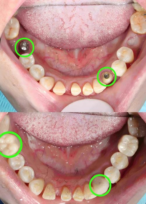
医院种牙会疼吗”这个问题,我可以明确告诉你:在正规医院由专业医生操作,并采用现代麻醉技术的情况下,种植牙手术过程中的疼痛感通常是可以被控制在非常轻微甚至几乎无痛的水平的。 但术后可能会有一些不适感,这也是可以管理的。
以下是详细解释:

🦷 1. 手术过程中的疼痛(通常微乎其微)
- 局部麻醉是关键: 种植牙手术前,医生会在手术区域(牙槽骨和牙龈)注射局部麻醉药(如利多卡因),这种麻醉效果非常强,能有效地阻断神经末梢的痛觉传导。
- 麻醉效果: 在麻醉完全起效后,医生进行切开牙龈、在骨头上制备种植窝洞、植入种植体等操作时,你通常只会感觉到医生的操作(如压力、牵拉感),但不会感到疼痛,整个过程就像你平时做补牙、拔牙一样,在麻醉下是没有痛感的。
- 医生经验: 经验丰富的种植医生操作熟练、精准,能最大程度减少对组织的损伤,进一步降低不适感。
- 镇静技术(可选): 对于特别紧张或焦虑的患者,部分医院还提供笑气镇静或口服镇静药,让你在放松、半睡眠的状态下完成手术,进一步减轻心理压力和对疼痛的敏感度。
🏥 2. 术后的不适感(常见且可管理)
- 正常反应: 手术结束后,随着麻醉效果逐渐消退,手术区域通常会出现一些轻微到中度的疼痛、肿胀、淤青和不适感,这属于正常的术后反应,是身体对手术创伤的自然愈合过程。
- 程度因人而异:
- 个体差异: 每个人的疼痛阈值和恢复能力不同,有些人可能只感到轻微酸胀,有些人可能需要止痛药。
- 手术复杂程度: 单颗牙种植通常反应较轻;如果需要植骨、上颌窦提升等复杂手术,术后不适感可能会更明显一些,持续时间也可能稍长。
- 术后护理: 是否遵医嘱进行冰敷、保持口腔卫生、避免刺激等,也会影响恢复速度和不适程度。
- 疼痛管理:
- 处方止痛药: 医生通常会根据情况开具非甾体抗炎药(如布洛芬)或弱效阿片类药物(如对乙酰氨基酚复方制剂)。严格按照医嘱服用,可以有效控制术后疼痛。
- 冰敷: 手术后24-48小时内,在手术区域脸颊外部进行间断性冰敷(每次15-20分钟,间隔1-2小时),有助于减轻肿胀和疼痛。
- 软食: 术后几天吃温凉、柔软的食物,避免过热、过硬、辛辣刺激的食物,减少对手术区域的刺激。
- 口腔卫生: 轻柔地清洁手术区域周围(避免直接刷手术点),遵医嘱使用漱口水,保持口腔清洁,预防感染也能减少不适。
📌 总结与建议
- 手术中: 不会疼。 现代局部麻醉技术非常成熟可靠,能确保你在手术过程中无痛。
- 手术后: 会有一些不适感(疼痛、肿胀等),但这是正常的、可控的。 通过医生开的止痛药、冰敷、合理饮食和良好的护理,这些不适感通常在几天到一周内会逐渐明显减轻,完全恢复正常可能需要1-2周。
- 选择正规医院和专业医生至关重要: 这不仅能保证手术效果和安全性,也能确保麻醉技术到位、操作精准,从而最大程度减少术中不适和术后反应。
- 充分沟通: 术前一定要告知医生你的担忧和既往病史(尤其是药物过敏史),医生会据此制定最适合你的麻醉和镇痛方案,术后如果疼痛异常剧烈或持续加重,务必及时联系你的医生复诊,排除感染等问题。
不要因为害怕疼痛而放弃种植牙这个非常好的缺牙修复方案,在正规医院,种植牙手术本身是舒适化的,术后的不适感也是暂时的、可管理的。 与你的种植医生充分沟通,了解整个流程和术后护理,做好心理准备,你会发现种植牙并没有想象中那么可怕。💪🏻

