连续缺失三颗门牙进行种植牙修复是一个技术上可行但需要精心规划和专业实施的方案,门牙位于口腔前部,对美观和功能要求极高,因此修复方案需要特别关注美学效果、长期稳定性和功能恢复。
以下是关于连续三颗门牙种植牙的关键考虑因素和步骤:

🦷 一、 核心考量因素
-
骨量评估(最关键!):
- 骨高度和宽度: 种植牙需要足够的牙槽骨来支撑种植体,连续缺牙后,牙槽骨通常会吸收萎缩,尤其是唇侧(牙龈面),必须通过CBCT(锥形束CT)进行精确评估。
- 骨密度: 骨质密度影响种植体的初期稳定性和长期骨结合。
- 如果骨量不足(尤其是宽度或高度),必须先进行植骨手术(如引导骨再生GBR、骨劈开、上颌窦提升等),等待骨愈合(通常需要4-6个月甚至更久)后才能进行种植手术,这是决定治疗时间和费用的主要因素。
-
种植方案选择:
- 三颗独立种植牙(最推荐):
- 优点: 每颗牙独立,功能恢复最接近自然牙,受力分布均匀,长期稳定性最好,易于清洁和维护(没有桥体),美学效果可达到最佳(每颗牙冠独立塑形牙龈形态)。
- 缺点: 需要三次种植手术(或分两次植入三颗种植体),总费用最高,总治疗时间相对较长(尤其是需要植骨时)。
- 两颗种植牙支持三颗牙冠(种植桥):
- 方法: 在缺牙区的第一颗和第三颗牙的位置植入两颗种植体,然后在两颗种植体上制作一个三颗牙冠的桥体(中间一颗假牙“搭”在两颗种植体上)。
- 优点: 手术次数少(只需两次植入种植体),总费用相对较低,治疗时间可能稍短。
- 缺点:
- 生物力学风险: 中间那颗假牙没有独立种植体支撑,完全依靠两端的种植体支撑,如果咬合力过大或种植体位置/角度不佳,中间桥体下方易积聚食物残渣🍽️,清洁困难,增加种植体周围炎风险;长期受力可能导致金属支架或牙冠折裂,甚至影响种植体寿命。
- 美学风险: 中间假牙下方缺乏种植体支撑,牙龈形态塑造难度大,容易形成“黑三角”或牙龈萎缩,影响美观,牙龈轮廓不如独立种植牙自然。
- 可修复性差: 如果中间桥体损坏或下方种植体出现问题,修复整个桥体成本高。
- 一颗种植牙支持三颗牙冠(极少推荐):
- 方法: 只在缺牙区中间位置植入一颗种植体,制作一个三颗牙冠的桥体。
- 缺点: 生物力学风险极大!种植体承受的杠杆力非常大,远超其承受范围,极易导致种植体松动、折断或周围骨吸收失败。强烈不推荐用于门牙区!
- 三颗独立种植牙(最推荐):
-
美学效果:
- 牙龈形态: 种植牙不仅要看牙冠,更要看牙龈,种植体植入的位置、深度、角度以及使用的基台类型,直接影响牙龈轮廓的对称性和自然度,需要精确设计,避免牙龈萎缩或形成“黑三角”。
- 牙冠颜色、形态、透明度: 需要与邻牙高度匹配,并且要考虑光线下的效果,需要经验丰富的技师和医生共同完成。
- 临时修复: 在种植体骨结合期间(通常3-6个月),需要制作临时牙冠或临时桥体,以维持美观和基本功能,临时修复体的制作质量也很重要。
-
费用:
(图片来源网络,侵删)- 种植牙费用较高,连续三颗种植牙的总费用通常在数万到十几万人民币不等(取决于种植体品牌、基台类型、牙冠材料、是否需要植骨、地区差异等)。
- 三颗独立种植牙费用最高,种植桥方案次之。
-
时间:
- 总治疗周期: 如果需要植骨,总时间可能需要9个月到1年半甚至更长,包括:植骨等待期(4-6个月)-> 种植手术 -> 骨结合期(3-6个月)-> 取模 -> 制作最终修复体 -> 戴牙。
- 无植骨情况: 总时间可能缩短至6-8个月左右。
📋 二、 标准治疗流程(以三颗独立种植牙为例,通常需要植骨)
-
全面检查与评估:
- 口腔检查(口腔卫生状况、咬合关系)。
- CBCT检查(精确评估骨量、神经血管位置)。
- 取研究模型。
- 制定详细治疗计划(确定种植体数量、位置、角度、是否植骨、基台类型、牙冠材料等)。
- 讨论费用、时间、风险,签署知情同意书。
-
植骨手术(如需要):
- 在缺牙区植入骨移植材料(自体骨、异体骨、人工骨等),引导骨再生。
- 缝合,等待骨愈合(4-6个月)。
-
种植体植入手术:
(图片来源网络,侵删)- 局部麻醉下,切开牙龈,暴露牙槽骨。
- 在预定位置、角度、深度精确植入3颗种植体。
- 根据情况决定是否同期植入愈合基台或覆盖螺丝。
- 缝合牙龈。
-
骨结合期:
等待种植体与牙槽骨牢固结合(通常3-6个月),期间需定期复查。
-
二期手术(如未同期愈合基台):
切开牙龈,安装愈合基台,塑造牙龈袖口形态(约2-4周)。
-
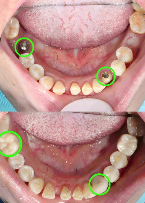
取模与制作修复体:
- 用数字化扫描或传统取模方式获取精确模型。
- 技工室根据模型制作个性化基台和全瓷牙冠。
- 试戴基台和牙冠,检查就位、咬合、接触点、美观效果。
-
最终戴牙:
- 粘接或螺丝固位方式将牙冠固定在种植体上。
- 调整咬合,确保无早接触和干扰。
-
定期复查与维护:
- 戴牙后1周、1个月、3个月、6个月复查,之后每年至少复查1-2次。
- 强调良好的口腔卫生维护(使用牙线、牙缝刷、冲牙器等),定期洁牙。
⚠ 三、 风险与注意事项
- 手术风险: 感染、出血、神经损伤(下唇麻木)、上颌窦穿孔(上颌后牙区)等。
- 种植失败风险: 种植体松动、脱落、周围炎(种植体周围骨吸收),连续缺牙区骨条件可能较差,风险相对单颗略高,但选择经验丰富的医生可显著降低风险。
- 美学风险: 牙龈退缩、黑三角、牙冠颜色不匹配、形态不自然。
- 机械并发症: 牙冠崩瓷、螺丝松动/折断、基台折断。
- 长期维护: 种植牙也需要像真牙一样认真维护,否则可能导致种植体周围炎,最终失败。
- 吸烟影响: 吸烟会显著增加种植失败和种植体周围炎的风险,强烈建议戒烟,至少在治疗期间及骨结合期戒烟。
📌 总结与建议
- 三颗独立种植牙是连续缺失三颗门牙的首选和最可靠的方案,尽管费用最高、时间最长,但能提供最佳的功能、美学效果和长期稳定性,且维护便利。
- 种植桥(两颗种植体支持三颗牙冠)是次选方案,需在充分了解其生物力学风险和美学局限性后,在医生评估认为可行且患者接受的情况下考虑。不推荐单颗种植体支持三颗牙冠的桥体。
- 骨量是决定性因素,CBCT评估必不可少,植骨是常见步骤。
- 选择经验丰富、技术精湛的种植医生和信誉良好的机构至关重要,门牙种植对医生的美学素养和操作精度要求极高。
- 充分沟通:与医生详细讨论所有方案、优缺点、费用、时间、风险,选择最适合自己的方案。
- 保持耐心:治疗周期较长,需有心理准备并严格遵医嘱。
- 重视维护:良好的口腔卫生习惯和定期复查是种植牙长期成功的保障。
强烈建议: 尽快到正规口腔医院或大型连锁口腔机构的种植专科进行详细咨询和检查,获取个性化的治疗方案和精确的评估报告,不要因担心费用或时间而仓促决定,门牙修复关乎形象和自信,值得投入时间和精力去寻找最合适的解决方案。💪🏻
