倾斜,导致牙齿长轴与正常牙长轴形成异常角度,这种异常不仅影响牙齿美观,还可能引发咬合功能障碍、口腔卫生问题及牙周组织损伤,是正畸临床中常见的错畸形类型...

    2026-01-07
    37 0 0
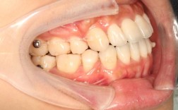
  • 正畸下合磨牙舌倾6

    正畸下合磨牙舌倾6

    正畸治疗中,下颌第一磨牙(临床常以“下颌6”代称)舌向倾斜是较为常见的错颌畸形类型,指牙冠朝向舌侧(口腔内侧)、牙根偏向颊侧(外侧)的异常位置,这种异常可能单独存在,也可能与牙列拥挤、深覆颌等问题并发,若不及时干预,可能对口腔功能、健康及美...

    2025-12-25
    75 0 0
  • 1 / 1
  • 1