南京口腔医院作为江苏省内口腔医疗领域的标杆单位,其牙齿正畸科室凭借专业的医疗团队、先进的诊疗设备和丰富的临床经验,为众多患者解决了牙齿排列不齐、咬合异常、面部美观等问题,医院正畸学科依托南京医科大学口腔医学院的学术背景,集医疗、教学、科研于一体,在青少年及成人各类错颌畸形的矫治方面形成了特色优势,尤其在复杂病例的联合治疗(如正畸-正颌联合治疗、种植体支抗技术应用等)上积累了丰富经验。
在技术设备方面,南京口腔医院正畸科室引进了国际先进的数字化诊疗系统,包括口内扫描仪、锥形束CT(CBCT)、计算机辅助设计/制造(CAD/CAM)技术等,实现了从检查、诊断到方案设计、矫治器制作的全流程数字化,通过口内扫描替代传统取模,提升了患者的舒适度;利用CBCT进行三维头影测量分析,可精准评估颌骨、牙齿及牙槽骨的解剖关系,为个性化方案设计提供客观依据;结合3D打印技术,可定制个性化舌侧托槽、隐形矫治器等,显著提升了矫治的精准度和效率。

针对不同年龄段和错颌类型,医院正畸科室提供多元化的矫治方案选择,对于青少年患者,重点强调早期干预,通过功能性矫治器(如FRⅢ、Twin Block等)引导颌骨正常发育,降低后期复杂矫治的难度;对于成人患者,则更注重美观与功能的协调,除传统金属托槽矫治外,还提供陶瓷托槽、隐形矫治(如隐适美、时代天使)、舌侧矫治等美观性矫治方式,满足患者对“隐形”“美观”的需求,科室还特别关注唇腭裂、牙周病伴发错颌畸形等特殊病例的矫治,联合修复科、颌面外科等多学科团队,制定综合治疗方案,确保治疗效果。
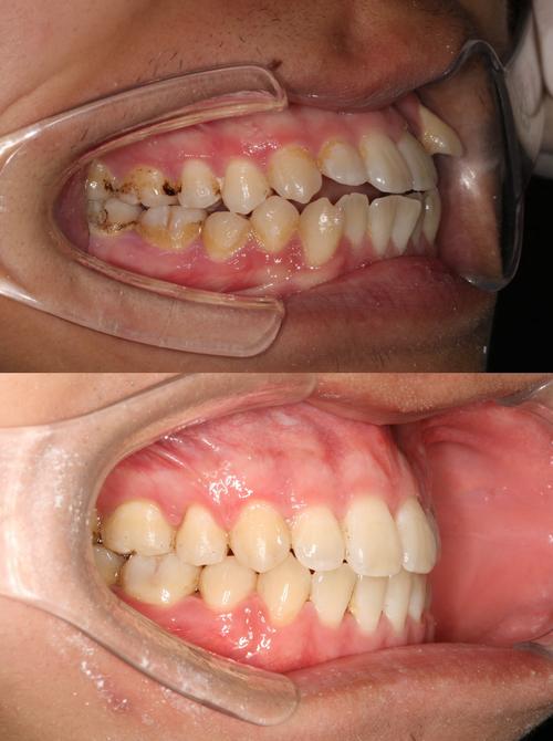
牙齿正畸的治疗流程通常包括初诊检查、方案设计、矫治实施、保持四个阶段,初诊时,医生会通过临床检查、影像学检查(如X线头颅侧位片、曲面断层片)及数字化扫描等方式收集患者口腔数据;方案设计阶段,结合患者的主观需求与客观检查结果,制定个性化矫治计划,并通过3D动画向患者展示预期效果;矫治实施过程中,患者需定期复诊(通常为4-6周一次),医生根据牙齿移动情况调整矫治力;拆除矫治器后,需佩戴保持器以维持疗效,防止复发,整个治疗周期因错颌类型复杂程度不同,通常为1.5-3年,期间患者需与医生密切配合,注意口腔卫生维护,避免食用过硬、过黏食物。
正畸期间的口腔卫生维护至关重要,由于托槽、弓丝等附件容易存留食物残渣,若清洁不当易引发龋齿、牙龈炎等问题,建议患者使用正畸专用牙刷(如V形牙刷)、牙间刷、冲牙器等工具,配合含氟牙膏进行清洁,每次进食后及时漱口并刷牙;避免啃咬硬物(如坚果、骨头)、嚼口香糖等,防止托槽脱落,部分患者在治疗初期可能出现牙齿酸痛、口腔黏膜溃疡等不适,通常在3-5天内缓解,若症状持续或加重,需及时复诊。
关于费用,南京口腔医院牙齿正畸的价格因矫治方式、病例复杂程度、治疗周期等因素差异较大,传统金属托槽矫治费用约1.2万-2万元,陶瓷托槽约2万-3万元,隐形矫治(如隐适美)约3万-5万元,舌侧矫治因技术难度高,费用通常在5万元以上(具体以医院实际收费为准),部分复杂病例可能需要拔牙、骨钉植入等额外治疗,会产生相应费用,医院医保政策对功能性矫治器、青少年早期干预等部分项目有覆盖,患者可咨询医保办了解详情。

相关问答FAQs
Q1:正畸治疗过程中牙齿会松动吗?治疗后会反弹吗?
A:正畸治疗中牙齿需要在生理范围内移动,因此出现轻微松动是正常现象,牙齿周围的牙槽骨会随之改建,治疗结束后松动会逐渐消失,为防止反弹,必须佩戴保持器:通常拆除矫治器后前6个月需全天佩戴,之后改为夜间佩戴,一般建议持续佩戴2年以上,部分复杂病例可能需要更长时间。
Q2:成年人和青少年正畸有什么区别?哪个年龄更适合开始?
A:青少年正畸优势在于颌骨仍处于发育期,可通过生长改良治疗引导骨骼生长,降低拔牙概率,治疗周期相对较短;成人正畸则需考虑颌骨发育停止、可能存在牙周病、修复需求等因素,治疗更注重功能与美观的平衡,方案设计更复杂,理论上,任何年龄段都可正畸,但青少年(替牙期晚期,即10-14岁)是骨性畸形干预的黄金期,成人则需在牙周健康的前提下进行。

