拜博口腔网

  • 珠江台公益种牙

    珠江台公益种牙

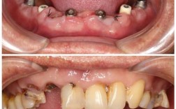
    在老龄化进程加速的当下,老年口腔健康问题日益凸显,缺牙导致的咀嚼功能下降、营养吸收障碍,不仅影响生活质量,更可能引发全身健康风险,传统种植牙动辄数万元的高昂费用,让许多低收入老人、独居群体望而却步,为此,珠江台作为深耕本土的媒体平台,主动扛...

    2025-12-25
    21 0 0
  • 1 / 1
  • 1