正畸头影测量是口腔正畸学中利用X线头颅定位片对颅颌面结构进行定性与定量分析的核心技术,而普通正畸头影测量(简称“普特正畸头影测量”)作为临床应用最广泛的基础方法,通过二维影像评估骨骼、牙齿及软组织的形态与位置关系,为错畸形诊断、治疗方案设计及疗效评价提供客观依据。
普特正畸头影测量的核心目的
普特正畸头影测量的核心在于通过标准化影像分析,解决正畸治疗中的关键问题:一是评估颅颌面生长发育状态,如判断患者处于生长发育的哪个阶段、上下颌骨的生长方向与潜力;二是明确错畸形的机制,例如骨性畸形(如上颌前突、下颌后缩)与牙性畸形(如牙齿拥挤、深覆)的占比;三是为治疗设计提供依据,如是否需要拔牙、是否需要使用矫形装置(如前方牵引、扩弓器);四是预测治疗效果,通过模拟分析治疗前后骨骼与牙齿的移动方向及程度。

常用标志点与测量项目
普特正畸头影测量的准确性依赖于对颅颌面解剖标志点的精确定位,以及基于这些点的标准化测量,常用标志点可分为骨骼标志点、牙齿标志点和软组织标志点三大类,测量项目则包括角度、线距、比例等多种类型。
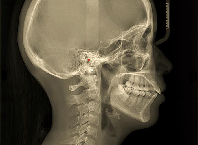
(一)常用标志点定义
| 类别 | 标志点 | 定义/位置 |
|---|---|---|
| 颅底标志点 | Sella (S) | 蝶鞍中心,颅部的参考中心点 |
| Nasion (N) | 鼻额缝的最前点,代表颅部与前部的交界 | |
| 上颌标志点 | A点 (Subspinale) | 上颌骨前壁与牙槽突的最凹点,反映上颌骨相对颅部的位置 |
| Orbitale (Or) | 眶下缘最低点,与构成眶耳平面(FH平面)的关键点 | |
| 下颌标志点 | B点 (Supramentale) | 下颌骨前壁与牙槽突的最凹点,反映下颌骨相对颅部的位置 |
| Pogonion (Pg) | 颏部最前点,代表下颌骨颏部的突度 | |
| Gnathion (Gn) | 下颌骨下缘最下点,垂直参考的重要标志 | |
| 牙齿标志点 | U1 (上颌中切牙) | 上颌中切牙切缘中点或根尖尖点(根据测量需求选择) |
| L1 (下颌中切牙) | 下颌中切牙切缘中点或根尖尖点 | |
| 软组织标志点 | Ns (软组织鼻根) | 软组织鼻额缝的最前点 |
| Pg' (软组织颏前点) | 软组织颏部最前点 |
(二)核心测量项目及临床意义
| 类别 | 测量项目 | 定义 | 临床意义 |
|---|---|---|---|
| 骨骼测量 | SNA角 | 上颌骨与颅部的位置关系(SN连线与NA连线的夹角) | 正常值82°±3°,>84°提示上颌前突,<78°提示上颌后缩 |
| SNB角 | 下颌骨与颅部的位置关系(SN连线与NB连线的夹角) | 正常值80°±3°,>82°提示下颌前突,<78°提示下颌后缩 | |
| ANB角 | 上下颌骨间的相对位置(SNA角-SNB角) | 正常值2°±2°,>4°提示上颌相对下颌前突,<0°提示下颌相对上颌前突(Ⅲ类骨面型) | |
| SN-MP角 | 下颌平面与颅底平面的夹角(SN连线与下颌平面MP的夹角) | 反映下颌平面开张度,正常值32°±5°,>40°可能为高角病例(面下份垂直向发育过度) | |
| 牙齿测量 | U1-NA距与角 | 上颌中切牙相对于NA平面的突距和倾斜度 | 评估上颌中切牙唇倾度,唇倾过大易出现“龅牙”,舌倾不足可能影响侧貌 |
| L1-NB距与角 | 下颌中切牙相对于NB平面的突距和倾斜度 | 评估下颌中切牙位置,舌倾不足可能导致前牙深覆或颏部肌肉紧张 | |
| 软组织测量 | Ns-Sn-Pg'角 | 软组织面突度(Ns-Sn连线与Sn-Pg'连线的夹角) | 正常值160°±5°,角度减小提示软组织面凸,影响面部美观 |
临床应用与局限性
普特正畸头影测量在临床中贯穿始终:治疗前,通过头影测量分析明确错畸形机制(如骨性畸形还是牙性畸形),制定个性化方案(如拔牙非拔牙选择、是否需要联合正颌外科);治疗中,通过阶段性头影测量监控牙齿移动与骨骼变化,及时调整治疗计划;治疗后,通过头影测量评估疗效,确保骨骼、牙齿及软组织协调稳定。
但其局限性也较为明显:二维影像无法完全反映三维结构,如下颌的旋转、牙齿的颊舌向倾斜可能被忽略;标志点的定位依赖医生经验,个体解剖变异(如蝶鞍形态不规则)可能影响准确性;X线辐射虽剂量较低,但仍需严格掌握适应证,避免不必要的拍摄。
相关问答FAQs
Q1:普通正畸头影测量与三维头影测量(如CBCT)的主要区别是什么?
A1:核心区别在于维度与信息量,普通正畸头影测量基于二维X线片,操作简单、成本低,适合常规正畸病例的骨骼与牙齿矢状向分析;而三维头影测量(如CBCT)可提供三维立体图像,能清晰显示颌骨的颊舌向位置、牙齿的倾斜及旋转、颞下颌关节等情况,适用于复杂病例(如骨性不对称、埋伏牙定位)及正颌手术方案设计,但三维设备成本高、辐射剂量相对较大,且对图像后处理技术要求更高。

Q2:头影测量结果显示“ANB角增大”,是否一定需要正畸治疗?
A2:不一定,ANB角增大提示上颌相对下颌前突,但需结合其他指标综合判断:若仅为轻度牙性前突(如上颌中切牙唇倾),通过正畸内收牙齿即可改善;若为骨性上颌前突(SNA角增大)且患者处于生长发育高峰期,可能需配合矫形装置(如前方牵引的反向装置)引导上颌向后生长;若成年患者骨性畸形严重,则可能需要正畸-正颌联合治疗,还需结合患者面型、主观诉求及全身健康状况制定方案,并非所有测量异常都需干预。

