种牙后牙冠高度是指牙冠从种植体基台顶部到咬合面的垂直距离,这一参数直接关系到种植牙的功能、美观及长期稳定性,与天然牙不同,种植牙的牙冠高度不仅受解剖结构限制,还需结合种植体位置、咬合力学、牙龈状态等因素综合设计,是种植修复中的关键环节。
牙冠高度对种植牙的重要性
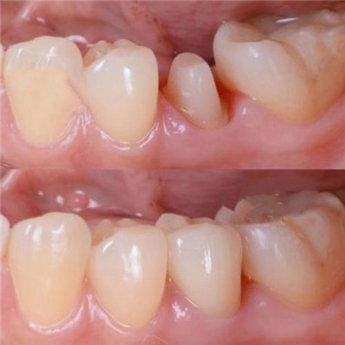
牙冠高度并非固定值,其合理性直接影响种植牙的多重功能,从功能角度看,适宜的牙冠高度能确保咬合力的有效传递:过高会增加种植体承受的杠杆力,长期易导致种植体周围骨吸收;过低则会减小咬合接触面积,降低咀嚼效率,甚至引发食物嵌塞,从美观性分析,牙冠高度需与邻牙长度协调,尤其在前牙区,高度不足会导致“牙冠过短”的视觉效果,影响面部微笑曲线;高度过度则可能破坏牙龈自然的弧度,显露出金属基台或形成“假牙感”,牙冠高度还与口腔清洁难度相关:高度过大时,牙冠与牙龈间易堆积食物残渣,增加种植体周围炎风险;高度过小则可能因邻牙挤压导致清洁工具无法进入,形成卫生死角。

影响牙冠高度的核心因素
牙冠高度的确定需综合评估多方面因素,具体包括:
种植体位置与植入深度
种植体植入的深度和角度直接影响基台高度,进而决定牙冠总高度,若种植体植入过浅,基台需加长以弥补空间,可能导致牙冠高度超出合理范围;植入过深则可能损伤下颌神经或上颌窦,同时因基台过短需磨除过多牙冠材料,降低强度,理想状态下,种植体植入应与邻牙牙根长轴平行,且顶端距离牙槽嵴顶约3-4mm,为基台和牙冠预留足够空间。
患者咬合特征与咬合力
不同患者的咬合习惯(如紧咬牙、夜磨牙)和咬合力大小对牙冠高度要求差异显著,咬合力大的患者(如青壮年、男性)需适当降低牙冠高度,增加咬合面的接触面积,分散应力;而咬合力较小的患者(如老年人、女性)可在保证功能的前提下,适当增加高度以提升美观性,若对颌牙为天然牙,牙冠高度需避免早接触,防止天然牙过度磨损或种植体受力过大。
牙龈生物型与厚度
牙龈分为厚龈生物型和薄龈生物型,前者牙龈致密、耐受力强,允许牙冠高度在一定范围内调整;后者牙龈菲薄、退缩风险高,对牙冠高度更敏感,过高易导致牙龈缘变色或金属基台暴露,临床检查时,需用牙周探针测量牙龈厚度,若厚度<1mm,需优先考虑软组织移植或选择更匹配的基台设计,而非单纯调整牙冠高度。

修复空间与邻牙条件
缺牙区的垂直高度(修复空间)是牙冠高度的物理限制,若骨量不足导致修复空间过小,需通过植骨或选择短种植体增加空间,避免牙冠高度不足;若空间过大,则需通过牙冠形态调整(如增加颈部直径)弥补视觉缺陷,邻牙长度是重要的参考标准,尤其在前牙区,牙冠高度应与对侧同名牙或邻牙差异控制在1mm以内,确保视觉协调。
牙冠高度异常的风险与应对
牙冠高度过高或过低均会引发一系列问题,需及时干预:
高牙冠的风险与处理
风险:牙冠高度超过10mm(后牙)或12mm(前牙)时,易出现咬合早接触,导致种植体承受过大侧向力,长期可能引发种植体松动、骨吸收;高牙冠的“悬臂效应”会增加牙冠折裂风险,尤其当咬合集中在牙冠远中时,高牙冠与牙龈间易形成台阶,堆积菌斑,诱发种植体周围炎。
处理:若术后发现牙冠过高,需通过咬合纸标记早接触点,精确调改咬合面,消除侧向力;若高度差异过大,需拆除牙冠,重新取模制作合适高度的牙冠;对于已出现骨吸收的患者,需结合骨增量手术调整修复方案。
低牙冠的风险与处理
风险:牙冠高度低于5mm(后牙)或6mm(前牙)时,咬合面积不足,咀嚼效率下降,患者可能表现为“咬不动”食物;低牙冠与邻牙间易形成食物嵌塞,长期可能引发邻牙龋坏;前牙区低牙冠还会导致“露龈笑”或“牙冠短小”,影响面部美观。
处理:若修复空间不足导致牙冠过低,需通过正畸压低对颌牙或植骨增加垂直高度;若因设计失误导致,需拆除原牙冠,重新设计牙冠形态,适当延长咬合面,同时通过邻牙牙体预备确保协调性。

不同区域牙冠高度的参考范围
临床中,牙冠高度需结合修复位置个性化设计,以下为常见参考范围(单位:mm):
| 修复区域 | 理想牙冠高度范围 | 关键考量因素 |
|---|---|---|
| 前牙区 | 7-10 | 美观性、牙龈曲线、邻牙长度对称性 |
| 前磨牙区 | 6-8 | 咀嚼功能、与邻牙过渡自然度 |
| 磨牙区 | 6-9 | 咬合力分散、抗折强度、清洁便利性 |
如何科学确定牙冠高度?
确定牙冠高度需多学科协作,具体流程包括:
- 术前评估:通过CBCT测量骨量、神经管位置,结合口腔模型分析咬合关系;
- 种植手术:精准控制种植体植入深度和角度,确保基台高度可调;
- 修复设计:利用数字化口扫获取软组织形态,在软件中模拟不同牙冠高度的咬合力学分布;
- 试戴调整:通过树脂牙冠试戴,验证咬合接触点、牙龈适应性及美观效果,最终确定最优高度。
相关问答FAQs
Q1:种牙后牙冠高度可以自己调整吗?
A:不可以,牙冠高度需由专业医生根据口腔检查、咬合分析及影像学结果综合确定,患者自行调整(如打磨咬合面)可能导致咬合紊乱、种植体损伤等风险,若感觉牙冠高度不合适(如咬合过高、过低),应及时复诊,由医生通过专业设备调整或重新制作牙冠。
Q2:牙冠高度过高会有哪些具体表现?如何处理?
A:具体表现包括:咬合时感觉“牙尖顶得慌”、咀嚼时疼痛、牙龈红肿或出血、牙冠与牙龈间有黑色缝隙(可能暴露基台),处理方法需根据严重程度:轻度可通过咬合调改消除早接触点;中度需拆除牙冠,重新制作合适高度的牙冠;若已引发种植体周围炎,需先进行牙周治疗,待炎症控制后再调整修复方案。
